女性患者,28 岁,体检发现左肺下叶一个 9 mm 的结节,外院告知不排除肿瘤可能。后来她来到高尚医学影像中心再次检查。
经过我中心的检查以及结合她的病史,给出诊断结论:考虑为感染性病变(隐球菌感染可能),然后告诉她先别想太多,建议相关科室两周抗炎治疗,再复查个 CT 就可以了。
一周后她又来到我中心,要求提前复查,复查薄层 CT,病灶内部出现小空洞,体积较前略缩小,原边缘磨玻璃渗出吸收消失。我中心给出诊断结论:为肺隐球菌感染。她本人以及我中心都是最幸福的时刻,因为又一位「患者」摆脱了「肿瘤」的困扰。
女性患者,28 岁,体检发现左肺结节,无咳嗽、咳痰及其它呼吸系统相关症状,无恶心、呕吐及发烧,既往剖腹产手术,2 年前鼻咽部增生手术史(良性病变),术后未行其它治疗。否认乙肝、结核及糖尿病病史。
外院 CT 平扫示:左下肺结节,约 0.9 cm。
血液检查:无异常。

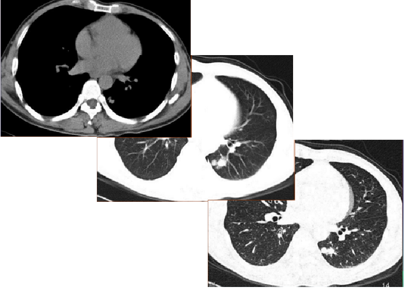
左肺下叶背段一枚结节,大小约 1.3 cm×1.1 cm×1.4 cm,CT 值约 20 Hu,界限清楚,密度尚均匀,周围可见晕征,SUV 最大值为 6.6。

上述结节周围另见一枚小结节,大小约 0.7 cm×0.5 cm×0.5 cm,边界清楚,放射性摄取稍增高,SUV 最大值为 1.8。

HRCT 见血管及支气管贴边征,未见明显血管集束征、毛刺及支气管截断征。
诊断结论:考虑为感染性病变(隐球菌感染可能),建议治疗后复查。

随访:临床治疗一周后复查薄层 CT,病灶内部出现小空洞,体积较前略缩小,原边缘磨玻璃渗出吸收消失。
是有新型隐球菌引起的亚急性或慢性深部真菌病,主要侵犯肺和中枢神经系统,常发生于恶性肿瘤、白血病、淋巴瘤或应用大量皮质激素或化疗等免疫功能低下者。
新型隐球菌的孢子由呼吸道吸入人体,在肺形成初感染灶,健康人可自愈。病灶仅局限于肺脏,局部病变进展缓慢。当抵抗力减弱时,可经血液播散至全身,累及中枢神经系统,以隐球菌脑膜炎常见。
1. 1/3~1/2 的肺部病变者表现为肺部结节,而无任何症状。隐匿起病,轻度咳嗽、发热。少数呈急性肺炎表现,高热、气急、胸痛。
2. 并发脑脊髓膜炎时,症状明显加重,常有中等程度发热,并出现脑膜脑炎症状和体征。
X 线表现:常表现为单发、多发结节或团块,可有空洞。
最经典的征象是多发结节簇状、肺外周分布。
同一结节可见数个小空洞,可见晕征。
簇状分布多与感染沿气道播散有关。
单发结节强化不显著,多见晕征可有厚壁空洞或液平,也可见内含无强化低密度的单发片状病灶。
1. 常规检查多正常。
2. 病原学检查:痰培养和痰涂片检查阳性率低、特异性不高。
经皮穿刺活检、细针抽吸、经支气管镜防污染毛刷获得的标本,经镜检或/和培养出隐球菌则具有诊断价值。
3. 免疫学试验:隐球菌厚荚膜含有特异抗原性多糖。
应用乳胶凝集试验检测血清或脑脊液中隐球菌荚膜多糖体抗原,简便、快速、灵敏、特异性强,是早期诊断的主要手段。
病例 1:男 35 岁 发现右肺阴影 15 天,无咳嗽、咳痰,无发热盗汗,无胸痛气促
CT 平扫右肺下叶背段及外基底段多发簇状小结节,穿刺确诊肺隐球菌。

病例 2:男,46 岁,皮疹一年半,发热一月余,抗 HIV 试验(+),查脑脊液提示「隐球菌脑炎」,行肺部 CT 检查如下

1. 青壮年,多见于 40 岁左右,有免疫低下或者长期单独较封闭工作环境,临床表现轻微,胸部 CT 发现多发结节簇状肺外周分布,单个结节内数个小空洞,伴或不伴晕征,应首先考虑肺隐球菌病。
2. 如同时合并痰液或支气管肺泡灌洗液直接镜检或培养新生隐球菌阳性或血液、胸腔积液标本隐球菌荚膜多糖体抗原阳性,则可诊断。由于隐球菌细胞壁没有(1,3)-β-D 葡萄糖抗原,故血清 G 试验在隐球菌感染时阴性。
3. 本病确诊依据包括手术切除或穿刺活检病理,血液和无菌腔液(如胸腔积液、脑脊液)镜检或培养隐球菌阳性。
4. 如仅有宿主危险因素而无临床症状和病原学检查支持,则为拟诊病例。
多有原发肿瘤病灶,分布随机,不同于肺隐球菌病的簇状分布,多发病灶不局限于某一肺段。鳞癌、肉瘤、肾癌、绒癌转移易出现空洞,但不似隐球菌病,极少出现单一病灶内多个小空洞征。
中老年男性,有吸烟史,结节形态不规则,多见短毛刺、分叶、胸膜凹陷征及支气管截断征,多厚壁空洞伴内壁不规则或壁结节,相关肿瘤指标多数阳性。晚期可有淋巴结、脏器及骨转移等间接征象。
多见于上叶尖后段或下叶背段,呈多种形态同时出现(隐球菌病灶形态单一),大部分可见钙化,主病灶周围的卫星灶、树芽征具有一定特征性。增强无强化或边缘轻度强化,可有午后低热、盗汗及 PPD 试验、T-SPOT、痰检或痰培养阳性。
作者简介

束钊华医师 陕西省非公医疗机构协会核医学专业委员会委员
2012 年入职高尚,从事医学影像相关工作 10 年,从事 PET-CT 临床诊断 2 年,积累了丰富的影像诊断临床经验!熟悉全身 PET/CT 诊断,尤其对肺部、乳腺常见病、疑难病例有一定的临床经验和研究。
好文章,需要你的鼓励