近日,中南大学湘雅二医院泌尿外科徐冉副主任医师团队成功实施了湖南省首例机器人辅助下右肾部分切除+输尿管肾下盏吻合术,术后患者肾造瘘管引流逐步减少,无漏尿等并发症,手术取得圆满成功。患者为 25 岁青年
近日,中南大学湘雅二医院泌尿外科徐冉副主任医师团队成功实施了湖南省首例机器人辅助下右肾部分切除+输尿管肾下盏吻合术,术后患者肾造瘘管引流逐步减少,无漏尿等并发症,手术取得圆满成功。
患者为 25 岁青年男性,因 UPJO(先天性肾盂输尿管连接处狭窄)在外院行机器人辅助下肾盂输尿管狭窄切除吻合,术后漏尿感染导致再次狭窄进而闭锁,患者不得不长期带肾造瘘管工作生活,对患者心理造成了极大的负担,工作和生活带来了诸多不便。患者为求进一步诊治,经专家转介至湘雅二医院泌尿外科,由徐冉副主任医师团队接诊。

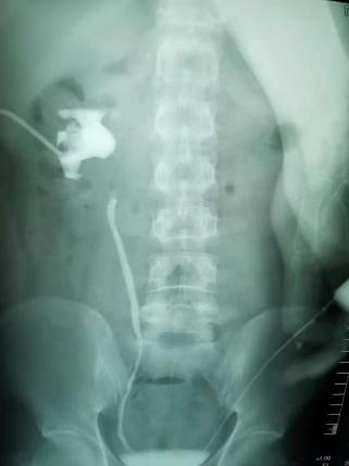
顺行+逆行静脉肾盂造影显示输尿管上段不显影
输尿管狭窄是临床常见的泌尿系统梗阻性疾病,狭窄的原因很多,分为医源性和先天性。随着新医疗技术的不断开展,临床上治疗输尿管狭窄的手术方式也在日新月异的发展进步中。
相对于传统手术来说,微创手术具有手术时间短、术中出血量少、住院天数少等优势,逐渐成为外科治疗的首选。同时受到多种因素的影响,输尿管狭窄的治疗方案也缺乏一定的标准,在一定程度上也制约了有效治疗的开展。所以对多种因素的评估,选择适合患者的方式才是治疗的关键。

术前 CT 显示肾门结构紊乱不清
徐冉副主任介绍,该患者术前检查可见患者输尿管上段很长一段不显影说明狭窄范围很广,加之患者多次手术更加加大了此次手术的难度。
即便术前已经预估了手术难度较大,但术中的情况仍让我们非常吃惊,患肾肾门组织结构十分紊乱,毫无解剖层面,粘连十分严重,狭窄缺损的输尿管长达 3-5 cm 左右,无法直接与肾盂吻合,根据术中情况,与患者家属沟通后决定将输尿管与肾下盏吻合。
因肾门粘连难以游离出肾动脉,术中只能行无阻断下肾部分切,对手术技术的要求更高,为了进一步减少出血保证手术视野,徐冉副主任创新性采取预缝合法阻断局部血运,此技术也是在省内首次使用,切除部分肾下极后暴露肾下盏吻合输尿管。
术后患者恢复良好,肾造瘘管引流量逐日减少,术后第三天已下床活动,皮肤伤口也仅为 5 个不到 2 cm 的小口子,体现了机器人手术相对传统手术极大的优势。

手术伤口仅为 5 个不到 2 cm 的小口
作为省内唯一拥有两台达芬奇手术系统单位,泌尿外科在王荫槐主任的带领下机器人手术技术水平居全国前列。此次湖南省首例机器人辅助下输尿管肾下盏吻合术的成功开展,标志着我科机器人手术水平又达到了新高度。
*声明:本内容仅代表文章来源方观点,不代表本站立场。本内容仅供医学药学专业人士阅读,不构成实际治疗建议。
好文章,需要你的鼓励