十年「缉凶」,人都快奄奄一息了还不知道坑自己的是哪种病……
近日深圳市萨米医疗中心(深圳市第四人民医院)神经内科医生办公室,收到了一份常规会诊邀请:
63 岁的张伯(化名)因为头晕、食欲不振、腹胀在消化内科住院十多天了,他被诊断为「急性病毒性肝炎」。
经过治疗后张伯的食欲不振和腹胀有所好转,但是头晕、头痛仍然困扰着张伯,所以消化内科便邀请神经内科一同对张伯进行会诊。
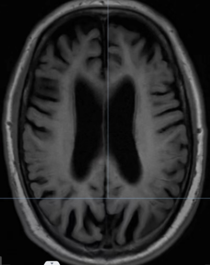
这次会诊看似常规,却遇上了非比寻常的病例:一个颅脑 MRI 平扫影像,开启神经内科抽丝剥茧的解谜。
张伯的颅脑核磁平扫表现出了与之年龄很不匹配的脑萎缩,尤其是在弥散成像上呈现出脑梗死的高信号表现。
「难道张伯头晕头痛是因为脑梗?」神经内科团队猜测。

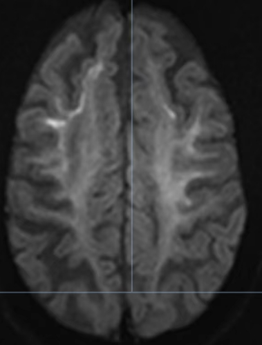
但神经内科团队秉持着不放过每一个细节的诊疗理念,继续深入研究张伯的核磁影像,接着有了更为惊人的发现:
不同于脑梗死,张伯的弥散成像高信号改变有特征性——是分布于额顶叶皮层与白质交界区线样高信号。

这引起了神经内科团队的警觉,团队成员开始怀疑这应该不是脑梗死,而极有可能是一种罕见病。
但罕见病的确诊非常不易:往往需要集合多学科力量,非常考验临床医生技术水平和诊断经验,还涉及到医院检测仪器及检测技术是否过硬。
神经内科团队立即召集全科医生共同「缉凶」。经过全科室疑难病例讨论会后,团队提出了张伯患上 神经元核内包涵体病(NIID)的猜想。
神经元核内包涵体病是一种非常罕见的遗传相关性的神经系统变性疾病,诊断难度大且临床表现复杂多样,容易发生误诊和漏诊,尤其容易被误诊为脑梗死、脑炎等疾病。
若是没有切实确诊的证据,不光医生很难对症下药,患者也很难信服甚至会拒绝配合治疗。
为最终确诊疾病,神经内科团队开始抽丝剥茧 「三步走」:
第一步,病史采集:
张伯 6 年前开始出现双手震颤,伴记忆力轻度减退和出现幻觉,3 年前曾有不明原因的一过性意识丧失。
第二步,排除其他疾病:
神经内科团队给张伯安排了常规脑电图及血氨检测排除了肝性脑病,至此张伯病况的综合表现高度支持神经元核内包涵体病的可能。
第三步,小心求证:
神经内科团队当即与张伯及其家人沟通,对整体情况进行细致分析,不遗漏每一个细节,梳理出了张伯病况的整体框架。
张伯及其家属被神经内科团队坚持不懈的精神及专业的医技打动,终于同意接受皮肤活检。
通过皮肤病理检查、免疫组化染色以及超微电镜检查,医生在皮肤的成纤维细胞及脂肪细胞内发现了核内包涵体,张伯最终确诊了神经元核内包涵体病。
根据《中国罕见病调研报告》,罕见病患者人均需耗时 5.3 年,就诊 2 到 3 次才能确诊。在这期间患者需要辗转多个科室,劳心又劳力,大大耽误了治疗罕见病的黄金期。
所以一旦身体出现任何不适,一定要及时前往正规医院就诊,选择对应科室尽早确诊病因、延缓病情发展。就比如前文所说的神经元核内包涵体病:
患上了 NIID 该咋办?
1、及时诊断:影像学对 NIID 可作出疑似诊断,通过皮肤活检等可确诊 NIID。
2、治疗方法:该病目前暂无有效的治疗方法,但是早期干预可能减慢疾病进程,改善患者的生活质量。
由于大众对罕见病认知度低,患者往往缺乏社会关注和支持,因此罕见病又被称为「孤儿病」。但其实罕见病不罕见,全球已发现的罕见病占了人类疾病总数的 10%。
其中神经系统遗传病更是居罕见病各系统之首,占 60% 以上,神经内科也是多数罕见病的主要就诊科室。
为此,萨米医疗神经内科团队在未来会继续提升诊疗水平和专业能力,致力于在改善罕见病患者就诊现状的工作中尽一份力量。
好文章,需要你的鼓励