近日,南昌大学第二附属医院呼吸与危重症医学科主任叶小群在全省首次使用 LungPro 增强现实光学全肺诊疗导航成功完成一例支气管导航下支气管镜经肺实质结节抵达术(BTPNA)。该手术的圆满完成,标志着医院呼吸与危重症医学科正式进入了肺结节精准诊疗的新阶段。

患者为 57 岁女性,既往有宫颈癌手术史 2 年,近期复查胸部 CT 提示双肺多发结节,其中一个位于右肺上叶后段,大小为 1.3X1.5 cm,该结节无气道相通,普通和超声支气管镜无法抵达,经皮肺穿刺出血风险较大。在由呼吸与危重症医学科主任叶小群和科副主任张心怡带领的介入团队评估下,决定通过 LungPro 导航的「隧道」技术进行肺结节活检。

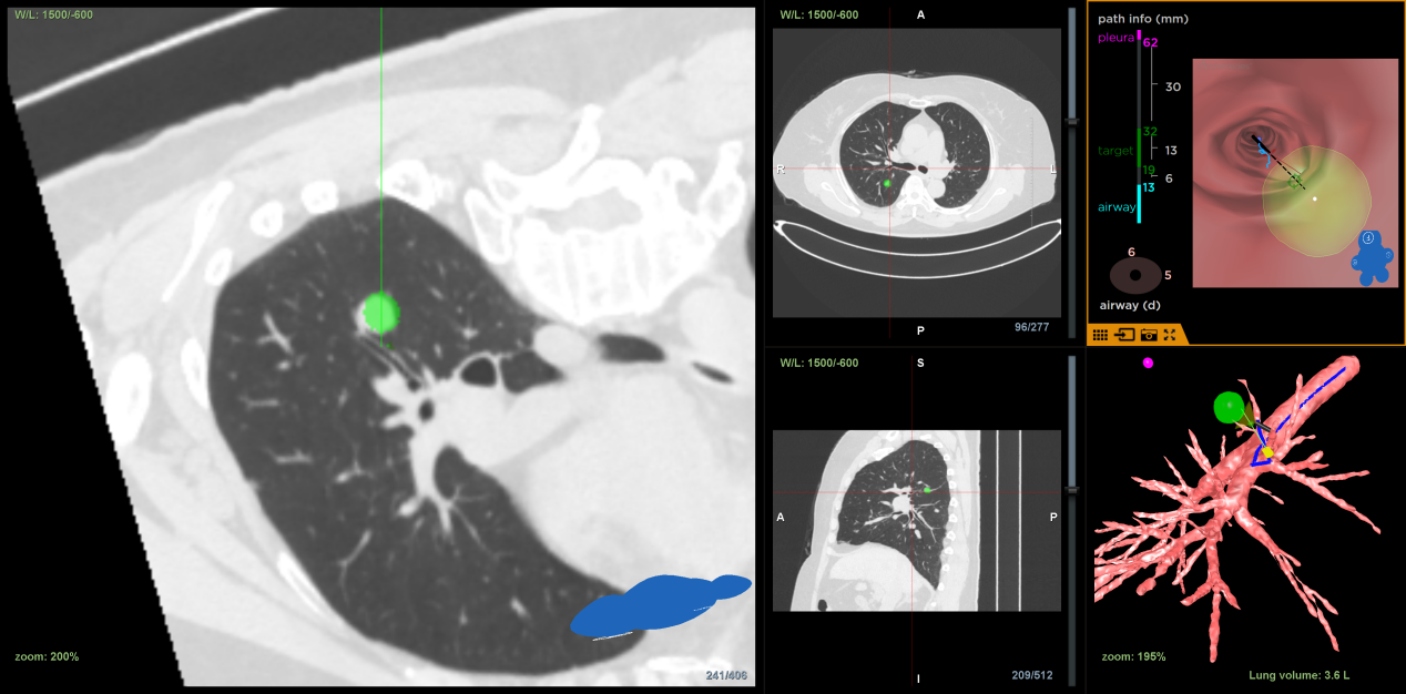
术前,介入团队对患者胸部 CT 进行 LungPro3D 重建,详细描绘出结节、周围血管、邻近支气管的相互位置关系,规划出了一条可以避开血管的相对安全、路径最短的穿刺路径。

在麻醉与围术期医学科的全力支持下,叶小群为患者实施了 LungPro 导航下 BTPNA 术。在导航引导下,支气管镜在 10 分钟内到达病灶位置,叶小群采用一次性支气管镜穿刺活检套装进行穿刺、扩张及鞘管置入,建立 1 cm 隧道后,经超声确认位置理想,立即使用活检嵌顺利取得病灶组织,患者无出血及气胸等并发症。经病理确诊,患者为宫颈转移性腺癌。

肺癌是我国最常见的恶性肿瘤,患病率逐年上升,有很大一部分患者发现肺部恶性肿瘤时已属晚期,早期发现和治疗是提高肺癌生存率的关键。肺癌早期常表现为「肺结节」,因此「肺结节」的精准诊断十分重要。LungPro 光学导航与 BTPNA 技术的结合,堪称肺部结节诊断领域的一次革新。这一创新不仅显著提升了肺部结节诊断的阳性率,也为患者的后续治疗奠定了坚实的基础。
好文章,需要你的鼓励