选择健康的生活方式
心血管内科医生都普遍认为:雌激素对女性的冠状动脉血管有保护作用,所以绝经前的女性发生冠心病的概率很低。
冠心病包括无症状的冠状动脉狭窄、心绞痛和急性心肌梗死。
对于绝经前的女性,的确发生冠心病的概率很低,发生急性心肌梗死的就更少。但是,临床上却真的遇到过一定数量的年轻女性发生急性心肌梗死的病例。

年轻女性也可能发生急性心肌梗死
前几日,一位亚裔的 40 岁女性突发心前区压迫感去医院就诊,做了心电图是这样描述:胸前导联 V1-V3 T 波倒置,R 波递增不良,怀疑急性前壁心肌梗死。

医生马上给患者化验了心肌酶,发现肌钙蛋白(心肌坏死的特异性标志物)异常升高。于是告诉患者明确诊断为「急性心肌梗死」,建议做冠脉造影检查。
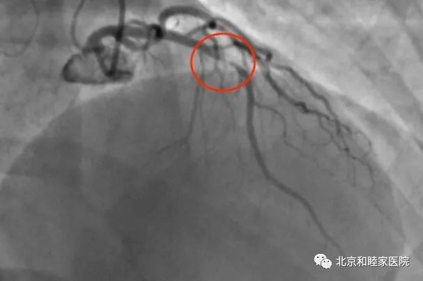
患者由救护车送到和睦家医院心脏中心,我们给患者做了冠脉造影检查,发现前降支(冠状动脉的一个最重要大分支)狭窄 99%,几乎闭塞。

这种情况必须要把狭窄解除,恢复血管远端的血液供应,但是患者又很年轻,心理上根本接受不了支架植入。
心脏中心的介入团体研究后决定:只对病变部位进行 药物球囊扩张,并不植入支架,尽量保持患者血管的原始状态。
球囊扩张后的血管情况非常好,可以媲美支架植入。患者经过治疗后,后续会进行心脏康复训练,有望完全恢复到正常的工作和生活中去。
增加急性心肌梗死的 6 大危险因素
这样的患者不是特例,那么有哪些情况会使年轻女性的冠心病,甚至急性心肌梗死的发病率增加呢?
年轻女性朋友们注意了:
1. 吸烟
包括电子烟,雪茄,二手烟。任何烟草的摄入都是增加冠心病风险的,这在医学界已经达成共识。
所以健康的生活方式之一就是:零吸烟。前文提到的患者就是因为吸烟导致的冠心病风险增加。

2. 长期口服避孕药
避孕药实际上是女性激素类药物,会导致女性的有保护作用的激素紊乱,从而增加冠心病的风险。在这里建议女性朋友们选择其他方式来避孕。
3. 家族性高胆固醇血症
这种疾病往往呈家族聚集倾向,积极的饮食控制也不能把血脂控制到正常水平,时间久了,势必会导致动脉硬化,发生冠心病。
所以,有家族性高胆固醇血症的年轻女性朋友应该服药控制血脂,降低冠心病风险。
4. 糖尿病
糖尿病对心血管系统的损害非常严重,长期的血糖升高会损伤冠状动脉的小血管,导致心肌缺血和灌注不良,甚至发生糖尿病性心肌病。
年轻女性朋友们如果发现了血糖升高,一定要积极地治疗。

5. 妊娠后血压仍然升高
通常来说,年轻女性的高血压比较少见,但是妊娠期高血压却比较常见,妊娠后血压一般都能恢复正常。
如果妊娠后血压仍然居高不下,这就要警惕是否有原发性高血压了,需要积极控制,否则一定会增加冠心病的发病风险。
6. 肥胖
现代人生活节奏快,压力大,运动少,快餐食品摄入多,所以超重和肥胖在大城市流行。
肥胖会增加心脏和血管的负担,导致动脉变硬和脂质成分在血管壁沉积,造成动脉硬化和冠心病发作。
温馨提示
如果年轻女性朋友们有以上六个危险因素之一,就必须及时纠正,或者到心血管医生那里获得更为个体化的建议,避免发生不可挽回的后果。
医生介绍

王德昭
心血管中心主任
主任医师
心血管内科学博士
副教授、硕导
◆ 首都医科大学心血管内科学博士,师从著名心血管病专家华琦教授。曾在北京天坛医院、北京友谊医院心内科工作,并在首都医科大学心脏病学系任副教授、硕士研究生导师。
◆ 王医生拥有近 20 年的临床实践经验。除了专注于临床工作,王医生还主持和参与多项国家级和省部级科研项目,包括高血压防治计划(国家十二五规划)、国家自然科学基金、北京市科技支撑项目等。
本文首发于 2021-03-24
好文章,需要你的鼓励