「这六年,胸口像被巨石压住,最近连喘气都成了奢侈……」回忆起被胸闷折磨的日子,王阿姨(化名)仍心有余悸。一次错误的停药决定,加上对血脂管理的忽视,险些让她付出生命代价。而在上海德达心血管医院先进的诊疗技术与专业团队,为她带来了生命的新转机。
六年前,王阿姨开始反复胸闷,起初症状较轻,稍作休息便能缓解。三年前,她接受冠脉 CTA 检查,报告显示冠状动脉未见明显狭窄。王阿姨长舒一口气,自行停用了他汀等降脂药物,此后更对血脂管理置之不理,也不再定期复查。

殊不知,冠脉 CTA 虽能初步筛查血管病变,却存在「盲区」:它难以捕捉血管内膜下的微小斑块、早期炎症反应,也无法精准评估血管狭窄的实际程度及斑块性质。而他汀类降脂药不仅能降低胆固醇、稳定血脂,更是防止斑块破裂、避免血栓形成的「防线」。王阿姨擅自停药,无异于亲手拆除了健康的「保护伞」。近一年,她的血脂指标一直全线偏高,胸闷发作也愈发频繁,甚至连静坐都会出现症状,还曾因多次出现胸闷症状,就诊于急诊科,然而她自觉口服「速效救心丸」有效,拒绝住院进一步检查。
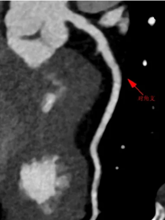
王阿姨最终还是抵挡不住反复胸闷,在家人陪同下,她来到上海德达心血管医院心内科就诊。接诊医生详细查看病历、询问病史后,凭借丰富的临床经验,初步怀疑她存在冠状动脉狭窄,建议通过冠脉造影进一步明确诊断。作为冠心病诊断的 「金标准」[1],冠脉造影技术通过向冠状动脉注入造影剂,配合 X 线透视,能够清晰呈现血管形态、狭窄部位及程度,即便是微小病变也无所遁形。果然,检查结果显示,王阿姨的前降支出现重度狭窄,狭窄程度高达 90%。这意味着心脏的 「生命通道」 几近堵塞,随时可能引发心肌梗死,危及生命安全。


为制定更精准的治疗方案,专家团队引入血管内超声(IVUS)技术进一步评估。IVUS 如同医生的「血管显微镜」,通过导管将微型超声探头送入血管,能清晰呈现血管壁结构及斑块性质。检查发现,王阿姨前降支狭窄处布满脂质斑块——这类斑块质地软、不稳定,极易破裂形成血栓,正是引发急性心血管事件的「定时炸弹」 。
结合冠脉造影与 IVUS 结果,专家团队确定:必须立即介入治疗,开通血管,同时强化降脂,消除斑块隐患!在介入手术中,医生精准操作,通过切割球囊扩张,管腔恢复满意,予以药物球囊扩张,恢复前降支血流;术后,心内科专家为她制定了严格的降脂方案,反复强调:「他汀不仅要吃,更要长期规范服用!它能降低血脂、稳定斑块,把『软趴趴』的危险脂质斑块变成『硬石头』,减少破裂风险。」


在我院,王阿姨接受的不仅是手术治疗,更通过 「一站式」 健康管理体系实现康复。科学的低脂高纤饮食方案,配合个体化运动计划,定期心理评估与随访,最终经过系统治疗与科学调养,王阿姨的血脂指标逐步恢复正常,胸闷症状消失,生活质量显著改善。「医生通过细致检查发现问题,团队用专业方案帮助我恢复,很庆幸能得到规范治疗。」 她说道。
王阿姨的案例给了我们警示:冠脉 CT 正常未必代表血管完全健康,擅自停药或忽视血脂管理可能存在潜在风险,医生对患者进行筛查、诊疗到康复的全周期规范化管理才是收获健康的关键。
资料来源:《内科学》(人民卫生出版社)
好文章,需要你的鼓励