67 岁王先生(化名),因胸部及后背部酸痛 3 天就诊,外院 CT 提示肺占位(具体不详)。医生建议做 PET/CT 进一步检查。
王先生胸痛加剧,出现咯血,但无咳嗽、发烧。又临近周末,医院排位困难。患者家属心急如焚,恐危及生命,希望能够立即检查,遂主动联系我中心。我中心了解王先生情况后,立即安排紧急加做 PET/CT 检查。
既往史:慢性胃炎 10 余年;否认糖尿病、高血压、乙肝、结核史。
个人史:吸烟 40 余年,半包/天;饮酒 40 余年,150 mL 白酒/天。






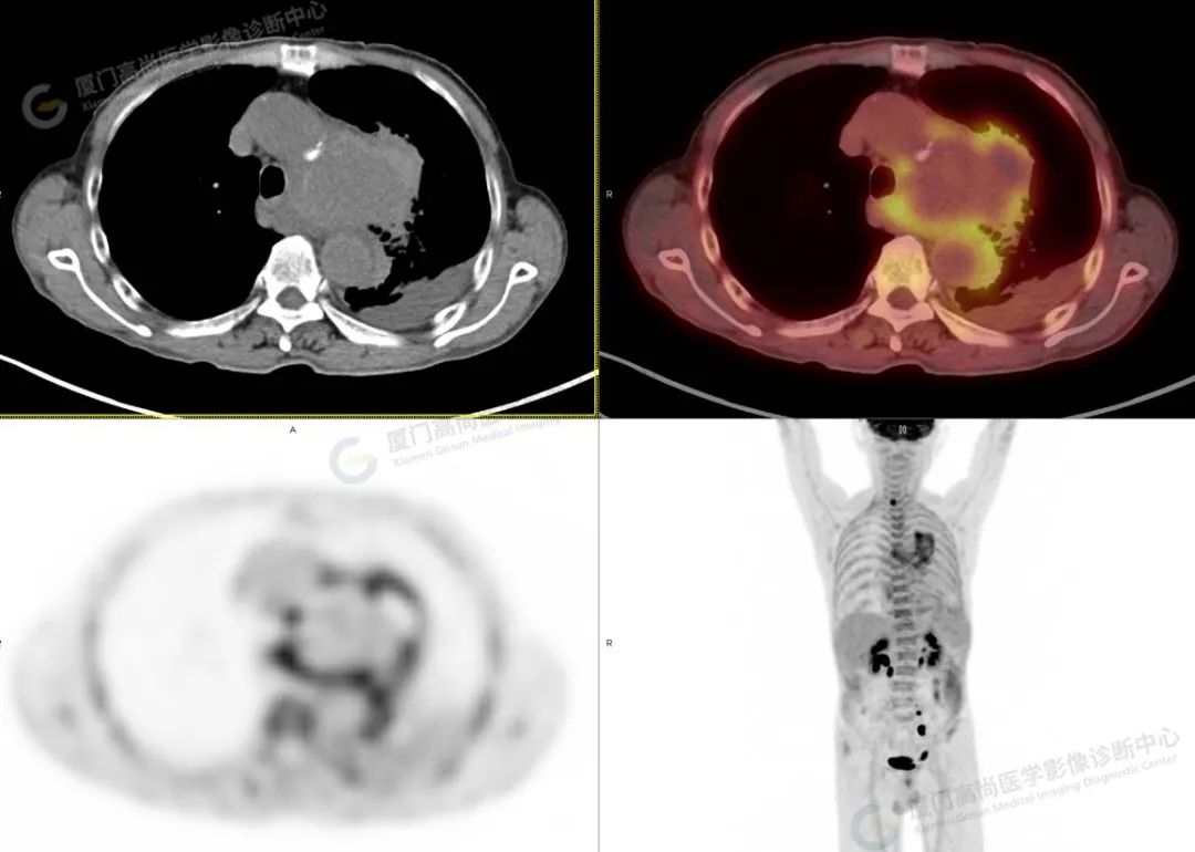
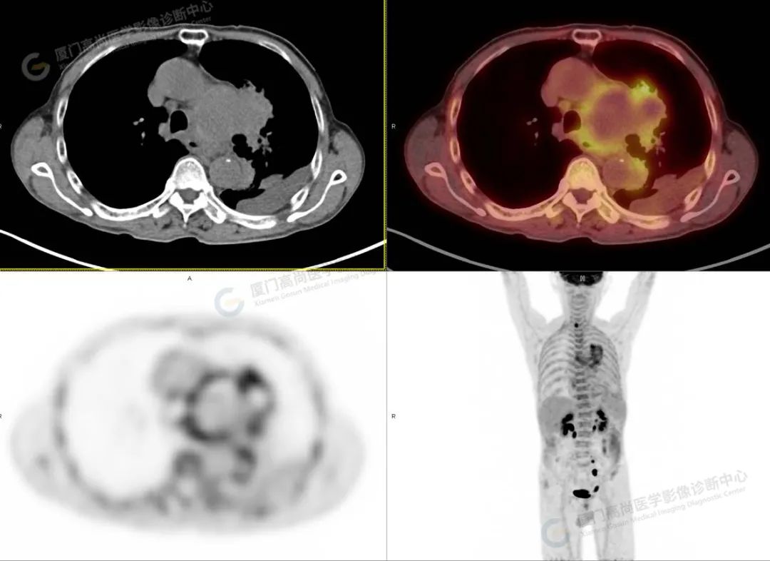
影像诊断:主动脉弓部瘤样扩张,并钙化斑内移,中心部位代谢减低,周围部分代谢增高,考虑主动脉夹层或动脉瘤破裂可能,并左侧胸腔积血、积液,动脉硬化,请结合临床及主动脉 CTA 进一步检查明确。
本中心发现王先生属于主动脉夹层或者主动脉瘤破裂可能,属心血管疾病的灾难性危急重症,如不及时诊治,48 小时内死亡率可高达 50%,故立即与其主管医师联系,并录制图像视频传达至医师,建议行主动脉 CTA 检查明确。后紧急行胸腹主动脉 CTA 示:主动脉弓假性动脉瘤形成伴边缘机化性血肿,并左侧胸腔包裹性积液、积血。
当天傍晚王先生转心脏外科予手术治疗并确诊主动脉假性动脉瘤,经及时抢救,挽回了生命。
主动脉瘤,其分为真性动脉瘤和假性动脉瘤。其定义为:由于动脉壁的病变与损伤,形成动脉局限性膨出。以搏动性肿块为主要症状,可以发生在动脉系统的任何部位,而以肢体主干动脉、腹主动脉和颈动脉较为常见。
病因:创伤,动脉硬化,感染,先天性动脉中层缺陷,医源性,动脉炎性病变。
真性动脉瘤影像表现:主动脉局部扩张,胸主动脉大于 4 cm,腹主动脉大于 3 cm,主动脉直径大于相邻 1/3;主动脉见囊袋状突起;部分可见附壁血栓。
假性动脉瘤影像表现:假性动脉瘤为动脉血管因某种因素破裂后的一种并发症,在血管周围形成一局限性和纤维包裹性血肿,且与受损的血管相通。假性动脉瘤的瘤壁为纤维组织,而不是正常的动脉壁结构,这是真假动脉瘤在病理上的重要区别。
鉴别:主动脉夹层动脉瘤。
美国心脏协会 2006 年报道本病发病率为 25-30/100 万,国内无详细统计资料,但临床上近年来病例数有明显增加趋势。根据现有的文献资料对比,国内发病率高于西方发达国家。本病系主动脉内血液经内膜撕裂口流入囊样变性的中层,形成夹层血肿,随血流压力的驱动,逐渐在主动脉中层内扩展,是主动脉中层的解离过程。
病因 :目前认为本病的基础病理变化是遗传性或代谢性异常导致主动脉中层囊样退行性变,部分患者为伴有结缔组织异常的遗传性先天性心血管病,但大多数患者基本病因不清楚。在马方式综合征患者并发本病者约 40%。先天性二叶主动脉瓣患者并发本病占 5%。某些其他先天性心血管畸形,如主动脉瓣单瓣畸形和主动脉缩窄也易并发主动脉夹层。另外,动脉内导管术及主动脉球囊反搏等诊疗操作也可能引起主动脉夹层,主动脉内造影剂注射误伤内膜等也可导致本病。高血压、动脉粥样硬化和增龄为主动脉夹层重要促发因素,约 3/4 的主动脉夹层患者有高血压,60-70 岁老年人发病率较高,男性为女性发病率的 2 倍。
分型:最常用分型或分类系统为 DeBakey 分型,根据夹层起源及受累部位分为 3 型:I 型:夹层起源于升主动脉,扩展超过主动脉弓到降主动脉,甚至腹主动脉,此型较多见。II 型:夹层起源并局限于升主动脉。III 型:病变起源于降主动脉左锁骨下动脉开口远端,并向远端扩展,可直至腹主动脉。病变涉及升主动脉的约占夹层 2/3,即 DeBakey I、II 型又称 Stanford A 型,而 DeBakey III 型的病变不涉及升主动脉的约占 1/3,又称 Stanford B 型。
CT 血管造影、螺旋 CT 检查:均有很高的决定性诊断价值,其敏感性与特异性可达 98% 左右。计算机体层摄影(CT)增强扫描时,如发现内膜片分割或以造影剂密度差来区分两个明显的动脉腔时即可诊断主动脉夹层。
作者简介

郭秀梅 核医学科 执业医师
毕业于湖南中医药大学医学影像专业,曾于广州医科大学附属第一医院参加住院医师规范化培训,熟悉常见病的影像诊断,包括 PET/CT,DR,CT,MRI。对疑难疾病有一定的诊断思路。熟悉 CT 三维后处理,包括冠脉后处理,各种血管重建,骨重建等。
好文章,需要你的鼓励