
前言
随着生活质量的提升和日益加重的工作压力,酗酒、肥胖、暴饮暴食、生活不规律、滥用药物等不良习惯,很多人都有在体检中都被告知有脂肪肝的经历。脂肪肝是一种常见的肝脏病理性改变,是由于各种原因导致的肝细胞内脂肪堆积过多。据统计全球成年人脂肪肝患者高达20%-30%,在肥胖人群中高达60%-90%,脂肪肝人群趋于年轻化。
脂肪肝与肝硬化、高血压、糖尿病、代谢综合征等多种疾病相关,多篇文献认为,轻、中、重度脂肪肝与高血压、高脂血症、2型糖尿病、代谢综合症、脑白质疏松、急性胰腺炎等多种疾病严重程度、并发症及其相关临床指标呈正相关,并且不同程度的脂肪肝治疗的疗程和方式也有所不同。

技术特点
肝脏脂肪定量分析采用全肝定量及波普局部定量方式,对肝脏脂肪含量进行准确定量,主要采用的西门子3.0T磁共振扫描仪,扫描序列主要有:肝脏平扫基本序列;多回波DIXON技术;HISTO序列。扫描时间仅需10分钟,全程无需对比剂注射。
六回波DIXON技术:
即水脂分离技术,通过对同、反相位图像进行相加和相减,从而得到水相图和脂相图,此序列对于肝脏脂肪变性的判定更加直观,但是容易受磁场均匀度的影像,此后的三点法水脂分离技术(iterative decomposition of water and fat with echoasymmetry and least—squares estimation,IDEAL)可以克服磁场的不均匀性,从而使脂肪定量的测定结果更加准确,此序列可以收集六个TE回波时间,最后通过图像处理得到同相位图、反相位图、水相图、脂相图、脂肪分数图、R2*图,其一次屏气即可得到全肝序列影像,采集时间短,使用配套处理软件可对选定ROI的脂肪分数进行计算。


HISTO序列:西门子推出的以IH MRS波普为基础的新型分子影像技术,主要通过组织的化学位移及其自旋耦合现象,从分子层面定量分析组织代谢及成分,在4.7ppm处为水峰,在2.1、1.3及0.9ppm处为脂质峰,1.33ppm处为CH2峰,因为水峰的特性相对稳定,故通过计算水峰及脂质峰曲线下面积相对比值从而得出肝细胞内脂质的相对含量。由于需要一次屏气完成检查,目前使用单体素进行测量。多篇文献认为其脂肪定量结果与肝穿刺结果具有很高的一致性。

适用范围
(一)体检筛查:精准量化,客观认识自身健康,提高健康意识,留取随访资料;
(二)脂肪肝分级:根据脂肪肝分级标准:轻(5%-10%)中(10%-25%)重(>25%)度脂肪肝作为脂肪肝含量参考,结合临床症状及实验室检查,确定治疗方案,适用于消化内科、内分泌科、中医科等,与脂肪肝发病率高的相关科室
(三)治疗评估:改善饮食生活习惯或药物治疗后,对脂肪肝的进展与好转进行精确的数据化评估;
(四)临床实验:为临床药物、治疗实验提供客观精准的数据分析。
典型实例
实例一
病史:患者男,56岁,患者明确2型糖尿病合并非酒精性脂肪肝患者,来我中心进行肝脏MR定量分析检查。




实例二
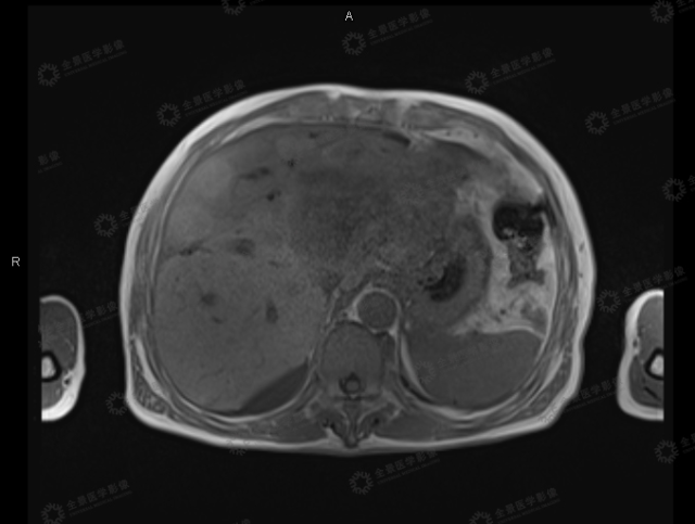
病史:患者男,60岁,肝细胞性肝癌综合治疗后复查,来我中心进行肿瘤复查及肝脏MR定量分析检查。



部分参考文献:
[1] 焦志云, 李澄, 何玲,等. 运用3.0 T磁共振IDEAL-IQ技术进行肝脏脂肪定量分析的可行性研究[J]. 中华临床医师杂志:电子版, 2015(19):30-33.
[2] 黄瑾, 费民毅, 许洁. 超声肝脂肪定量分析与糖尿病的早期干预[J]. 当代医学, 2016(17):60-61.
[3] 焦志云, 李澄, 何玲,等. 运用3.0 T磁共振IDEAL-IQ技术进行肝脏脂肪定量分析的可行性研究[J]. 中华临床医师杂志:电子版, 2015, 000(019):3516-3520.
[4]I潘希敏, 林尔坚, 黎规典,等. 磁共振1H-MRS与dual-FFE序列肝脏脂肪定量分析对照研究[C]// 中华医学会影像技术分会全国学术大会暨国际影像技术论坛. 2013.