病史摘要:
患者老年男性,74 岁,因右肩不能上举伴疼痛 1+月就诊,未述外伤史,现来行右肩 MRI 检查了解右肩结构情况。
检查所见:
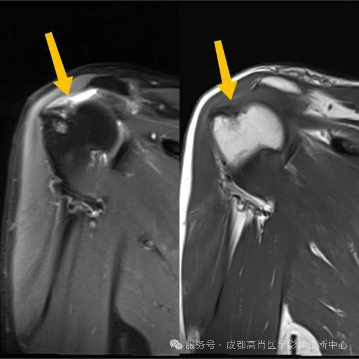
右肩 MRI 检查图像





图 1—5 MRI 平扫示右肩冈上肌肌腱失去正常形态结构,局部显示欠连续,肌腱附着点未见正常结构显示,提示冈上肌腱断裂。
讨 论
一、概述
冈上肌起自肩胛骨的冈上窝,向外肩伸展,终止于肱骨上端的大结节,被斜方肌和三角肌覆盖,其肌腱与冈下肌、肩胛下肌、小圆肌共同组成肩袖。冈上肌的作用为固定肱骨头在肩盂中,并与三角肌协同作用,使上肢外展,冈上肌在肩关节肌群中,是肩部力量集中的交叉点,受力于四方,因此是比较容易劳损的肌肉。另外,冈上肌肌腱在止点近侧的终末段 1~1.5 cm 范围内是无血管区,又称危险区域,是肌腱近侧端滋养血管的终末端与肌腱大结节止点部来自骨膜滋养血管的交界区域,此外是血供薄弱部位,也是肌腱退化变性和断裂的好发部位。退变的腱纤维常因外伤或肌肉突然收缩,而发生完全或不完全断裂。
二、损伤机制
1、外伤性损伤:跌倒时手臂撑地、提拉重物或运动(如投掷、游泳)中突然发力导致肌腱撕裂。
2、慢性退变:中老年人因肌腱血供减少、反复磨损(如长期抬肩工作)引发肌腱退化性撕裂。
3、其他风险因素:肩峰形态异常(如骨刺)、糖尿病、吸烟等可能加速肌腱退化。
三、临床特征
冈上肌腱断裂是肩关节常见损伤,好发于青中年以上年龄的体力劳动者、家庭妇女、军人、运动员、搬运工人等,主要表现为肩部疼痛、活动受限、无力,以肩关节前外侧深部和上臂外侧持续性钝痛为特点,肩外侧及三角肌止点处疼痛,冈上肌肌腱止点处痛,肩外展及内、外旋时疼痛明显,抗阻力运动时疼痛加重,肩反弓时疼痛,有的可出现肩部肌肉萎缩,肩关节活动明显受限,尤其是外展困难。
四、分型
冈上肌腱损伤的分级主要基于肌腱撕裂的程度、范围及伴随病变,临床常用影像学(如 MRI)和关节镜下观察进行判断,主要分为部分撕裂和全层撕裂,其中全层撕裂可进一步按撕裂大小(如<1 cm、1-3 cm、3-5 cm、>5 cm)或累及肌腱宽度比例(如<25%、25%-50%、>50%)细分。此外,还会结合脂肪浸润、肌肉萎缩等退变程度综合评估。
1、部分撕裂分级
(1)关节面部分撕裂(PASTA 损伤)
肌腱关节面侧纤维部分断裂,未累及全层,根据撕裂深度分为:
Ⅰ级:撕裂深度<3 mm 或<肌腱厚度的 25%;
Ⅱ级:撕裂深度 3-6 mm 或 25%-50%;
Ⅲ级:撕裂深度>6 mm 或>50%。
常表现为肩关节外展疼痛,可通过保守治疗(如理疗、药物)或微创修复。
(2)滑囊面部分撕裂
肌腱滑囊侧纤维损伤,较少见,需结合 MRI 明确范围,治疗原则与关节面撕裂类似。
2、全层撕裂分级
●小型撕裂(<1 cm):累及单一肌腱(冈上肌),肩袖功能部分保留;
●中型撕裂(1-3 cm):累及冈上肌及部分冈下肌;
●大型撕裂(3-5 cm):累及冈上肌、冈下肌及部分肩胛下肌;
●巨大撕裂(>5 cm):累及多个肌腱,常伴明显回缩或脂肪浸润。
五、诊断
1、体格检查:通过「空罐试验」(Jobe 试验)或「坠落试验」评估冈上肌功能。
2、影像学检查:
●超声:动态观察肌腱连续性,判断部分或完全断裂。
●MRI:明确撕裂范围、肌肉萎缩程度,是诊断「金标准」。
(1)肌腱信号增高:在 MRI 的 T2 加权图像上,肩袖肌腱中出现高信号影,这通常是由于肌腱的水肿、出血或炎症引起的。信号增高的程度和范围可以帮助判断损伤的严重程度。
(2)肌腱形态改变:肩袖肌腱在 MRI 上可能出现变细、不规则或连续性中断等形态改变。这些改变提示肌腱的撕裂或断裂,需要进一步的诊断和治疗。
(3)关节积液:肩袖损伤后,肩关节内可能出现无菌性炎症反应,导致关节积液。在 MRI 上,关节积液表现为高亮液性信号影,通常位于肩袖损伤部位或肩关节腔内。
(4)肩峰下间隙积液:肩袖损伤还可能累及肩峰下滑囊,导致肩峰下间隙积液。这种积液在 MRI 上同样表现为高亮液性信号影,有助于诊断肩袖损伤及其并发症。
示例:

A. 正常冈上肌腱前部;B. 正常冈上肌腱中部层面;C. 冈上肌腱变性;D. 冈上肌腱中部完全撕裂;E. 冈上肌腱滑囊面部分撕裂;F. 冈上肌腱关节面部分撕裂


MRI 可帮助确定肌腱损伤的损伤部位和严重程度,尤其是 MRI 可以清晰的显示肩袖的部分撕裂, 对诊断具有较高的价值。
六、治疗
如果冈上肌肌腱的撕裂比较轻,在早期可以进行保守治疗,减少肩关节的活动或者是进行肩关节的制动,让撕裂的肌腱自己进行愈合,同时给予舒筋活血片药物口服或沃塔林软膏外敷消炎止痛,促进肌腱的恢复,也可冲击波、短波、超声等物理因子治疗辅助。如果冈上肌肌腱的撕裂比较严重,不能够自己自愈,可能需要关节镜下的肩袖损伤的缝合,在关节镜下将撕裂的肌腱缝合加固治疗;具体根据患者的病情决定治疗方案也不同。
在出现冈上肌腱撕裂的情况后,应尽早就医进行检查和治疗,在医生指导下规范治疗,避免不良后果的发生。

审核医生:吴平 副主任医师
好文章,需要你的鼓励