6 月 24 日,桂林医学院附属医院心血管内科一病区在内分泌科、介入中心、麻醉科手术室、心脏大血管外科、重症医学科、超声科等多学科的通力协作下,为一位二尖瓣重度反流伴席汉氏综合征患者实施经导管二尖瓣缘对缘修复手术(二尖瓣钳夹术),术后患者重度二尖瓣关闭不全降至轻度,心力衰竭等临床症状得到明显改善。该手术的成功标志着桂医附院心脏瓣膜病微创介入治疗技术又上了一个新台阶。
患者黄女士,5 月 20 日因「急性左心衰」到桂医附院急诊科就诊,急诊科进行呼吸机辅助呼吸后转入重症医学科住院,后又转到心血管内科一病区治疗,病情稳定后于 6 月 2 日出院。
出院两天,患者「左心衰」复发,6 月 4 日再次入住心血管内科一病区治疗。经检查诊断为二尖瓣重度关闭不全,三尖瓣中度关闭不全,慢性心功能不全急性加重(NYHA IV 级)及席汉氏综合征。
心血管内科一病区邀请全院会诊,多学科专家对患者进行细致的研判和讨论后认为,传统治疗二尖瓣反流首选的手段是外科二尖瓣修复或瓣膜置换,但是该手术创伤比较大,需要使用体外循环,心功能差、合并症多的患者往往无法耐受,该患者的情况不大适合传统外科手术;进行微创二尖瓣钳夹手术也是解决患者二尖瓣重度反流的好方法。
医院副院长王振冉对此新技术开展极其重视,两次查看患者,并对治疗保障作出相应指示和协调;内分泌科主任周素娴在术前术后对患者的席汉氏综合征治疗进行了精心指导。
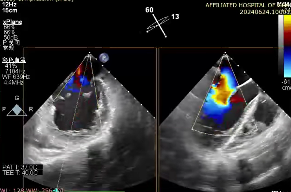
6 月 24 日,心血管内科一病区廖发荣、何武金团队在中山大学附属第一医院庄晓东教授的指导下,在患者右侧腹股沟区穿刺一个 3-5 毫米的小创口,然后将器械通过股静脉穿刺房间隔,把「二尖瓣夹系统」送入患者左心房,进而到达心脏的二尖瓣口,然后全程在食道三维超声引导下,精准夹合二尖瓣后瓣病变区域。
钳夹后,二尖瓣反流从术前 4+改善至 1+、夹合稳定、平均跨瓣压差 2 mmHg,患者术后心功能得到明显改善,无相关并发症,于 6 月 29 日顺利出院。7 月 12 日,患者到医院复查各项生理指标基本正常。







廖发荣主任医师介绍,二尖瓣反流是最常见的心脏瓣膜疾病,病史长,一旦病情进展到无法代偿时,患者会出现上楼气喘、半夜憋醒等不适,病情会急转直下,甚至会短时间内发展到重度心衰。
以往治疗二尖瓣反流常用的手段是心外科二尖瓣修复或人工瓣膜置换,但外科手术创伤大,并存在一定风险。患者往往因为心功能差、高龄、合并症多等高危因素而无法耐受外科开刀手术,使得很多高危重症患者未得到有效治疗。与传统外科手术治疗方式相比,二尖瓣钳夹术创伤小、风险相对较低,术中无需体外循环,术后恢复较快。
当前国际上微创二尖瓣介入治疗技术方兴未艾,经导管二尖瓣缘对缘修复手术(二尖瓣钳夹术)目前在国内尚属于起步阶段。此次,桂医附院首次完成经导管二尖瓣钳夹术(TEER),标志着该院在结构性心脏病诊治领域再次实现突破。
好文章,需要你的鼓励