60 多岁的李叔叔怎么也没想到,一碗普通的鱼汤竟让自己经历了一场「生死考验」。
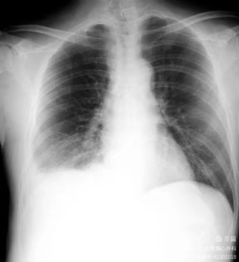
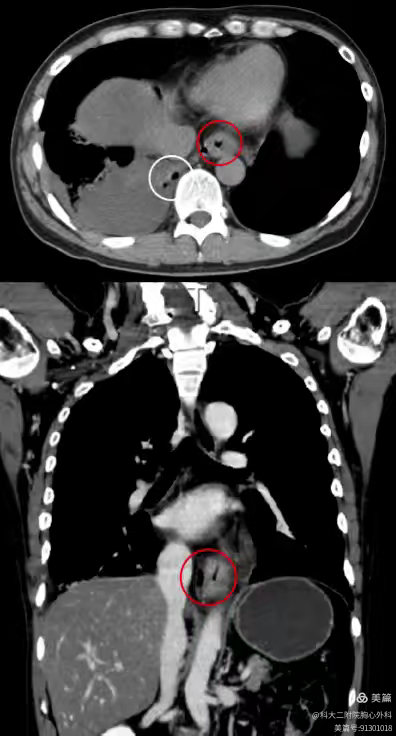
前不久的一次聚餐中,李叔叔在饮用鱼汤后突发剧烈呕吐,右背部出现强烈的疼痛感。李叔叔被紧急送往河南科技大学第二附属医院胸心外科就诊,胸部 X 光片捕捉到了胸腔积液的异常阴影,随后的 CT 检查更清晰地揭示了危机源头——食管壁异常增厚、周围气体影密布,消化道造影显示有穿孔,李叔叔最终被确诊为 食管破裂。



疼痛是食管破裂最突出的症状。
破裂位置不同,疼痛的部位也不同:颈部食管破裂时,主要表现为颈部疼痛,并向耳部放射;胸部食管破裂会导致剧烈的胸骨后或上腹部疼痛,疼痛可放射至肩部、背部;腹部食管破裂则以剧烈上腹部疼痛为主。这些疼痛通常为突发的、剧烈的锐痛或撕裂样痛,患者往往难以忍受。
食管破裂后,大量气体和消化液进入胸腔,可导致胸腔内压力升高,压迫肺组织,引起肺不张和通气功能障碍,从而出现呼吸困难。患者可能表现为呼吸急促、喘息、发绀等,严重时可出现呼吸衰竭。
食管破裂刺激胃肠道,还可引起恶心、呕吐等症状。呕吐物可能含有血液,这是由于食管破裂处出血所致。而频繁的呕吐还可能进一步加重食管破裂的损伤。
更凶险的威胁紧随其后。破裂的食管如同敞开的门户,放任消化液和细菌侵入纵隔或胸腔,极易引发纵隔炎、胸膜炎等感染性并发症,导致患者发热甚至高热。

李叔叔的遭遇并非个例。随着毕业季到来,聚餐狂欢增多,年轻人容易出现暴饮暴食、过量饮酒等行为,这在无形中增加了食管破裂的风险。
当胃在短时间内被大量食物或酒精急剧填满,内压骤升,此时若发生剧烈呕吐,胃内容物会猛烈冲击食管下段。由于食管壁较薄,且食管下段与胃连接的部位(贲门)也相对薄弱,在强大压力冲击下,可能发生食管壁撕裂甚至破裂,医学上称为「自发性食管破裂」。
此外,日常饮食中的「硬角色」同样危险。专家提醒:食用多刺鱼肉、坚硬食物,或服用有尖锐棱角的药物(如某些药片掰开后),都存在划伤甚至刺穿食管壁的隐患。
目前,经过及时救治,李叔叔已脱离危险顺利出院。临行前,护士长细致叮嘱康复要点,更不忘提醒他及家人:美酒佳肴虽好,守护好身体内这条「生命通道」的完整与安宁,才是欢聚时刻最重要的前提。

食管破裂主要临床表现
1. 剧烈疼痛:突发、剧烈的锐痛或撕裂样痛(部位取决于破裂位置);
2. 呼吸困难:呼吸急促、发绀,严重可致呼吸衰竭;
3. 恶心呕吐:呕吐物可能带血,呕吐动作可加重损伤;
4. 发热:常因继发纵隔或胸腔感染(如纵隔炎、胸膜炎)引起。
好文章,需要你的鼓励