发布于:2023-11-28
原创

【高尚病例】男子体检出肺结节 3 月余,被诊断肺软骨源性错构瘤 1 例

高尚医学影像诊断中心病例

病史摘要:

中年男性,因体检发现肺部结节 3 月余入科。

既往体检,吸烟半包/天。

检查所见:

PET/CT 显影图像如下:

【PET/CT 全身 MIP 图】

【高尚病例】男子体检出肺结节 3 月余,被诊断肺软骨源性错构瘤 1 例

【PET/CT 融合图】

【高尚病例】男子体检出肺结节 3 月余,被诊断肺软骨源性错构瘤 1 例

【PET/CT 融合图】

【高尚病例】男子体检出肺结节 3 月余,被诊断肺软骨源性错构瘤 1 例

【PET/CT 融合图】

【高尚病例】男子体检出肺结节 3 月余,被诊断肺软骨源性错构瘤 1 例

【PET/CT 融合图】

【高尚病例】男子体检出肺结节 3 月余,被诊断肺软骨源性错构瘤 1 例

【HRCT】

【高尚病例】男子体检出肺结节 3 月余,被诊断肺软骨源性错构瘤 1 例

【HRCT】

【高尚病例】男子体检出肺结节 3 月余,被诊断肺软骨源性错构瘤 1 例

【HRCT】

【高尚病例】男子体检出肺结节 3 月余,被诊断肺软骨源性错构瘤 1 例

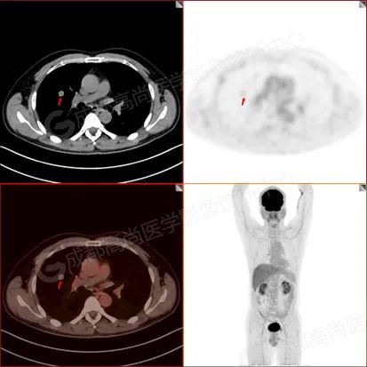
PET/CT 检查示:

右肺上叶前段及右肺中叶外侧段分叶状软组织结节,该病变骑跨水平裂胸膜,大小约 1.5 cm×1.3 cm×1.6 cm(上下径),边界清晰,其内密度欠均匀,CT 值约 18 Hu,FDG 摄取未见明显增高。

PET/CT 诊断:1. 右肺上叶前段及右肺中叶外侧段见一分叶状软组织结节影(约 1.5 cm×1.3 cm×1.6 cm),该病变骑跨水平裂胸膜,FDG 摄取未见明显增高,考虑为良性肿瘤,请结合病理协诊。

病理结果:

【高尚病例】男子体检出肺结节 3 月余,被诊断肺软骨源性错构瘤 1 例

讨 论

一、概述

肺错构瘤是肺内常见的良性肿瘤,约占肺良性肿瘤的 75%,排在孤立性肺结节的第三位,仅次于肺癌和肉芽肿性病变,多见于 30~60 岁成年人,男性多于女性。

二、发病机制

以前认为是正常肺组织因发育异常,导致正常肺组织的不正常组合构成的瘤样畸形,近年来有学者提出错构瘤是一种真正的肿瘤,起源自支气管未分化间质细胞,其主要成分为软骨、脂肪、腺体、平滑肌、纤维及钙化。

三、分型

根据所在部位,肺错构瘤被分为中央型(支气管内型)和外周型(肺内型),发生于气管、支气管黏膜下为中央型,发生于肺内的称为周围型,以周围型为主,多位于肺周边或叶间胸膜下,中央型约占位 10%。

根据病理成份分为软骨型和纤维型。

四、临床表现

一般无症状,多为体检或无意中发现,肺内型错构瘤多无症状,如发生症状较早或明显,多为中央型肺错构瘤,可出现咳嗽、咯血、胸痛、喘鸣等症状,可造成阻塞性肺炎。

五、影像学表现

胸部 X 线为圆形或椭圆形,边缘清楚,密度增高的阴影,有时出现钙化点。

CT 表现类圆形结节或肿块,边界清晰,可有分叶,病灶内可见脂肪密度及钙化灶,爆米花样钙化为肺错构瘤的典型改变(约 10~15% 会出现),对肺错构瘤的定性诊断具有重要意义,但近一半病例无脂肪及钙化时,诊断困难。

六、鉴别诊断

1.   周围型肺癌  

呈分叶状、边缘可见毛刺及胸膜牵拉,PET/CT 放射性摄取增高,而错构瘤 PET/CT 放射性摄取无增高,可以鉴别。

2.   结核球   

边缘光滑、无明显分叶,内密度多不均匀伴干酪样坏死,可有钙化及空洞索条等。PET/CT 放射性摄取多数无增高,少部分放射性摄取轻度不均匀增高。

3.   肉芽肿性炎  

形态多不规则,边缘不光滑,常为多病灶。PET/CT 放射性摄取可增高或不均匀增高,多数可以鉴别。

4.   硬化性肺泡细胞瘤  

女性多见,体积多比肺错构瘤大,周围可见晕征,增强后可见血管贴边征等。

七、病例小结及讨论

该病例为患者体检发现右肺结节,PET/CT 见该结节光滑,位于叶间胸膜处,但胸膜无明显牵拉受侵,FDG 摄取未见明显增高,若以实性为主的肺癌大部分 FDG 摄取为较明显增高,位于胸膜处亦会出现毛刺及胸膜牵拉凹陷等征象,该病例不具备恶性肿瘤征象,PET/CT 可以很好的鉴别;肉芽肿性炎常会有不同程度 FDG 摄取,边缘不光滑,形态常不规则,多病灶;结核球常有卫星灶,中央干酪样坏死多见,多无 FDG 摄取;硬化性肺泡细胞瘤  女性多见,体积多比肺错构瘤大,周围可见晕征,增强后可见血管贴边征等,FDG 摄取不同程度增高。上述鉴别 PET/CT 具体独特优势,当然「同病异影、异病同影」,影像千变万化,除了要有扎实的影像基本功,还要结合临床综合分析,且不能代替病理。

八、病例小结及讨论

以手术切除为主。

推荐阅读

合作咨询