频繁发作头痛、不明原因中风,竟然是心脏上有个「洞」。如何补住「洞」呢?
3 月 4 日,常州市第二人民医院心内科团队成功开展了全国首批、常州首台生物可降解卵圆孔未闭(PFO)封堵器植入手术,即在超声引导下采用新型生物可降解材料闭合卵圆孔的同时实现「植入无残留」。手术的成功标志着该院结构性心脏病介入治疗技术发展迈入了新的阶段。
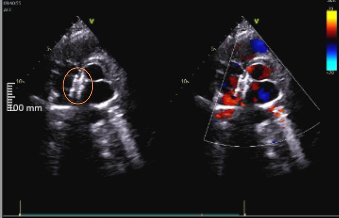
今年 46 岁的杨女士长期饱受顽固性偏头痛的困扰,发作起来难以忍受,严重影响了她的正常工作和生活。之前在医院进行头颅 CT、核磁共振等多项检查没有发现异常,就偶尔吃些止疼片对症治疗。近期,她头痛发作的频率明显增高,浑身无力,药物都无法缓解,就到医院寻求进一步治疗。经过详细的检查发现,杨女士常年偏头痛的原因是「卵圆孔未闭,右向左大量分流」。
常州二院心内科主任纪元解释道:「卵圆孔是胚胎时期心脏房间隔遗留的一个生理性通道,出生后大多数人原发隔和继发隔相互靠近、粘连、融合,逐渐形成永久性房间隔,超过 1 岁未能融合则形成卵圆孔未闭。当因各种原因(如剧烈活动、咳嗽、潜水等)导致患者右心房压力超过左心房时,卵圆孔未闭会导致心脏内血流出现明显的右向左的异常分流,从而出现脑卒中、偏头痛、减压病等相关临床综合征,如头痛、头晕、呼吸困难或肢体无力等, 如遇长期偏头痛,就有可能是心脏卵圆孔未闭导致。卵圆孔未闭还可能会造成隐源性脑梗,在临床容易忽略、漏诊,对于青中年发生急性脑梗症状应提高警惕,通过详细的检查排除卵圆孔未闭的可能。研究显示,针对合并卵圆孔未闭的隐源性脑卒中或偏头痛患者,手术治疗明显优于药物保守治疗。」

「传统的卵圆孔未闭封堵手术多在放射成像指导下进行,并且传统封堵器是镍钛合金等材料制成,会终身存在于患者心脏内,可能有心内组织磨蚀、血栓、金属过敏、房性心律失常等并发症风险。随着技术的创新与生物材料的发展,手术可以在纯超声引导下开展,更令人欣喜的是,新型生物可降解卵圆孔未闭封堵器采用生物医用高分子材料制成,植入人体后介导自体组织再生修复,填充缺损,进而实现卵圆孔自然闭合,其主体结构约一年左右降解成二氧化碳和水排出体外。」纪元说道。

结合杨女士的症状,常州二院心内科团队仔细评估,判定其符合生物可降解卵圆孔未闭介入封堵指征。在综合患者家属意愿,考虑患者获益最大化后,纪元带领医生团队反复沟通、讨论,最终决定选择采用生物可降解卵圆孔未闭封堵器,为杨女士开展封堵治疗。

最终,在心腔内超声及透视引导下,杨女士的封堵手术过程顺利,一枚紫色的可降解封堵器成功植入她的卵圆孔未闭处。

好文章,需要你的鼓励