两个月前,张先生发现右侧耳垂下方有一个包块,摸着可活动,还比较硬。
到家附近医院检查,被诊断为「腮腺肿物」,但当时未重视,未进一步检查及治疗。
然而两个月间,包块非但没有「消散」,反倒逐渐增大,偶有轻微压感。

3x2 cm 腮腺深叶肿瘤或面临面瘫风险
直至听周围同事谈及腮腺也有恶性肿瘤,张先生顿时害怕极了。
担心包块长大压迫面神经出现面瘫,又担心自己也是癌,这让他精神紧张,坐立不安。
张先生来到了重庆松山医院耳鼻咽喉头颈外科就医。
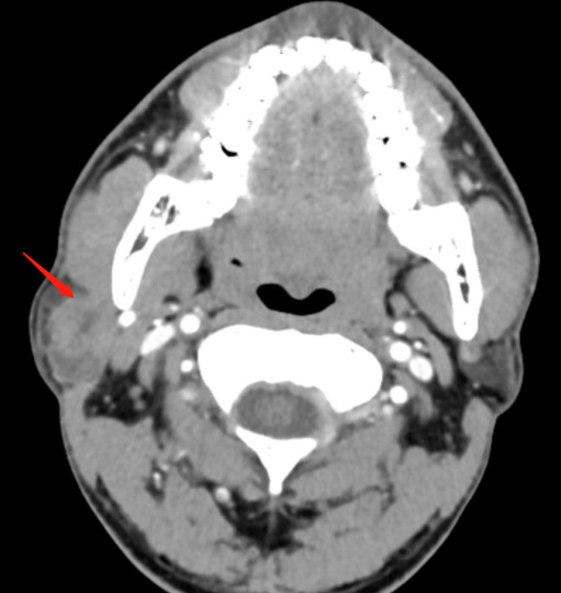
收治入院后,刘蓉蓉主任对张先生进行了详细的查体,并做了腮腺 CT 检查。CT 提示:右侧腮腺的深叶肿瘤。大小约 3x2 cm。


仔细询问病史并阅读 CT 片后,刘蓉蓉主任指出其肿瘤恶性可能性较大,且瘤体较大,面神经部分被包绕。手术难度高,但也必须尽快手术。
「抽丝剥茧」切除肿瘤 完好保留面神经功能
手术开始,在麻醉科手术室配合以及先进面神经监护仪帮助下,刘蓉蓉主任完整切除肿瘤,手术顺利。整个手术过程出血量控制在 20 ml 之内。

术后,经检查面神经功能完整保留,这对做好了面瘫准备的张先生及家人来说简直就是一大惊喜!
而术后病理检查结果回示:右腮腺导管腺癌。所幸周围数枚淋巴结未见癌转移。
要警惕!耳垂下方或后方不痛不痒包块
据刘蓉蓉主任介绍,导管腺癌占腮腺癌的 80%~90%,主要由分化不同程度的导管样结构的腺体构成,伴有丰富的纤维间质。
腮腺导管癌早期无明显症状,表现为耳垂为中心的下方或者后方的肿块,肿块多不伴疼痛,触之较硬,与周围组织有粘连。
随着疾病发展,肿块渐进性增大,可引起局部疼痛、压痛,并可能导致以下情况:
肿瘤侵犯并破坏颞骨岩锥迷走神经、舌咽神经,可导致声音嘶哑、进食呛咳。
肿瘤侵犯下颌神经,可出现下唇及下牙齿麻木。
肿瘤侵犯翼内肌,可出现不同程度的开口困难。
肿瘤侵犯面神经,可导致面部麻木、面瘫。
治疗方法以手术切除为主,并联合放疗、化疗等综合治疗。
因此,早期诊断,早期治疗是提高治愈率的关键。
好文章,需要你的鼓励