近日,来自河南 46 岁的李先生突然连续几天发高烧,并不时出现抽搐、狂躁、意识不清的情况。他自己服用了退烧药,但情况不见好转。
这一次,李先生再一次突发抽搐,意识不清,持续长达 2 小时之久,家人赶紧将他送到南京医科大学附属逸夫医院。
在逸夫医院急诊,李先生再次出现全身抽搐、肌肉绷紧且间歇期躁狂的情况。病情危重,李先生随即被送入 ICU。
逸夫医院 ICU 医生为李先生进行抗癫痫治疗及气管插管,暂时缓解其抽搐及狂躁发作的情况。
究竟是什么原因导致李先生如此可怕的病情?
医生在询问李先生病史时,李先生告诉医生,他多年前就开始经常出现短暂的癫痫发作,一般癫痫发作后一会儿就会自行缓解。随后,李先生告诉医生一个关键信息,他的父亲也发生过持续的癫痫抽搐,并最终因癫痫去世,而导致李先生父亲发生癫痫的病因,是一种脑部寄生虫——脑囊虫!
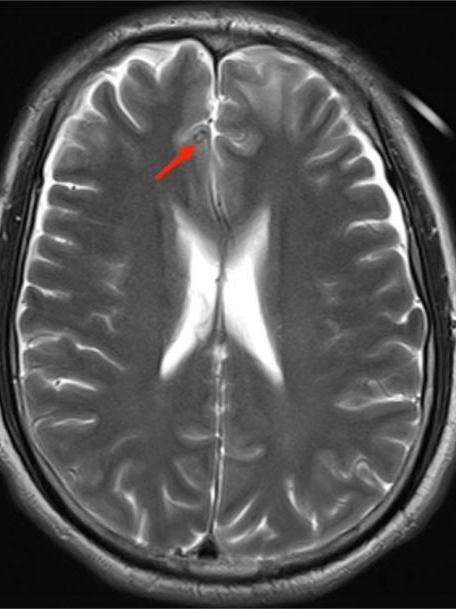
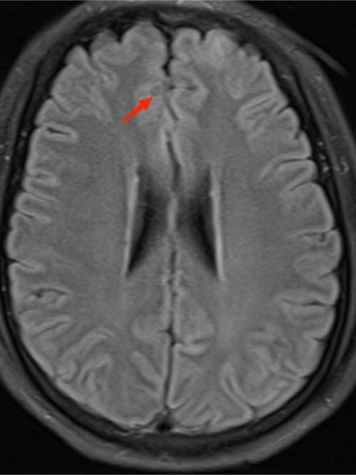
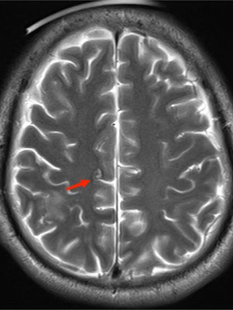
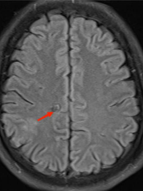
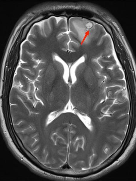
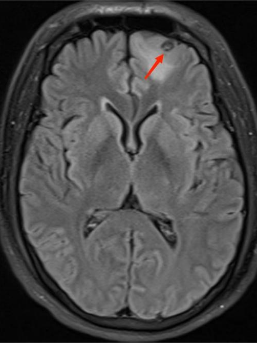
得到这条线索后,ICU 医生立即为李先生进行一系列脑部检查。最终,李先生头颅 MR 显示其脑内有寄生虫感染!明确诊断为脑囊虫病!
经积极抗癫痫治疗后,李先生再无癫痫发作,神志清楚,生活自理,继续予脑囊虫病治疗。
逸夫医院 ICU 蔡建芹医生介绍,脑囊虫病是猪绦虫的囊尾蚴寄生于脑部所引起的一种疾病,主要经口传播感染。脑囊虫病在江苏并不常见,通常发生在农村地区。一旦喝了含猪绦虫幼虫的生水,或未煮熟的含有猪绦虫原囊蚴的食物后,绦虫卵进入消化道,经血液循环寄生于人体各组织,发生囊虫病,如果囊虫寄生于脑内,就会导致脑囊虫病。






脑囊虫病是指猪绦虫的囊尾蚴寄生于脑部所引起的一种疾病,是我国最常见的中枢神经系统寄生虫病。
地区性绦虫及囊虫病人-猪-人感染主要发生在东北、华北、西北等地区,好发于农村青壮年。在农村,农户养猪有放养习惯,人厕、畜圈不分或厕所开放,且有喂食使用人粪、污水等作为农家肥种植的猪食,这会导致人感染脑囊虫病。另外,有进食生猪血习惯的地区也会导致脑囊虫病感染。
脑囊虫病主要引起癫痫、头晕头痛、颅内高压、局灶性神经损害等临床症状,严重者甚至导致死亡。
当我们喝了含猪绦虫幼虫的生水,或未煮熟的含有猪绦虫原囊蚴的食物后,幼虫就可通过血液循环进入大脑,并在人脑中发育,随着脑脊液流动而游走,从而引发疾病。
预防脑囊虫病,一定要当心病从口入,严把饮食安全关。
●饭前要洗手:肉类食物要充分煮熟后再吃。54℃ 以上,5 分钟即可杀死猪绦虫的幼虫及原囊蚴。
●不吃生肉、生血,将切熟肉、菜的砧板、刀具分开。
●改进饲养方式:要为猪建立单独的饲养圈,并与人厕分开,要建立封闭式厕所。
●买肉时注意辨别「米猪肉」,购买通过有关部门的检疫合格的猪肉。
●水果、蔬菜食用前也要用清水彻底清洗,以去除表面可能附着的虫卵。
好文章,需要你的鼓励