女子为了爱美去隆鼻,结果一个月后鼻部出现肿胀

作者:丁香园    2020-07-20
字体大小:

女人爱美,自古有之,爱美是每个女性的天性。很多人为了拥有一个漂亮的鼻子,都跑到整形医院去做隆鼻手术,为的就是让整体五官看着更加立体。

然而,任何手术都有一个恢复期,恢复期间会出现肿胀、水肿、形态不精致等情况,很多人因此特别担心,40 来岁的林女士(化名)也是一样,为了放心,她特意做了更深度的检查。

全景相关案例

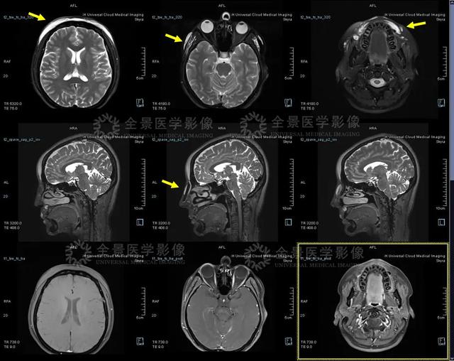
林女士此前做了双眼皮手术及隆鼻手术,一个月后鼻部出现肿胀,为了评估其术后效果,林女士做了进一步检查。

根据林女士情况,医生选择通过西门子 skyra 3.0T 磁共振的 3d 序列 T2 space,结合目前新技术——cVRT 等重建技术进行容积重建,可以再现患者的面部轮廓。

cVRT 影像重建图

注:下图右上角蓝色影像图为 3D T1 序列的伪彩图

上图黄色高亮处考虑为玻尿酸注射物

从重建图中可以直观地看到患者的额部、双侧眼睑部、双侧颧部、颞部、鼻部、唇部及下颌周围皮下分布的异常信号(考虑为植入物),同时 T1 mp2rage 序列(右上)可以量化组织的 T1 值,便于直观反映各组织的 T1 值,精确判断植入物目前的状态和降解吸收情况。

3.0T 磁共振影像图

通过结合 3.0T 磁共振常规颌面部增强扫描,可以看到植入物的边界清晰,周围组织未见明显肿胀及炎性改变。

检查结果出来后,林女士也放心了不少,期待着不久后能够遇见更美的自己。

综合以上磁共振序列,可以实现对颌面部植入物的精确定位,以及植入物深度、容量的评估,可以解决临床现有检测手段无法精准识别注射物的面部分布问题,以及及时发现术后的不良反应和并发症。

相机中的徕卡——实影渲染技术(cVRT)

cinematic VRT 实影渲染技术是一种图像后处理技术,与传统的重建技术相比它能获得更加清晰的解剖层次,不仅能为临床医生和患者提供一目了然的影像诊断信息,还能助力临床制定治疗方案。

cVRT 帮助整容医生选择更好的肋软骨

自体肋软骨作为充填、支撑材料在整形手术中应用非常普遍,如鼻整形术、耳廓再造术及阴茎再造术等。

然而自体肋软骨移植也有其固有局限性,如术前无法准确评估肋软骨的形态,以及无法准确评估肋软骨的钙化程度等。

这些问题都是手术过程中切取肋软骨存在一定的盲目性与局限性,如钙化会引起肋软骨生物力学性能的改变,严重的肋软骨钙化就不建议做自体肋软骨隆鼻手术。

cVRT 影像重建图

25 岁,男性,可见双侧肋软骨少许钙化

21 岁,女性,可见双侧肋软骨多发明显钙化

cinematic VRT 是在传统容积重建技术(VRT)基础上,利用仿生成像技术以及运用人工技能的光学模型算法,更好显示组织结构在三维图像上的细节,可以直观、精确显示肋软骨的形态及钙化情况,为术前评估肋软骨提供良好的证据。

 

声明:本号所有转载文章系出于传递更多信息之目的,且明确注明来源和作者,不希望被转载的媒体或个人可与我们联系,我们将立即进行删除处理;同时转载内容不代表本号立场

编辑: xujia    来源:上海全景医学影像诊断中心