眼眶结构精细复杂,包含视神经、眼外肌、血管、脂肪及眼球等重要组织。磁共振成像(MRI)凭借其卓越的软组织分辨率和多参数、多方位成像能力,已成为评估眼眶病变(如炎症、肿瘤、外伤、视神经疾病等)不可或缺的无创检查手段。然而,获取高质量的眼眶 MRI 图像极具挑战性,主要源于生理性眼球运动、磁敏感伪影以及眼眶解剖结构微小且走行特殊(如视神经斜行穿过眶尖)。这就需要我们掌握 MRI 对眼眶扫描的规范化流程。
肿瘤:如眼眶海绵状血管瘤、泪腺混合瘤、视神经胶质瘤、眼眶脑膜瘤等,MRI 可清晰显示肿瘤的大小、形态、位置、与周围组织的关系及内部结构。
炎症:如眶蜂窝织炎,MRI 可显示眶内软组织肿胀、炎症范围及是否累及周围组织。如慢性泪腺炎、眼眶炎性假瘤等,可观察炎症的分布、有无纤维化等改变。
血管畸形:如眶内静脉曲张、动静脉畸形,MRI 可显示血管的走行、扩张程度及与周围组织的关系。
血管栓塞或狭窄:可观察视神经鞘膜积液、眶内血管是否栓塞、狭窄等,对诊断颈动脉海绵窦瘘等有重要价值。
骨折、软组织损伤:显示眶壁骨折,以及骨折对眶内结构的损伤;眼球挫伤、眶内血肿、眼外肌损伤等,MRI 能清晰显示损伤的部位、程度。
神经眼科疾病:如视神经病变、视神经炎、视神经萎缩等,可观察视神经的形态、信号变化。
先天性病变:如先天性眶内发育异常、眼球发育畸形等,有助于诊断和评估。
检查前预先告知患者检查的全过程,嘱受检者自然闭双眼,尽量减少眼球转动。
1. 线圈
使用头线圈或头颈联合线圈或眼部专用线圈。
2. 患者摆位
仰卧位,头先进。患者肩部紧贴头颈联合线圈,头部左右居中,两侧使用海绵垫固定。定位时,提醒患者闭眼保护视力,激光定位灯十字线位于患者鼻根部或双侧眼裂连线即可。
1. 常用序列与参数:
平扫:
localizer
T1-tse-tra
T2--tse-tra
T2-tse-fs-tra
T1-tse-cor
T2-tse-cor-fs
T2-tse-sag(L/R)
T2-tse-fs-sag(L/R)
增强:
T1-tse-fs-Tra
T1-tse-fs-Cor
T1-tse-fs-Sag(L/R)
2. 对比剂: 使用钆对比剂,剂量为 0.1 mmol/kg,宜采用高压注射器注射,注射流率 2.0~2.5 ml/s。对比剂注射前、后分别注射 20 ml 生理盐水冲管。
横断位定位: 在矢状位上平行于视神经,覆盖整个眼眶的上下缘;在冠状位上,平行于两侧视神经的连线。

矢状位定位: 在横断位上平行于视神经,在冠状位上平行于大脑纵裂。左右眼眶的矢状位应分开扫描,以避免交叉伪影,为减轻血管搏动伪影,建议添加上下饱和带。

冠状位定位: 在横断位上垂直于大脑中线,在矢状位上垂直于视神经内段,冠状面扫描范围应从眼球延伸至视交叉。

T1-tse-tra

T2--tse-tra

T2-tse-fs-tra

T1-tse-cor

T2-tse-cor-fs

T2-tse-sag-right

T2-tse-fs-sag-right

增强 T1-tse-fs-Sag-rigth

增强 T1-tse-fs-Cor

增强 T1-tse-fs-Tra

01、病例展示
甲亢(Graves 眼病)

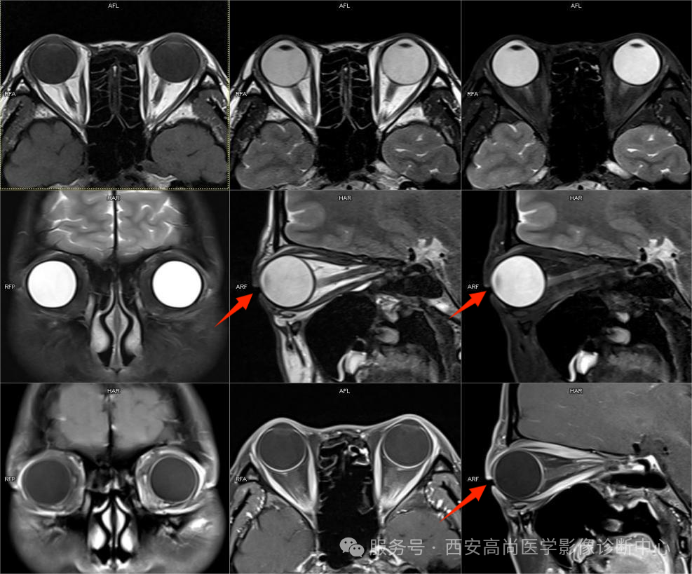
外伤-义眼

右眶内义眼植入术后,眶上壁骨质结构欠连续,前结膜区可见新月形双低信号,右眼睑及眶周皮下软组织压脂信号稍增高,部分呈网格状改变,局部呈弱强化影。
血管瘤

右侧眼眶内(眼球右下方约 7 点方向)见小结节样 T1 等信号,T2-FS 稍高信号,边界清晰,增强呈显著均匀强化,强化边界清晰。
淋巴瘤

右侧眼眶内见一不规则结节样 T1 等信号,T2-FS 稍高信号,跨肌锥生长,与右侧视神经边界欠清晰,增强呈中等以上均匀强化,强化程度低于眼肌,强化边界清晰。
眼眶 MRI 是一项精细的检查,其成功依赖于严谨的禁忌症筛查、充分的患者沟通、合适的线圈与序列选择、优化的扫描参数(高分辨率、有效脂肪抑制)、严格的患者制动(尤其是眼球)以及放射科医生的专业判读。规范的流程是获得高质量图像并做出准确诊断的保障。
好文章,需要你的鼓励