患者某先生,67 岁,体检发现 AFP 升高。
2021/11/05 肿瘤指标:AFP 2118.25ug/L;2021/11/12 肿标:AFP 1877.8ug/L(0-9)。2021/11/07 外院 CT 示:双肺多发小结节;肝脏未见明确占位。2021/11/05 彩超示:肝血管瘤。
既往:高血压数年,目前口服药物控制;否认乙肝、糖尿病病史。否认有毒有害物质接触史。






影像诊断:
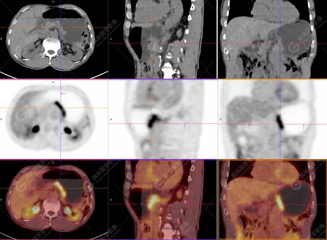
1. 胃小弯侧胃壁不均匀性增厚,代谢增高,考虑为胃肝样腺癌,建议胃镜活检。
2. 胃周、小网膜囊及腹膜后多发小淋巴结,代谢不高,考虑为转移可能。
病理结果:胃肝样腺癌。
胃癌是临床高发的消化道恶性肿瘤之一,具有较强异型性,胃癌的发生、进展过程繁冗,是由多因素、多基因、多阶段共同介导的病理性过程,发病初期,病情隐匿,部分患者偶可伴有消化道类似症状外,缺乏典型的临床特征,患者自觉症状较轻,故早期诊出率较低。疾病检出时,患者已经失去治疗的最佳时机。针对该类患者即使在进展期实施放化疗辅助手段,治疗结果也很难达预期。既往胃癌的早期诊断主要依赖消化内镜检查,伴随影像医学的发展,特别是 18F 脱氧葡萄糖 (18F-flouro deoxy glucose,18F-FDG) 正电子发射计算机断层扫描 (positron emission computed tomography,PET/CT) 其在为检查者提供正确解剖信息外,还可获取肿瘤病灶的代谢信息,在众多恶性肿瘤的术前评估中得以广泛应用。
肝样腺癌是一种原发性恶性肿瘤,最常见于胃,称为胃肝样腺癌(hepatoid adenocarcinoma of thestomach,HAS)。HAS 是一种特殊类型的原发性胃癌,临床罕见。在病理上可见肝细胞癌分化区和腺癌分化区。除胃以外,肝样腺癌也见于肺、胰腺、子宫、卵巢等器官 。根据文献报道,HAS 的发病率为 0.38%~0.73%。常见于中老年人群,中位发病年龄约为 60 岁,具有性别差异,男女比例约为 2:1 。
好发于胃窦部,以浸润溃疡型为主,恶性程度高、侵袭性强,极易发生腹腔淋巴结转移及肝转移,预后差。临床主要表现为胃区钝痛、腹胀、黑便等非特异性症状,血清 AFP 阳性率可达 70%~80% 。其确诊依靠胃镜活检或胃切除标本病理检查,诊断标准以形态学特征为依据,出现肝细胞癌样分化区的胃癌,均称为 HAS。
HAS 的影像学表现具有一定特征。CT 上多表现为胃壁不规则明显增厚,平均厚度超过 3.0 cm,肿瘤多向腔内生长形成较大的软组织肿块,易合并出血、坏死,密度不均匀,边界不清晰,常向周围浸润,累及肝脏、胰腺、食管等邻近器官,增强扫描呈轻至中度不均匀强化;腹腔淋巴结转移和肝脏转移常见,肝转移瘤以多发较大的低密度肿块为主,与原发性肝癌(HCC)动态增强扫描方式相似,均呈「快进快出」;易侵犯局部血管,较常见到大的分支如门静脉或脾静脉癌栓形成。
病灶组织的分化程度反映的是恶性程度情况,病灶分化程度越低提示恶性程度越高,对营养物质的需求更高,更容易累及周围组织或器官,再者恶性程度越高的组织,18F-FDG 摄取的越多,PET/CT 代谢参数 (SUV max ) 随之升高明显。
综上所述,HAS 好发于中老年男性,典型表现为胃窦或胃体小弯侧偏心性厚壁肿块,常伴血清 AFP 指标升高且早期易出现胃周淋巴结和肝脏转移。影像学表现符合胃癌且临床伴有血清 AFP 指标明显升高的患者需要考虑到 HAS 的可能。当发生肝转移时与原发性肝癌的主要鉴别点为是否有肝炎及肝硬化病史。
参考文献:
[1] 郑红娜, 朱毅, 解敬慧, 张延军. 胃肝样腺癌~(18)F-FDG PET/CT 显像 1 例并文献复习 [J]. 中国临床医学影像杂志,2016,27(11):833-834.
[2] 张在炬, 陈亚明, 丁正强.~(18)F-FDG PET/CT 代谢参数与胃癌临床病理特征的相关性分析 [J]. 临床和实验医学杂志,2021,20(13):1450-1454.
[3] 严志强, 贺文广, 瞿华, 崔凤. 胃肝样腺癌 CT 影像特征及误诊分析 [J]. 浙江中西医结合杂志,2020,30(03):235-237+266.
作者简介

郭秀梅 核医学科 执业医师
毕业于湖南中医药大学医学影像专业,曾于广州医科大学附属第一医院参加住院医师规范化培训,熟悉常见病的影像诊断,包括 PET/CT,DR,CT,MRI。对疑难疾病有一定的诊断思路。熟悉 CT 三维后处理,包括冠脉后处理,各种血管重建,骨重建等。
好文章,需要你的鼓励