患者女,63 岁,2021 年 9 月 9 日在本中心体检时超声检查发现左肾包块,建议进一步检查;
于 2021 年 9 月 9 日在本中心行 MRI 平扫检查;
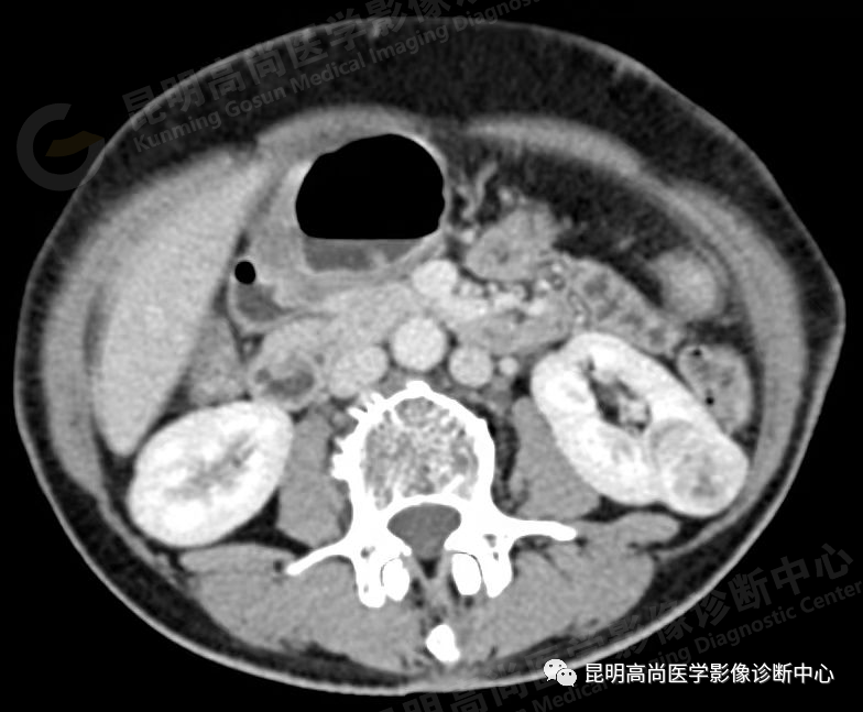
于 2021 年 9 月 17 日至本中心行 CT 平扫+增强检查;
于 2021 年 10 月 13 日行左肾部分切除手术。




超声所见:左肾切面大小正常,形态失常,轮廓不规则局部突起,在左肾中部肾实质内可见一个大小约 25 mm×24 mm 肿块图像,形状呈圆形,内部为中等回声,分布不均质,边界清楚,似有包膜,后方回声无变化,彩色多昔勒显示:内可见丰富血流信号,肾门处未见肿大的淋巴结。
超声提示:左肾实质性占位病变,性质待查,建议进一步检查。


影像诊断:左肾下份囊实混合性占位(局部可疑脂质成分),性质待定,恶性不能除外,建议进一步增强检查明确。





左肾下份占位病变,多考虑恶性肿瘤。请结合临床及相关检查。



病理诊断:左肾透明细胞癌
病理分期:TIN0M0

该病例为常规体检时发现,无任何临床症状,当即在我中心进行系统影像检查,考虑恶性可能,即刻住院手术,由于病灶较小,行左肾部分切除术,因病理分期为 TIN0M0,手术后无须进行特殊的治疗,提高了患者的生存率及生活质量。
肾肿瘤是泌尿系统的常见肿瘤,多为原发性恶性肿瘤,是非尿路上皮组织导致。肾透明细胞癌是最常见的肾癌的组织病理类型,占肾恶性肿瘤的 80%-90。患病年龄好发于成年人,以 50-70 岁及单侧肾脏多见。可发生于肾实质的任何部位,但以上、下极为多见,少数侵及全肾,左、右肾发病机会均等,双侧病变占 1%-2%。癌细胞主要由肾小管上皮细胞发生,癌细胞被圆形或者多边形,细胞内含有大量糖原、胆固醇和磷脂类物质。
分期:肾细胞癌分期多采用 Robson 分期法,即Ⅰ期癌限于肾包膜内;Ⅱ期癌已穿破包膜,侵入脂肪层,仍局限在肾筋膜内;Ⅲ期癌已侵入肾静脉或(和)下腔静脉,局部淋巴结可能有转移;Ⅳ期癌已穿破肾筋膜,侵入邻近脏器或发生远处转移。
转移途径:肾癌可通过直接浸润、淋巴途径和血运三途径转移。肺和骨骼是最常见的转移部位。
早期常无症状,除血尿、腰痛和肿块三大典型症状外,肾癌还存在不少非泌尿系统的肾外表现如发热、肝功能异常、贫血、高血压、红细胞增多症和高钙血症等。
(1)超声检查
超声检查是诊断肾脏肿瘤的重要方法之一。由于超声检查方法简便,无创伤性,因而在肾脏肿瘤的诊断中已被广泛运用,能诊断 0.5-1 cm 直径的实质性肿块,可显示肿块大小形态,边界回声,内部回声,血流情况等。超声图像还能显示肾癌的范围、癌肿有无侵入邻近器官、肝脏或脾脏有无转移、肾蒂及腹膜后淋巴结是否肿大。因此,对肾癌的临床分期有一定帮助。
(2)CT 检查
能清晰地显示直径 1 cm 以上肾实质内肿块,肿瘤边缘不规整,呈圆形或分叶状;
平扫时,肿瘤的密度随肿瘤的细胞成分不同而略有差异,透明细胞癌的密度低于正常肾实质,而颗粒细胞癌的密度略高于正常;
增强扫描后,肿瘤密度可不同程度地增强,但仍低于正常肾组织,由于增加了肿瘤与肾组织间的密度差,可以更清楚地显示肿瘤大小与分界线;
肿瘤内常有出血、液化和坏死区,使瘤体密度变为不均性;5%-10% 肿瘤内可见密度增强的钙化灶,位于瘤体中央或边缘处;
CT 对肾细胞癌能精确估计病变的大小和范围,还可了解周围有无浸润、淋巴及远处有无转移,从而对肾癌的分期提供重要的依据。
(3)MRI 检查
一次扫描可获得肾脏横断面、冠状面和矢状面的图像;
没有 CT 图像中存在的伪影;
不需要注射造影剂。MRI 可十分清晰地显示肾实质肿块。肾癌密度高低不等、信号强度不均匀和肿块边界不规则。肾细胞癌的 T1 比正常肾实质的 T1 长,而 T2 相同或稍长。MRI 显示肿瘤侵犯的范围优于 CT,可用于肾脏肿瘤的术前分期和术后随访。
(1)治疗:患者通过影像学检查的结果确定肿瘤的临床分期,利用辅助检查评估患者对治疗的耐受能力,根据临床分期并结合患者的耐受力,选择恰当的治疗方式。对手术的患者依据病理学检查的结果确定病理分期,根据病理分期选择术后治疗及随诊方案。
一般采用肾根治手术治疗。局限性或进展性肾透明细胞癌的治疗以外科手术为主;晚期或转移性肾透明细胞癌以综合治疗及对症支持治疗为主。
(2)预后:预后需要根据病理的分期来决定。如果为一期的肾脏透明细胞癌,则手术后无须进行特殊的治疗。因透明细胞癌对放疗和化疗都不敏感。所以术后无须使用放疗、化疗,只需要遵照医嘱,定期来医院复查肾功能及泌尿系统的超声和 CT 即可。
五年生存率:Ⅰ期 95%,肿块<7 cm,Ⅱ期 88%,肿块>7㎝,Ⅲ期 59%,Ⅳ期,20%。
参考文献:
[1] 现代肿瘤学 汤钊猷主编 上海医科大学出版社 1993.6
[2] 杨斌,超声造影在肾脏肿瘤中的应甪价值 超级课堂第 87 期
作者简介

杨定魁 超声心电科主任
毕业于昆明医科大学,中华医学会会员、云南医师学会会员、云南超声医学工程学会会员,从事超声诊断工作 32 年,其中在云南省肿瘤医院工作 26 年;期间参加国家「城市癌症早诊早治」项目,任肝癌及乳腺癌早筛专职超声医师 5 年。2006 年获云南省卫生科技成果三等奖 1 项。
擅长:腹部、妇科、胃肠、小器官、浅表组织肿瘤的诊断与鉴别诊断;肿瘤术后、放化疗后的超声监测及评估;常见疾病及疑难疾病的诊断;血管超声;腔内超声;超声引导。
好文章,需要你的鼓励