近日,东南大学附属中大医院皮肤科在少见疑难皮肤病诊治领域取得重要突破,其诊治的一例重度系统性红斑狼疮(SLE)患者并发罕见、致死性疾病——钙化防御病例,已正式发表于国际著名综合性医学杂志《英国医学杂志》(BMJ,IF 42.7)。该院专硕三年级学生、规培医师束颜佳为该文第一作者,董正邦副主任医师为通讯作者。这是中大医院皮肤科临床诊疗成果第三次发表在 BMJ,此前还有一项临床研究成果入选《新英格兰医学杂志》,这也是该团队慎终如始细心、真心、耐心、用心、暖心服务疑难危重皮肤病患者的重要成果。

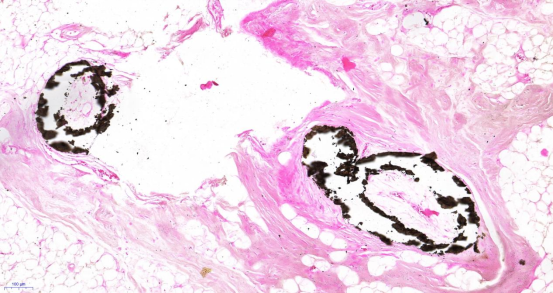
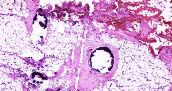
据悉,该患者为一名中年女性,因患有系统性红斑狼疮长期在该院接受治疗。然而,在最近治疗过程中,患者病情出现了新的、棘手的变化:其上背部出现大面积的疼痛性紫红色斑块,伴有剧烈疼痛。是近期病情加重后长期卧床压迫所致,还是红斑狼疮引起的皮肤改变?东南大学附属中大医院皮肤科主任董正邦团队在接诊该患者后,高度重视。为明确诊断,迅速为患者进行了皮肤组织病理学检查。皮肤病理结果显示:真皮深部及皮下组织血管管壁可见显著的钙化,符合钙化防御的典型病理特征。结合患者的红斑狼疮病史、临床表现及病理学检查结果,最终确诊为「系统性红斑狼疮并发钙化防御」。

钙化防御,又称钙性尿毒症性小动脉病,多见于终末期肾病维持性透析患者,由中、小动脉钙化及闭塞引起皮肤和皮下组织缺血坏死,疼痛剧烈,死亡率高达 40%—80%。而该患者肾功能基本正常,在无肾功能衰竭的重度红斑狼疮患者中并发钙化防御,更为罕见,临床诊断和治疗极具挑战性。
皮肤病理检查是皮肤病学诊断中至关重要的一环,作为皮肤疾病诊断的金标准,连接着宏观临床表现与微观病理改变,为疾病的诊断、分类、治疗和预后提供客观的、决定性的依据。中大医院皮肤科从上世纪 70 年代便开始常规开展皮肤病理检查,在临床疑难疾病明确诊断、指导治疗和判断预后等方面发挥着重要作用。对于任何诊断不明、疑似恶性肿瘤或治疗反应不佳的皮肤病,皮肤病理检查都是不可或缺的关键步骤。


皮肤作为人体最大的器官,位于体表,最易观察,是系统疾病的一面镜子。结缔组织病、恶性肿瘤、内分泌疾病、肾功能衰竭等系统疾病都会出现特异性皮肤表现。作为医生,应具有整体医学观念,通过皮肤这扇「窗户」,洞察患者全身的健康状况,避免漏诊和误诊,从而为患者提供更有效的治疗。
该疑难罕见病例的成功诊断,不仅体现了东南大学附属中大医院在疑难危重皮肤病诊疗方面的高水平,也为国际上此类罕见疾病的诊疗积累了宝贵的临床经验。该病例发表于《英国医学杂志》,充分说明了其在国际医学界的认可度,也彰显了中大医院皮肤科在罕见皮肤病临床与科研领域的实力。这一成果将有助于提高国内外同行对红斑狼疮等自身免疫性疾病并发钙化防御这一罕见并发症的认识和警惕,为类似病例的早期诊断和有效治疗提供了重要的参考依据。
东南大学附属中大医院皮肤科长期致力于疑难危重皮肤病的临床诊治与研究工作,此次罕见病例的成功诊治及成果发表,是该院坚持「以患者为中心」,持续提升医疗服务能力和科研创新水平的又一有力例证。中大医院皮肤科将继续发挥多学科协作优势,为更多疑难重症皮肤病患者提供更高质量的医疗服务。(通讯员刘俊丽 编辑王倩 校对刘敏 编审程守勤)
好文章,需要你的鼓励