在医疗行业,口腔科医生常常被称为「微笑背后的守护者」。他们用专业的技术和温暖的态度,帮助患者重拾健康与自信。而在这些守护者中,有一群青年医生正以他们热情与担当,诠释着新时代青年的责任与使命……


「患者的笑容就是我们最大的成就。」这是浙大四院口腔科副主任医师王錡常常说的话。在日常工作中,她不仅要面对复杂的医疗案例,还要关注患者的心理状态。
苏苏(化名)就是这样一位特殊的「埋伏牙」患者。

牙齿萌出期已过而仍在颌骨组织中未能萌出的牙齿称为埋伏牙 (embeded teeth)。图内左 1 即为埋伏牙。
「小时候很喜欢舔牙齿。」据苏苏回忆,「其他小朋友都换完了牙,只有我的门牙还迟迟没有长出来。每次被笑的时候,长辈们总会安慰我等我长大它会长出来的。」因为牙齿异常,苏苏从小不敢笑,不敢与人有近距离交流。
成年后,深埋在牙龈里的门牙始终没有萌出,苏苏在父母的陪同下面诊了多家医院,也咨询了多位医生。最终,她选择了浙大四院口腔科。
单颗埋伏牙牵引成功与牙根的发育、牙槽骨骨骼情况等多方面相关,存在很多不确定性,在青少年时期进行埋伏牙牵引成功率最大。

而苏苏是三颗牙齿像「叠罗汉」一样阻生在一起。这对于本身牵引成年人阻生牙的治疗来说,更是「难上加难」——
挑战 1:
牙齿萌出路径受限
成年人的颌骨已经发育成熟,骨骼密度较高,牙齿萌出的空间有限。
多颗埋伏牙重叠排列会进一步减少可用空间,使得牵引路径更加复杂,可能需要多次手术或分阶段牵引,治疗时间长且复杂。
挑战 2:
手术操作难度增加
需要先通过手术暴露埋伏牙,然后安装牵引装置(如正畸钩或种植体支抗)。
对于三颗重叠的埋伏牙,可能需要分阶段牵引,逐步为后续牙齿腾出空间。
挑战 3:
骨质改建困难
成年人的骨重塑能力较弱,牙齿移动的速度更慢且效果有限。
如果埋伏牙周围的骨组织过于致密,可能需要额外的去骨术来创造空间。
挑战 4:
潜在并发症风险增加
牵引过程中可能导致邻近牙齿受损或牙根吸收。
多颗重叠的埋伏牙增加了手术操作的复杂性,从而提高了并发症的风险。
针对苏苏的复杂情况,浙大四院口腔科专门制定了 2 套方案。
一是全口正畸治疗+牵引开窗:通过牵引将埋伏在牙龈下的三颗牙齿一一牵引出来,这是最优方案。由于成年人牵引成功率的不确定性,若牵引阻生牙不成功,则需要二次开窗手术将阻生牙拔除,后期种植手术修复缺失牙位。
二是全口正畸治疗+开窗拔出埋伏牙+种植修复缺失牙:不做牵引埋伏牙,直接开窗手术拔除埋伏牙,这个方案的优点是避免二次手术的可能,但需要在年轻的苏苏口内植入三颗种植牙。
考虑到苏苏强烈希望可以采用更隐形的矫正技术,以便她在这段时间可以正常的工作、交流。经过多次充分沟通,苏苏选择了第一种方案。
针对牵引埋伏牙,业内传统的正畸方式是固定矫正技术,而这次来自患者强烈要求,又为本次牵引增加了不小的难度。
2019 年 3 月,20 岁的苏苏踏上了重拾「微笑」之旅。
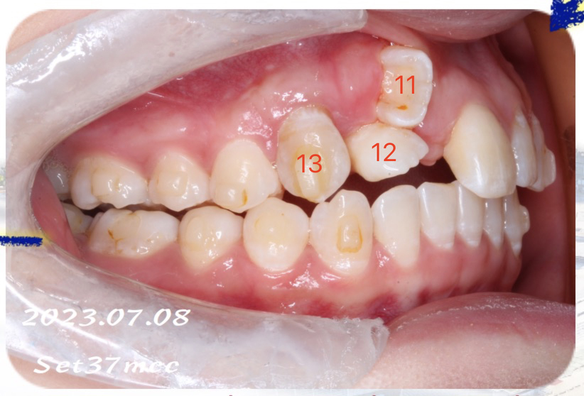
首先,王錡团队利用了无托槽隐形矫正将患者咬合关系调整完善,纠正上中线的位置,同时,联合口腔外科进行开窗(切开牙龈并去除部分骨组织),并在 13 号牙齿上粘接牵引钩链,为之后的导萌做准备。

当阻生牙的萌出有了足够的空间之后,医生开始用花式皮圈牵引阻生牙,利用矫治器,支抗钉等位置牵引阻生牙。
慢慢地,当叠起来的 13 号牙和 12 号牙都在设定的轨道上慢慢归位后,最关键的一步是将「隐藏」在最底端的 11 号大门牙牵引出来,更要将这个有着近 90 度的扭转将其纠正回来。


令人惊喜的是,苏苏的正畸治疗非常成功,不仅成功将三颗埋伏牙成功牵引出来,更是保留了自身的牙齿,不需要「拔牙」、「种植牙」。如今的苏苏不仅重拾了一口健康的牙齿,更找回了自信的笑容。
看着苏苏复诊时阳光的笑容,王錡不禁感慨道:「那一刻,我感受到自己的工作不仅仅是治疗疾病,更是帮助患者重新拥抱生活的美好。」
「口腔科医生的工作常常需要极大的耐心与细致。」王錡表示,除了成年患者以外,她还要跟很多小朋友打交道。在为儿童进行牙齿矫正时,她花了大量时间与孩子沟通、建立信任,最终让孩子克服了对看牙的恐惧。


在忙碌的临床工作之余,王錡还积极参与公益活动、健康科普,致力于提高普通大众尤其是青少年儿童对口腔健康的关注。
她开设个人新媒体账号,加入医院志愿者团队,与外科第四党支部一起利用业余时间走进学校、社区和偏远地区,为学生、居民提供免费诊疗服务。

作为口腔科新晋青年副高专家,她说:「我希望通过这些努力,让更多人意识到『牙齿健康也是整体健康的一部分』。」

你笑起来真好看
在这个属于青春与理想的日子里
我们向每一位青年致以真诚的祝福!
愿每一位青年医者都能以匠心琢玉
用专业与热情书写属于自己的职业故事
让青春在平凡的岗位上绽放出耀眼的光芒!
好文章,需要你的鼓励