年纪轻轻就得癌症,相信很多人都觉得这是在网上或是电视剧中才会出现的情节,然而现实中这种例子也不下少数。
前段时间,一位年仅 22 岁的在校大学生偶然体检发现异常,最终却被诊断为「小肝癌」。可是,不得不说,这时查出癌症,是不幸,也是一种「幸运」。
相关案例
22 岁阿文(化名)是一名大三在校生,在最近一次体检中发现其肿瘤指标-甲胎蛋白(AFP)略微升高,随即在当地医院做了肝脏超声检查,但并未发现异常。
阿文是家中独子,父亲对此放心不下,决定带着他再去大都市上海去看看。为了查找病因及进行更深入的检查,阿文一家选择行全身的 PET/CT 检查。
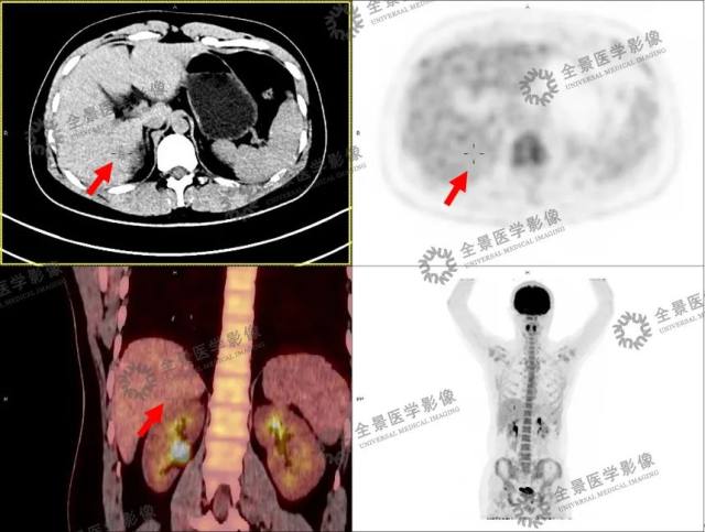
PET/CT 影像资料

肝右后叶下段稍低密度小结节,FDG 本底摄取。
PET/CT 影像结果出来后,MIP 图像未见明显异常 FDG 代谢灶,再加上患者这么年轻,很难让人将他与「癌症」联系到一起。
然而一步步仔细观察图像以后,医生们发现了可疑病灶——患者肝脏上有一个 1 cm 的稍低密度病灶,FDG 本底摄取,肿瘤性病变可疑,但由于病灶过小,很难诊断其到底是良性还是恶性。
为了进一步的明确诊断,医生建议患者的父亲再给阿文做一次普美显 MR 增强检查,爱子心切,父亲二话不说就答应了。这一次,「罪魁祸首」终于浮出水面。
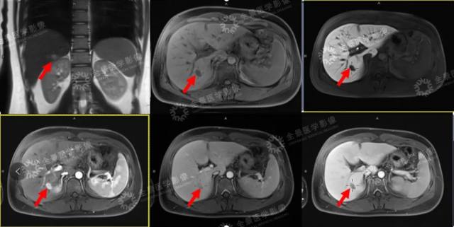
普美显 MR 增强影像资料

影像学诊断
肝右后叶下段一枚异常信号结节,T1WI 呈稍低信号,T2WI 呈稍高信号,DWI 呈稍高信号,增强扫描肝动脉期呈明显强化,门静脉期及延迟期快速减退,肝胆期呈低信号。
明确诊断为小肝癌。
听到如此残酷的消息,父亲瘫坐在地上,老泪纵横,一时间无法接受这个事实。待其父情绪缓和后,医生们上前安慰:好在肿瘤发现尚早,手术切除后恢复会很好,但重要的是马上手术。
患者家属一刻也不敢耽搁,紧急前往专科医院治疗,后经病理证实阿文患的是肝细胞肝癌。
在随后的随访工作中,我们了解到患者手术非常成功,因病情发现早,且治疗及时,临床治愈的可能性非常高。
看到这里,我们心理的石头也终于落下。可是回头想一想,为什么一个花样年华的孩子,这么小就会被癌症「盯上」呢?
年仅 22 岁的阿文,为何患上肝癌?
原来阿文从小就感染了乙肝病毒,断断续续的吃药也没完全治愈,身体不疼不痒也就没有太放在心上。
在此需要提醒大家的是,在中国,肝硬化和肝癌的病人中,乙肝感染者分别占有较大比例,所以乙肝患者定期随访非常重要,早期预防,如果是早期肝癌,经发现并得到及时规范的治疗,则治愈的希望还是蛮大的。
同时阿文和很多现代年轻人一样总喜欢熬夜,而长期熬夜会造成肝脏功能紊乱、效率降低,最终会由于肝脏负荷过重而引发各种病变。
注意!肝癌发病有年轻化趋势
肝癌可发生于任何年龄。但目前肝癌发病有年轻化趋势,现代人工作学习压力大,熬夜晚睡、小交际应酬,导致烟酒过量,情绪波动大,饮食失节,生活秩序严重紊乱,有调查显示,心理因素和生存环境是导致肝癌发病年龄提前的主要诱因,如长期精神状态不佳、酗酒、生活欠规律的人发生肝癌的几率明显高于其他人。
当然除心理和环境因素外,导致肝癌的原因还有病毒性肝炎和黄曲霉素等。
此外,需要注意的是,年轻人由于代谢旺盛,细胞活力强,一旦罹患肝癌,癌细胞的增长速度会非常快,肝癌的进展及恶化程度也比老年人更高。因此年轻人也决不能自恃年轻强健而忽视对肝癌的防范。
如何预防及早期发现肝癌?
早期肝癌基本没有特别明显的症状,患者自己很难察觉。而晚期肝癌的治疗又非常困难,所以早期筛查对于肝癌防治具有重大意义,尤其是高危人群,早期发现并进行手术治疗,病人的五年生存率可达到 50% 以上。[1]
因此,专家建议:日常生活中要养成健康的生活方式,注意饮食和作息规律,不酗酒,不吃腌制食品,并做好早期筛查工作。
我国目前的肝癌筛查方式主要是:血清甲胎蛋白(AFP)含量检测和超声检测。
1. 血清甲胎蛋白
血清甲胎蛋白是当前诊断肝癌常用而又重要的方法。如果甲胎蛋白连续三个月以上均升高, 这种情况就要考虑是否有肝脏肿瘤性疾病可能性。
2. 超声检查
B 超检查用于肝癌诊断具有无损伤、无放射性损害、简便、价廉、敏感性高、可重复性等优点,它可显示肿瘤的大小、形状、部位,超声造影也可进一步肿瘤定性诊断。
B 超检查一般作为肝脏疾病以及肝脏是否有占位性病变的首选筛查方式。
3.CT、MRI 检查
对于超声提示肝脏有低密度占位或低回声肿物, 此时需要结合上腹部增强 CT 以及核磁共振检查, 查看肝脏占位性的病变性质, 明确是否有原发性肝脏肿瘤的可能性。
注:如果甲胎蛋白升高,同时增强 CT 或磁共振提示肝癌典型影像学表现,临床可诊断原发性肝癌。
4. 普美显 MR 增强检查
此外,在检查过程中发现肝脏小病灶,但无法完全定性的患者,可以选择普美显 MR 增强检查,普美显是一种肝细胞特异性对比剂,能大大提高小肝癌检出的准确率。
提醒
年轻人要加强健康意识,不要以为年轻就是健康的「本钱」,要知道年轻并不意味着不生病。
同时,也不要轻视小病,要知道小病不加以重视,就会逐渐发展成为重病。所以,提醒大家,在忙于学习与工作的同时,一定要养成定期体检的习惯。