前言
直肠癌是临床常见的消化道恶性肿瘤之一,发病率呈逐年上升趋势。直肠癌的治疗的重要进展是全直肠系膜切除术 (TME),它将肿瘤及其周围包含淋巴组织的直肠系膜完整切除,可降低疾病复发率。有研究指出,术前辅助放化疗联合 TME 可进一步降低 T3、T4 期直肠癌术后复发率。
因此,了解术前分期对临床确定手术方案具有指导意义。MRI 具有良好的软组织分辨率、多方位检查的优势,可清楚显示直肠系膜筋膜及解剖结构,是临床早期诊断直肠癌的有效手段。
高分辨率 MRI(HR-MRI) 采用小视野、薄层的不抑脂 T2WI 成像,不仅能清楚显示肿瘤与周围组织的关系,还可显示直肠固有筋膜的解剖结构,在诊断术前分期中具有较高的应用价值。
技术特点
HR-MRI 具有空间分辨高、软组织分辨率高的特点,进行体部相控阵线圈获得薄层、小视野检查的高分辨图像,扫描范围较大,不仅可清楚显示直肠和盆腔的解剖结构,还便于观察周围淋巴结转移及肿瘤浸润情况。
在 HR-MRI T2WI 上(如图所示),能清楚分辨直肠壁的三层结构即黏膜、黏膜下层和固有肌层以及直肠周围的系膜脂肪及筋膜,而常规 MRI 软组织分辨力低,不能分辨肠壁各层,因此术前分期准确性较 HR-MRI 明显低。

典型实例
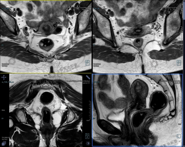
病例 1 男性,74 岁,2020 年 6 月 15 日因便血就诊,肠镜见距肛门齿状线 1 cm 处 2.5*3.0 cm 息肉样病变,病理示腺癌,现为术前明确盆腔状况,排除转移来诊。

直肠癌 T1 期,小视野 T2WI 显示肿块呈稍低信号,可见高信号的黏膜下层。
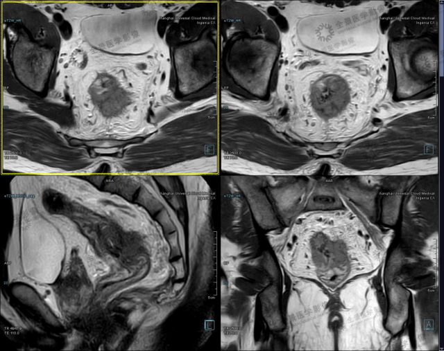
病例 2 男性,43 岁,大便带血 2 月,2020-07-11 行肠镜示:直肠癌,距肛门 11 cm 至 8 cm 见不规则隆起肿物。病理:管状绒毛状腺瘤癌变。

直肠癌 T3 期,小视野 T2WI 可见肿块突破固有肌层,周围模糊,伴壁外结节影。
病例 3 男性,70 岁,血便 4 月余,2020-4-24 肠镜:距肛门 10 cm 肿物,病理:直肠腺癌。

直肠癌 T2 期,小视野 T2WI 可见肿块位于直肠后侧壁,侵犯肌层,但肌层低信号带连续性尚存。
声明:文中案例为全景所有,盗用必究