近日,吴江区一男子从高处坠落摔伤,被 120 紧急送往苏州京东方医院急诊科,急诊影像显示,男子腰 2、腰 3 椎体骨折,左胫腓骨骨折,急需手术治疗。
骨科李清主任在对患者伤情做了详细检查后,制定手术方案。患者腰椎、小腿多处骨折,如果采用传统手术方法需在患者背部、腿部各切开一个长达 15 至 20 厘米的切口进行复位、内固定,这种方法创伤大、出血多、手术时间长、风险高,术后恢复慢。李清主任与患者充分沟通后,决定采用微创技术一次性解决腰椎骨折,小腿骨折。微创手术的优势就是最大限度地保留了患者腰背肌肉的完整性,缩短了手术时间、减少术中出血、降低手术风险。



在 C 臂机的定位下,李清主任先是在患者背部开 6 个约 1.5 厘米长的小切口,然后植入 6 枚弓根钉和连接棒,对受伤的腰椎进行复位并固定。手术时长 50 分钟,术中几乎没有出血。

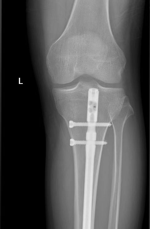
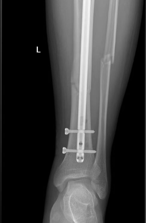
患者左胫骨骨折手术同样采用微创经皮髓内钉固定的方法,这种术式减轻了患者创伤,但对术者的技术要求较高。李清主任从患者胫骨上端切开一个小切口,小心翼翼地把髓内钉置入胫骨内,复位固定胫骨,C 臂机透视证实,骨折对位对线良好,内固定物位置适当,手术成功。



一台手术,仅用 2 个小时,解决四处骨折问题,且创伤小、出血少、痛苦小,避免了感染等手术并发症的发生。术后 3 天,患者就能拄拐行走,目前已顺利出院。
苏州京东方医院用精湛的医术诠释「一切以患者需求为中心」核心价值观,赢得了患者的信任和肯定。同时李清主任用微创技术一次性治疗腰椎骨折和胫骨骨折,也标志着苏州京东方医院骨科微创手术技术成熟,有能力采用微创技术治疗多种骨科疾病!
好文章,需要你的鼓励