「疼得躺不下
感觉肠子都绞在一起了。」
回忆起发病时的情形
27 岁的小李仍心有余悸
几天前的清晨,这位年轻的妈妈突然感到下腹部一阵持续剧痛。起初她以为是普通的肠胃不适,可 7 个小时过去,疼痛愈演愈烈。在当地医院就诊后,情况仍未好转。
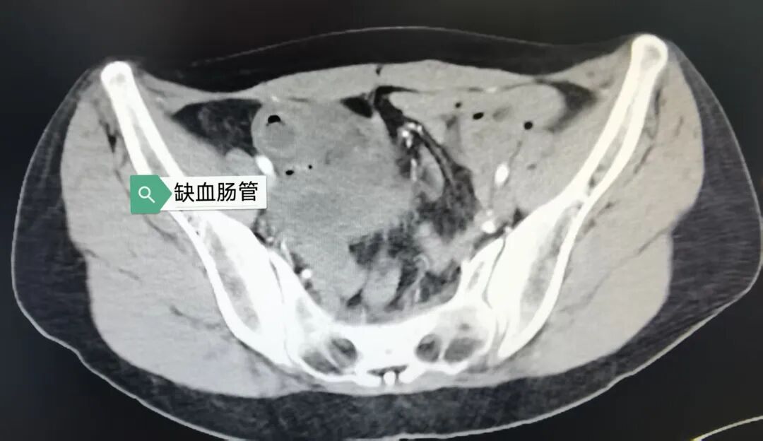
当天下午,被紧急转送至苏州京东方医院急诊科时,小李的脸色已经苍白如纸。急诊科医护人员立即启动绿色通道,腹部增强 CT 检查提示——盆腔右侧急性绞窄性肠梗阻,肠壁已出现缺血改变,盆腔内还有大量渗液。


「情况非常危急,必须立即手术!」普外科王焕来主任医师和李俊医生接到急诊电话后,火速赶到现场。此时,小李的血压下降,生命体征已开始出现不稳定迹象。
一场与时间赛跑的生命接力就此展开。
急诊科、普外科、麻醉科、手术室……多个科室医护人员迅速联动,普外科朱玉喜主任医师、熊振医生从家里紧急赶来支援。办理入院、胃肠减压、静脉输液、术前检查,一切都在争分夺秒中有序进行。
手术室里,无影灯亮起。当王焕来主任医师团队打开小李的腹腔时,眼前的景象证实了术前的判断:一段约 40 厘米的小肠被粘连的索带卡压,肠壁已经发黑、塌陷,完全失去了生机。

坏死肠管 (图片已做褪色处理)
原来,小李此前曾接受过剖腹产手术,术后形成的粘连索带就像一道「隐形枷锁」,缠绕住了她的小肠,导致肠管缺血坏死。这种情况如果延误治疗,可能造成感染性休克、脏器衰竭。
手术团队迅速解除粘连,在与家属充分沟通后,果断切除了坏死的肠段,并进行了精细的一期吻合。为了防止术后再次粘连,团队还专门放置了防粘连药物。
40 厘米坏死肠管的成功切除,不仅是一场技术考验,更是一次生命防线的坚守。
术后,小李被转入重症监护室。在医护人员的精心照护下,她的病情一天天好转。第三天,她顺利转回普通病房。如今,小李已经能正常饮水进食,脸上也恢复了往日的红润。
普外科王焕来主任医师表示:「剖腹产术后腹腔粘连虽不常见,但一旦引发肠梗阻,病情进展会非常迅速。这次抢救成功,得益于多科室的快速反应和紧密协作,为患者赢得了宝贵的黄金时间。」

王焕来主任医师(右一)手术资料图
从急诊到手术室,从 ICU 到普通病房,这场跨越多个科室的深夜救援,不仅挽救了年轻妈妈的生命,更守护了一个家庭的完整。在苏州京东方医院,每一场生命接力赛的背后,都是医护团队对「生命至上」信念的坚守。
编辑 | 鞠娜
责编|张晶
审核 | 王焕来(普外科)曹晓磊
好文章,需要你的鼓励