病史摘要
右颈部及胸部皮下肿胀,左侧胸壁软组织肿块,既往史:10 年前卵巢囊肿剥离术。
PET/CT 影像图










检查所见
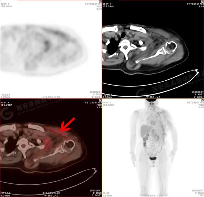
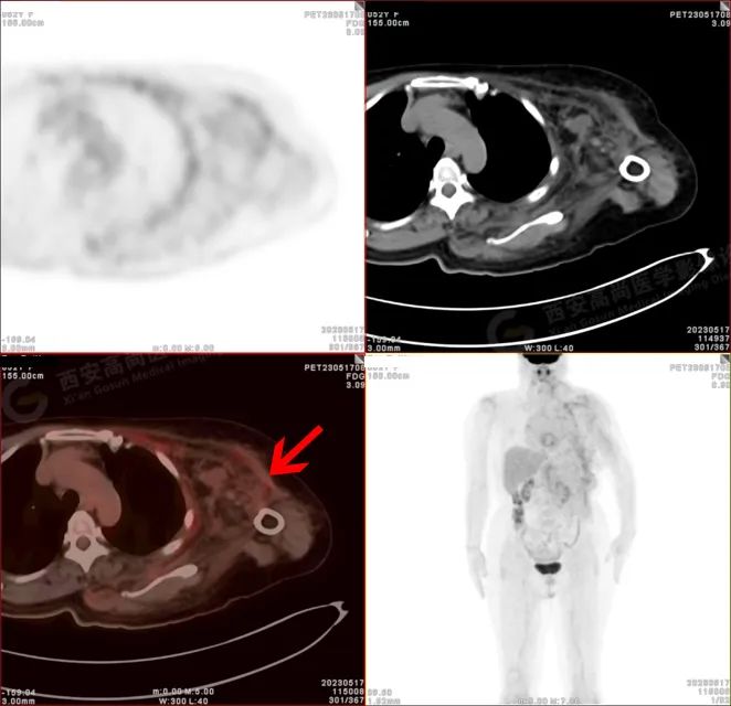
左侧上臂、颈 4-腰 4 椎体水平左侧颈、左侧肩部、左侧腋窝、左侧胸部(含左侧乳腺)、左侧腹部、左侧背部广泛区域皮下及肌肉区可见疏松、肿胀混杂密度软组织病变,边界模糊不清,相邻骨质结构完整,上述病变呈不均匀放射性摄取轻度异常增高,SUV 最大值介于 1.2-2.4。上述改变,符合韧带样纤维瘤病。
病理结果
腹外型韧带样纤维瘤病。
讨论
01 韧带样纤维瘤病
韧带样纤维瘤(desmoid fibromatosis,DF)是一种少见的间叶组织来源肿瘤,侵袭性较强,术后易复发,但不发生转移。又称为韧带样瘤、侵袭性纤维瘤病等,发病率为 3/100 万~4/100 万,2013 年 WHO 软组织肿瘤分类标准中将其归类为来源于成纤维细胞或肌成纤维细胞性肿瘤,为交界性软组织肿瘤。DF 按病变部位为腹外型(约占 60%)、腹壁型(约占 25%)、腹内型(约占 15%)。既往研究显示,腹外型 DF 的发病高峰年龄为 25~30 岁;腹壁型 DF 则好发于育龄期女性、有腹壁手术史及长期服用避孕药的人群;腹内型 DF 好发年龄为 40~60 岁,病灶常较大。
02 影像表现
03 鉴别诊断
腹外型 DF 应与纤维肉瘤、神经鞘瘤、软组织淋巴瘤等鉴别:
①纤维肉瘤:两者均具有侵袭性生长的特点,纤维肉瘤好发于中年人,肿块生长迅速,瘤内多伴囊变、坏死,部分可见出血及钙化;而 DF 很少出现上述表现。
②神经鞘瘤:生长缓慢,容易囊变,主要发生于脊髓的各个节段。MRI 冠状面和(或)横断面常能够清晰地显示肿瘤经过神经孔形成「哑铃状」征象。
③软组织淋巴瘤:信号均匀、密实,扩散明显受限,增强扫描呈中等均匀强化。
腹壁型 DF 应与腹壁切口子宫内膜异位症、血管瘤等鉴别:
①子宫内膜异位症:常伴有与月经周期相关的疼痛,T2WI 呈高低混杂信号,内见散在的斑点状极低信号及边缘「黑环」。病理镜下为子宫内膜腺体细胞、基底细胞及含铁血黄色吞噬细胞。
②血管瘤:压脂 T2WI 呈明显高信号及病灶内见扩张纡曲的流空血管影,增强扫描后明显强化。
腹内型 DF 应与淋巴瘤、平滑肌肉瘤等鉴别:
①淋巴瘤:主要位于腹主动脉旁,易融合成团,包绕和(或)推移血管呈「血管淹没征」
②平滑肌肉瘤:间叶源性恶性肿瘤,易伴有不规则出血、坏死。
04PETCT 在韧带样纤维瘤病的诊疗价值
随着 PET/CT 的广泛应用,其在肿瘤早期诊断、良恶性鉴别、肿瘤分期等方面显示出独特优势。一项关于 DF 在 18F-FDG PET/CT 检查表现的研究表示:
17 例患者检出的 18 枚病灶均表现为轻中度摄取 FDG,平均 SUVmax 为 3.86±1.28,即使较大的病灶 SUVmax 也并未显著增高。DF 肿瘤大小与 SUVmax 无显著相关性。轻中度 FDG 摄取很好地体现了 DF 介于良性和恶性肿瘤之间的生物学特性,有助于与恶性肿瘤鉴别。尽管 DF 不发生远处转移,但术后容易复发。而肿瘤侵及邻近结构是肿瘤复发的高度危险因素。因此,术前准确提供肿瘤浸润情况对于治疗方式的选择及预后判断具有重要意义。
浸润组与非浸润组病灶大小无显著差异,而 SUVmax 有显著差异。浸润组 SUVmax 显著大于非浸润组。本组有 3 例手术无法完整切除而采用放射治疗,其 SUVmax 均高于平均值,最高达 6.3。18F-FDG PET/CT 显像反映肿瘤分子水平的糖代谢情况,肿瘤的葡萄糖代谢水平与肿瘤的生长速度、侵袭性及恶性程度存在显著正相关。
总之,DF 多表现为轻中度 FDG 摄取,其摄取 FDG 程度与肿瘤的大小无显著相关。SUVmax 有助于判断其侵袭性,SUVmax 较高的病灶更倾向于浸润邻近组织器官。
好文章,需要你的鼓励