针对复发难治多发性骨髓瘤,CAR-T 的表现如何?

作者:丁香园    2020-11-19
字体大小:

近年来,新药的不断涌现使得多发性骨髓瘤(MM)患者的生存期得到显著提高,但是患者处于难治复发的阶段,其治疗仍然面临很大挑战。

复发难治的 MM(RRMM)治疗方法包括二线化疗方案、异基因造血干细胞移植以及免疫治疗(单抗和蛋白偶联受体、CAR-T 治疗以及免疫调节剂)。

针对复发难治多发性骨髓瘤,CAR-T 的表现如何?今天,我们通过 2 个病例来找寻答案。

CAR-T 治疗 RRMM 的疗效如何?

2019 年发表于 American Society of Hematology 的一篇文献总结了多发性骨髓瘤 CAR-T 治疗的临床试验,其中全世界在多发性骨髓瘤治疗领域开展最多的 CAR-T 的临床试验为 BCMA-CAR-T 治疗,这些试验 ORR 48%-100%,CR 25%-76%,PFS 在 2.1~15 个月;Kappa 轻链 CAR-T 治疗的效果不甚理想;NKG2D CAR-NK 的治疗数据还在统计中;CD19 和 BCMA 双靶点 CAR-T 治疗效果值得期待,ORR 100%;CD138-CAR-T 治疗开展较少,5 例患者有 4 例 SD,效果不佳。

自 2019 年 5 月至 2020 年 4 月于北京博仁医院接受 BCMA CAR-T 治疗 11 例 RRMM 患者中,9 例患者 1 个月 ORR 为 81.8%,3 个月 ORR 为 50%。2 例患者发生了 SAE,其中 1 例患者发生了溶瘤,急性肾功能衰竭,经过积极治疗后恢复,目前疾病评估为完全缓解;1 例患者因肺泡出血去世,其余患者 CRS 相对可控。1 例患者目前未到评估时间,该 10 例患者 1 年 PFS 为 50%,1 年 OS 为 70%。

多发髓外浸润,中枢受累,能用 CAR-T 治疗吗?

患者,男性,58 岁。2013 年 2 月出现右额顶部血肿且自觉双季肋部疼痛,2013 年 9 月份诊断 MM κ轻链型 III 期 A,外院 5 个化疗后达到 CR,2014 年 1 月髓内复发,2014 年 1 月至 2014 年 4 月行 PD 化疗 4 周期,评估为 CR,后行环磷酰胺和 VP16 进行化疗后采集自体造血干细胞,评估为 CR。2014 年 7 月行自体造血干细胞移植,过程顺利,移植后口服沙利度胺、来那度胺维持。

2017 年 6 月再次出现髓外复发。外院行 PAD 方案化疗,效果欠佳,评估 SD。2017 年 7 月至 2018 年 8 月,患者髓外病变逐渐增多,并发病理性骨折、且颅骨多发骨质破坏,并见软组织肿块影,鞍区及左颞部占位,期间复查骨髓穿刺提示形态及流式均阴性,经过局部放疗和 VAD 化疗之后,效果欠佳,调整治疗方案为 IEP 和来那度胺治疗,颅内占位较前无明显缩小。2019 年 6 月复查颅内占位进一步增大且伴视物重影,额顶部皮下软组织穿刺病理可见大量异常浆细胞,同时复查骨髓穿刺为阴性,为行进一步治疗就诊北京博仁医院。

北京博仁医院治疗经过

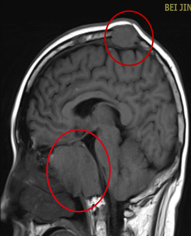
入北京博仁医院生命体征平稳,体格检查头部可见多个肿大包块,无压痛,伴视力下降、视物重影,心肺查体无异常。血常规无异常。肝肾功:总胆红素轻度升高。复查头颅核磁,颅骨可见多发骨质破坏,鞍区病灶为最大,约 47×47×43(mm),左颞部病灶压迫左颞叶脑组织向内移位。胸部 CT 可见肋骨、锁骨、肩胛骨多发的骨质破坏。


a. 颞部髓外包块压迫脑组织  b. 鞍区占位  c. 矢状位


胸部 CT 可见多发骨质破坏、骨质膨隆 

入院后做头部软组织包块穿刺,流式细胞学显示肿瘤细胞上 BCMA 强表达。二代测序提示肿瘤组织存在 BRAF 和 HRAS 基因变异,诊断多发性骨髓瘤 Kappa 轻链型 DS 分期 III 期 A,自体造血干细胞移植后复发,药物性肝损伤。入院后给予 IEP 方案化疗,考虑目前鞍区及颞部占位很可能会引起严重免疫效应细胞相关神经毒性综合症,为安全起见,建议暂行局部放疗。

2019 年 4 月患者外院放疗的时候不慎摔倒致右股骨骨折,骨科行钢板固定术,在家休养 3 个月后乘救护车返院治疗。再次入院评估头颅 CT 提示鞍区占位较前稍有缩小,肺部 CT 仍可见多发髓外浸润,骨破坏。


X 片可见多发骨质破坏,骨质膨隆 

CAR-T 治疗过程

2019 年 8 月 14 日行 FI 预处理,8 月 19 日回输鼠源 BCMA-CAR-T cells,CAR-T 后出现 2 级 CRS 反应,回输 CAR-T 的第 29 天,CT 提示病灶较前明显缩小。

2019 年 10 月,患者可以自行下地行走,双上肢疼痛较前明显减轻,可逐渐抬起负重,自觉体力较前好转。复查血清免疫固定电泳为阴性,CAR-T 治疗前后的影像学对比提示 CAR-T 前的髓外包块在 CAR-T 治疗后消失。颅内鞍区病灶在 CAR-T 后明显缩小。

目前在密切随访。患者今年 2020 年 8 月(CAR-T 治疗 1 年后)复查的 PET-CT 提示多发骨质破坏在 CAR-T 治疗 1 年后明显修复,代谢明显减低,CAR-T 的有效性和持续性都令人鼓舞。


(左)CAR-T 治疗 1 年后   (右)CAR-T 治疗 3 月后 

MM,多发骨折,法国患者寻求中国 CART 治疗

一位来自法国的女性患者,55 岁,内科医生。确诊多发性骨髓瘤 4 年余,患者 5 年前以轻度乏力起病,未予在意,进行性加重,2015 年 11 月确诊为多发性骨髓瘤 IgG-kappa 型,血清蛋白电泳示 IgG 30 g/L,发病时无贫血,无肾功能损伤,无骨质破坏,未予治疗。

法国治疗经过

2016 年 10 月 VTD 方案治疗 4 个疗程达 CR 后,进行自体造血干细胞移植,移植后口服来那度胺维持治疗。然而好景不长,在 2017 年 12 月病情进展,检查发现双侧肱骨骨折,全身多处骨破坏。2018 年 3 月又接受了 DECP 方案治疗,骨痛明显,影响生活。2018 年 12 月又进行了包括二线药物卡非佐米、泊马度胺的化疗及放疗的治疗,但是病情一直不见好转,2019 年 10 月来中国求医。

北京博仁医院治疗经过

患者入院后生命体征较平稳,体格检查提示精神状态很好,因为左胫骨上段有大范围骨破坏,影响日常活动。患者入院前血清蛋白电泳示 IgG-kappa 8.5 g/L。入院后常规检查:血常规:白细胞 2.72×10^9/L、血红蛋白 89 g/L,血小板 128×10^9/L,生化检查:肝肾功未见异常,球蛋白明显升高 19.70 g/L,β2 微球蛋白 6.42 mg/L。既往史:2015 年因甲状腺癌行甲状腺切除术。

入院后肺部 CT 可见肋骨有肿块,髓外包块向外膨隆,肋骨多发骨质破坏。

入院后行超声引导下左胫骨上段穿刺活检,肿瘤组织病理提示浆母细胞型浆细胞瘤,BCMA 抗原强表达。肿瘤组织基因二代测序显示 KRAS、IDH2、CHEK2、FAT1 基因变异。

诊断:

1. 多发性骨髓瘤 DS 分期 III 期 A 组 ISS 分期 III 期 多发病理性骨折 双侧肱骨内固定术后  胸椎及股骨内固定术后

2. 甲状腺切除术后

入院后评估病情有行 CAR-T 治疗适应症且无禁忌症,启动 CAR-T 治疗,2019 年 12 月 4 日行 CAR-T 治疗前预处理化疗方案 FC,2019 年 12 月 9 日及 12 月 16 日回输鼠源 BCMA-CAR-T cells 共 15.9*10^5/kg。CAR-T 治疗后 CRS1-2 级,过程顺利。后定期复查 CAR-T cells 的扩增较好。

患者 CAR-T 治疗前后的影像学对比,CAR-T 治疗前的髓外病灶在 CAR-T 后的 30 天明显缩小,疗效肯定。

复查左侧胫骨 CT 提示骨质破坏严重,考虑恢复需较长时间且患者有非常强烈的尽快恢复正常生活与活动的愿望,建议回当地行骨科手术。后患者回到法国行胫骨内固定术,手术病理未见肿瘤细胞,可见较多坏死。患者积极进行术后锻炼,恢复良好。因疫情原因尚未回来复查。

小结

多发性骨髓瘤 BCMA- CAR-T 治疗短期疗效好,长期疗效有待评估,且如何维持长期疗效还需要进一步的研究和探索。治疗过程中的 CRS 反应可耐受,有中枢侵犯的 RRMM 并非为 CART 治疗禁忌,但一定请有丰富 CART 治疗经验的医生进行全面充分评估,确保神经毒性综合症可控的情况下进行,回输 CAR-T 后要密切监测。

根据 2019 年 ASH 报道除 BCMA CAR-T 治疗外,世界范围内其他 CAR-T 治疗 RRMM 尚不成熟。双靶点 CAR-T,包括 BCMA/CD19,BCMA/TACI 等正在研究中,异体 BCMA CAR-T,SLAMF7 CAR-T 正在研制中,值得期待。

 

*声明:本内容仅代表文章来源方观点,不代表本站立场。本内容仅供医学药学专业人士阅读,不构成实际治疗建议。

编辑: 海往南    来源:北京博仁医院

关于高博 更多

关于高博

高博医疗集团专注于打造「医产研」一体化的医疗服务和科技创新平台,深耕血液病、肿瘤等专科领域。其业务范围覆盖医院诊疗服务、临床特殊检验、医学影像、生物制药、基因技术、医疗信息化等领域,建立 1 个医院连锁,以及包括临床检验中心、影像中心、大数据中心、生物治疗研发中心 4 个中心的战略布局,构建完整的医疗生态系统。 集团目前完成北上广三家血液病研究中心,五家医院的布局。共拥有病床 800 张,造血干细胞移植仓 88 间。

  • 高博医学(血液病)北京研究中心·北京博仁医院

    主要开展独具技术特色的血液病、儿科及综合住院诊治服务,并设有为社区服务的门诊及急诊。医院使用面积 14000 平米,开放病床 170 张。住院病房以血液病、儿科及综合病房为主,设有百级手术室及抢救病房。血液科专家团队具有丰富的临床与实验室经验,包括有 30 多年血液病诊治...

  • 高博医学(血液病)广东研究中心·南方春富(儿童)血液病研究院

    由李春富教授领衔主持,秉承「生命高于一切」的办院理念。是目前中国唯一专注儿童血液病研究和诊疗的机构,与美国著名医疗集团梅奥诊所 (Mayo clinic) 战略合作,集医疗、教学和科研于一体的医疗机构,其主要任务为利用完善的诊断体系,最先进的化学和生物医疗技术诊治血液病和免...

  • 高博医学(血液病)上海研究中心

    中心包含两家实体医院,上海闸新医院,以及上海力泉医院。总建筑面积 18000 平,开设床位 356 张,洁净造血干细胞移植层流病房 32 间,配备进口核磁共振和 CT。设立医学检验科、血库、医学影像科、药剂科、康复科等。除常规的临床检验项目外,还能够开展细胞形态学、流式细胞学...

  • 上海阿特蒙医院

    医院由高博医疗集团、银山资本与德国阿特蒙医疗集团合作成立,是上海自贸区的首家外资综合医院,也是服务业扩大开放的试点工程。医院总规划建筑面积约 60000 平方米,一期开放床位 200 张,二期建成后总床位数约达 500 张。上海阿特蒙医院自规划创办以来便综合考虑自身优势与中...

  • 高博医学诊断中心

    中心集医疗、教学、科研为一体的整合诊断平台,在北京、上海、广东均设立参考实验室,建立在集团五家具有肿瘤和血液肿瘤专科特色的医院基础之上,依托强大的临床资源,利用临床与检验相结合的模式优势,更加全面深入的理解疾病的诊断,治疗与预后,能够迅速发现临床在诊疗过程...