大家好!我是皮毛窦,又名背侧上皮窦,是由于在胚胎形成的第 3~5 周神经管闭合过程中,胚胎背部的神经外胚层与皮肤外胚层受到各种因素的影响分开不完全,则导致神经管闭合不全而形成的一种先天性疾病。

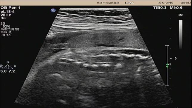
孕晚期,医生拍下我存在的证据(孕 31W+1 天;超声图)
我比较小,喜欢和小朋友玩「藏猫猫」的游戏,经常躲在他们从枕部到骶尾部间的任何地方,我最喜欢的是腰骶部。当然,秉着有福同享的理念,我时常会带上我最好的兄弟脊椎裂和脊髓栓系。
我表现为皮肤针尖样小洞,有时候我周边会见增粗的毛发,当出现感染后我周围皮肤会出现红肿,小洞口也会有脓性液体排出;有时候我的周围会出现异常毛发分布、皮赘、色素沉着、凹陷、皮下脂肪瘤、血管瘤等,这些都暴露了我的踪迹。但,我若藏在枕部,常有正常毛发分布遮掩,比较难以发现。

宝宝出生后,我在他身上的「烙印」
别看我只是个小窦道,我的能耐可不容小觑。我不发威时,风平浪静;我若发威,小朋友可因我出现寒战、高热、头痛、呕吐等程度不一的中枢神经感染为主的症状(皮毛窦的窦道将颅内或椎管内腔与皮肤相连,成为了中枢神经系统感染的一个潜在的路径,可引起脑膜炎或脊髓炎症等严重并发症);此外,因我携带的兄弟,小朋友可能会出现大小便失常、双下肢活动异常等其他症状,甚至可危及生命。


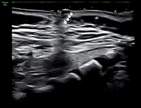
出生后,超声医生曝光了我在宝宝骶尾部的「躲藏」之路
看到这里,其实也不要过于担忧,悄悄告诉你,我也有害怕的时候。我害怕医院的影像学医生,因为他暴露了我的「秘密」通道(超声检查可以准确地显示并评估皮毛窦的形态、部位和走行方向、是否与椎管内相通、圆锥位置是否低、圆锥末端有无异常回声出现外,还可行 MRI 检查,尽可能发现合并的其他异常),更害怕外科医生,因为他一言不合就「开打」,毕竟我最大的威胁是手术。

我在宝宝骶尾部的「躲藏」之路在 MR 面前原形毕露
总之,我虽然小,容易被忽视,若孕期排畸检查怀疑我作祟时,孕妈妈们也别太焦虑,建议去产前诊断中心咨询;若出生后家长们发现我,也一定要及时去医院检查并尽早手术治疗。
超声检查温馨小提示:
①三级排畸检查:无需憋尿与空腹;放松心情,可以听听音乐,聊聊天,吃点零食;做好打持久战的准备,检查时间与胎儿体位有关,孕妈妈最好预留足够的时间,多点耐心,以充分配合医生的检查。
②新生儿检查:须在宝宝安静情况下进行,最好是熟睡状态或携带奶瓶或安抚奶嘴,以便哄宝宝入睡。
注释:
先天性皮毛窦,也称为背侧上皮窦,从皮肤表面向内延伸的长短不一的管道,内衬上皮组织,该窦道的深浅不一。虽然皮毛窦可以存在于从鼻腔到尾骨的任何地方,但它们通常位于腰骶椎。
有三个主要特征:皮肤异常、感染和神经功能缺陷。皮肤异常包括:沿神经轴的凹陷、多毛症、异常色素沉着、皮下脂肪瘤。感染可形成脓肿,可沿脊髓向上导致脑膜炎。
先天性皮毛窦属于无包块型闭合性脊柱裂,由于没有脑脊液的漏出,颅内结构可正常,所以产前皮毛窦表现隐匿不易被发现;闭合性脊柱裂种类繁多,各型变现各异,产前超声准确诊断及分类具有很大的挑战性。
如果产前超声检查能准确地显示并评估皮毛窦的形态、部位和走行方向、是否与椎管内相通、圆锥位置是否低、圆锥末端有无异常回声,能为宝宝出生后的治疗和随访观察提供坚实有利的依据。

供稿:超声医学科 曹德红、张冠玉
编辑:冯杉杉、李若昊
初审:曾立忠
终审:徐进、何武东
好文章,需要你的鼓励