王大爷 10 天前突然感觉头晕,走路也变得不太稳,就像踩在棉花上一样,同时伴有恶心,双耳也像被塞住了一样闷闷的。
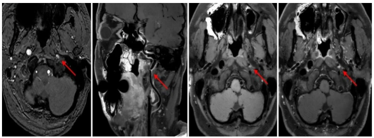
来我院就诊,经过磁共振的 MRA 及高分辨血管壁成像检查后发现,左侧颈内动脉 C1 段重度狭窄(动脉粥样硬化性)。
如果不及时临床干预,任其进一步发展,有可能就会引发脑卒中。

提到脑卒中,相信大家都知道,但大都只知其名,不知其意。那什么是脑卒中呢?
脑卒中是脑血管突然破裂或阻塞,导致脑组织损伤的急性疾病,分为缺血性脑卒中(脑血管堵塞,占 80% 以上)和出血性脑卒中(脑血管破裂)。简单来讲,咱们的脑血管就像家里的水管,用久了可能长水垢、变脆弱,甚至会突然「堵塞」或「爆管」——这就是让人猝不及防的脑卒中!
知道了解是一方面,最为关键的还是更好地预防远离乃至提前揪出脑卒中这个隐患。常规的血管检查只能看「水管通不通」,却看不清管壁是否有斑块、破损等问题,万一哪天突然出现问题,将为时已晚。
想要精准揪出这些「看不见的隐患」,3.0T 高分辨率 MRI 血管壁成像这位「高清侦探」就能派上大用场。
它不仅专治各种「看不见的隐患」,还能使我们更好预防远离这个「隐形杀手」!
这是我院医学影像科引进的 3.0T 磁共振平台上的重要新技术,它突破了传统血管检查仅观察「血管腔」的局限,将视野聚焦在血管壁本身。
凭借 3.0T 磁共振的高场强优势,能提供亚毫米级的高分辨率,清晰显示血管壁的结构、厚度以及血管壁上的病变(如斑块);还能评估血管狭窄程度,更能深入分析动脉粥样硬化斑块的成分(如脂质核心、纤维帽、出血、钙化等)和稳定性(是否为易损斑块)。
先给大家打个比方:常规的 MRA 检查就像隔着窗户看马路,只能知道「路能不能走」, 却看不清路面有没有坑、路边有没有松动的石头;而 3.0T 高分辨率 MRI 血管壁成像,则相当于直接走到马路上进行「地毯式搜查」, 亚毫米级的清晰度,连血管壁上芝麻大的斑块、细微的破损都能揪出来。
除此外,它还能给斑块「做体检」:是软乎乎的脂质核心(容易破裂的「危险品」),还是硬邦邦的钙化(相对安全的「老顽固」),一查便知!
最值得一提的是,这位「侦探」的本事可不小:假如有人突然头晕呕吐,常规检查说血管堵了,但它一上手有可能便能找到「罪魁祸首」——导致堵塞的是不稳定斑块还是其它,这可以为临床的进一步治疗提供关键依据;同时它还能鉴别血管炎、烟雾病、脑动脉夹层以及对动脉瘤风险的评估等有重要价值。
比如有人反复头疼、四肢乏力,查来查去没结果,但它却能够发现是否血管「夹层」了(相当于水管壁内外层脱胶),从而避免了漏诊误治;甚至就连没破裂的动脉瘤,也能对其稳定性与破裂的风险进行评估,从而指导个体化的干预措施。
不过「侦探」也有「原则」:体内装了心脏起搏器、铁磁性电子耳蜗的朋友,它可不敢接手;有金属假牙、人工关节等,得先跟医生打声招呼呦。
别等血管「出大事」才着急,3.0T 高分辨率 MRI 血管壁成像就像是给血管做「深度体检」,把隐患掐灭在萌芽里。
供稿/高东艳(医学影像科 )
好文章,需要你的鼓励