近日,77 岁的吴大爷终于能顺畅呼吸了。浙大四院心血管内科夏淑东主任团队仅在他大腿上开了个 1 cm 的小口子,就成功为他更换了「生锈」的心脏瓣膜。同样受益的还有 72 岁的李爷爷,医生用特制的「小夹子」为他修补好了关不严的「心门」。

「无需开胸,创伤小、恢复快,特别适合高龄、体弱或合并多种疾病的患者。」
夏淑东介绍,近期团队连续完成 3 台高难度心脏微创介入手术,为高龄、高危心脏瓣膜疾病患者成功「解锁」生命通道。 这些过去需要「开胸锯骨」的大手术,如今通过心脏微创介入技术就能完成。更令人欣喜的是,随着浙江省医保取消人工瓣膜等耗材支付限额等医保新政落地,这类手术费用将大幅降低,让更多患者看得起病、治得好病。

主动脉瓣和二尖瓣病变是常见的心脏疾病。
吴大爷患有重度主动脉瓣狭窄,稍微活动就会胸闷气促,长期卧床让他的生活质量极差。考虑到老人还患有慢阻肺、糖尿病、房颤等多种基础疾病,开胸手术风险太高。

浙大四院心血管内科团队为他实施了经导管主动脉瓣置换术(TAVR)。医生仅在他大腿根部切开 1 cm 的小口,通过导管将人工瓣膜送到心脏位置,替换了病变的瓣膜。术后第二天,吴大爷就能下床活动,胸闷症状明显改善,心脏血流通畅。


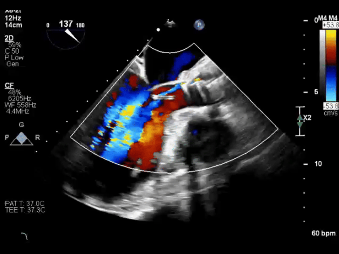
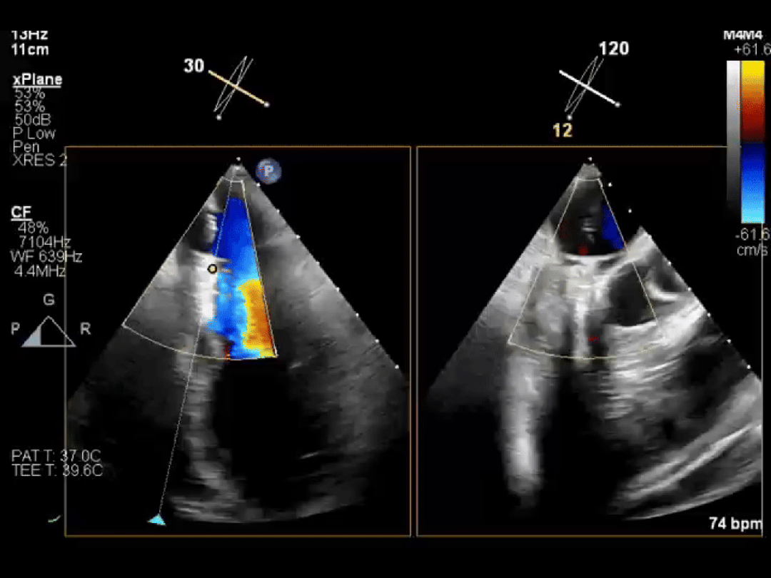
同样幸运的还有李爷爷。他因心脏二尖瓣脱垂导致血液严重反流,随时可能发生心衰。经过评估,医生为他选择了经导管二尖瓣钳夹术(TEER)。
手术中,医生通过大腿静脉送入特制夹子,在超声引导下精准夹合脱垂的瓣叶。整个手术不到 1 小时,李爷爷原本关不牢的「心门」变得「严严实实」,术后反流明显减少,充分彰显了团队的技术实力。


值得关注的是,浙江省医保局最新政策明确,从 2024 年 5 月起,取消人工瓣膜等 4 类医用耗材 3 万元的医保支付限额,按基本医疗保险规定支付。这意味着,像 TAVR、TEER 这类手术的费用将大幅降低。
「以 TAVR 手术为例,重度主动脉瓣病患者原先自付部分可能要二十几万元,现在医保报销后,个人负担将明显减轻。」这不仅让更多患者能够接受最佳治疗,也让医生在选择治疗方案时能更关注患者个体需求。
随着我国老龄化进程加快,心脏瓣膜疾病患者数量持续增加。微创介入技术的发展,加上医保政策的支持,正在让「不开刀治大病」成为现实。
浙大四院心血管内科团队表示,将继续优化治疗方案,让更多患者在家门口就能享受到优质的医疗服务。如果您或家人有心脏瓣膜方面的问题,可以前往医院专科门诊咨询。
好文章,需要你的鼓励