针对疾病
神经系统、肺部、妇科(子宫、卵巢、乳腺)、泌尿系(肾脏、膀胱、前列腺)、消化系统(食管、胃、肝脏、胰腺)及部分骨骼肌肉病变等定性及分期
检查优势
1. 相对同机 PET/MR:可根据需求给以单部位 MR 扫描;
• 技术方面: 可以降低扫描的整体时间;
• 诊断方面: 可以补充 MR 对肺及骨成像缺陷。
2. 相对单纯 PET/CT:对某些头颅、前列腺、子宫、乳腺等实质器官小病变有着独特优势,可以更准确反映肿瘤患者转移情况,以提供患者治疗方法及预后评估。
3. 综合 CT、MR、PET 从组织结构、分子层面来全面了解患者情况,可适用于过敏患者。
PET/CT 与 MR:分子成像+软组织分辨率
• 相对绿色检查:低 X 线检查辐射
• 精细解剖:软组织分辨率高
• 精确定性、分期:敏感性高,准确性高
• 功能研究:PWI、MRS、DWI 等
• 碘剂过敏
• 微小病灶检出率
• 疗效评估
• 价格
图像直观(临床科研、病情讲解)
男 50 岁 小肝癌:

案例一
女性,78 岁,大便带血月余,肠镜活检病理:直肠癌,行临床分期。

T3aN0M0,MRF(-),EMVI(-)
案例二
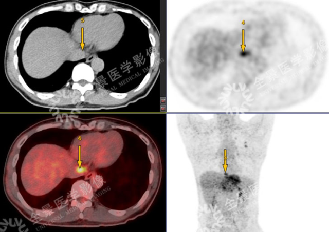
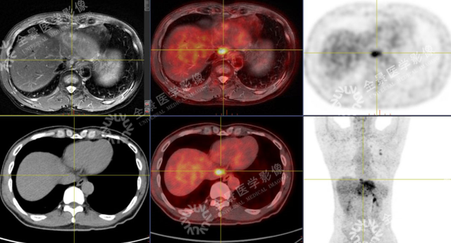
男性,57 岁,上腹疼痛 2 月余,加重 1 周。外院 CT:肝左叶占位。既往有乙肝病史多年。

SUVmax = 4.59

PET 示:腔静脉裂孔处结节 FDG 摄取增高;
CT 示:无明显异常密度影。
怀疑:腔静脉癌栓?后心膈角区淋巴结?


确诊:腔静脉癌栓