对高龄老人而言,尤其是超过 80 岁的患者,髋部骨折因其高死亡率和高致残率,常被称为「人生最后一次骨折」。近日,我院骨伤科团队成功为一位 81 岁和一位 89 岁的高龄老人实施人工股骨头置换术。
81 岁的闫爷爷和 89 岁的暴奶奶均因意外跌倒导致髋部骨折,来院寻求治疗。对于 80 岁以上的老人,髋部骨折是一项严峻的健康挑战。若采取保守治疗,长期卧床极易引发肺部以及泌尿系感染、深静脉血栓、压力性损伤等一系列致命并发症;而手术治疗则需综合评估患者身体机能、麻醉耐受度及合并多种严重疾病及术后恢复慢等重重难关,手术风险极高。
面对超高龄、高风险的患者,任何「单打独斗」都难以确保安全。骨伤科张岩斌主任迅速牵头,联合麻醉科、心血管内科、呼吸科与重症医学科专家,组成 MDT(多学科协作)团队,为两位老人进行了全方位、个体化的术前评估,最终制定了周密的微创人工股骨头置换方案,决心为老人搏一个重新站起来的未来。
术中,团队采用微创入路,精准植入人工股骨头。手术创伤小、出血少,假体安放位置理想,为快速康复打下了坚实基础。




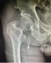
术后复查的 X 线片显示,两位老人髋关节置换位置均非常理想,为后续康复锻炼提供了必要条件。在医护团队的精心指导和鼓励下,两位老人术后第三天便成功下地站立、行走。
预防,永远是应对「人生最后一次骨折」的最好策略。我院专家提醒:
强骨骼:定期检测骨密度,防治骨质疏松,科学补充钙与维生素 D。
防跌倒:改善居家环境,清除障碍物,保持地面干燥,安装扶手。
勤锻炼:适度运动,如散步、太极,以增强肌力和平衡能力。
常评估:定期检查视力,评估身体状况及药物影响。
好文章,需要你的鼓励