肝脏一体化成像(一次一体化扫描成像:肝脏平扫及增强、肝动脉 CTA、 门脉 CTAP、3D 可视化)

   2020-05-18
字体大小:

开展背景:

外科医师对肝脏病变进行手术治疗,目前大部分医师凭借经验并依靠超声、CT、MRI 等检查手段,对二维图像进行三维认识,据医师经验和水平差异,给手术带来局限性和不确定性,尤其对复杂性肝脏肿瘤的诊断和术前规划,难以进行准确评估。FLASH  双源 CT 凭借其扫描速度快及优越的后处理功能,可以对肝脏进行一体化扫描成像,为术前准备、手术方案个体化规划和手术入路选择提供决策。

临床应用:

目前在胆管结石、肝脏肿瘤、胰腺肿瘤的精准化手术方案制定与虚拟手术路径方面有着无可替代的作用。其特点是一次一体化扫描成像可获得多重肝脏病变及周围组织、动脉、静脉等信息,通过三维重建技术(VRT、MPR、CPR、MIP、MINP)可获得肝动脉、肝静脉及肝门脉重建图像,所获得的数据可创建 3D 可视化图像,并可虚拟仿真手术,将肝脏、胆道、血管、肿瘤等目标直观、准确、快捷的分离,为精准手术提供前期评估,减少术后并发症,为患者尽快康复提供更为有力的保障。

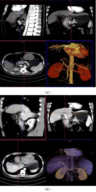
实例说明(一体化成像图数据均来源于中心):

图 1 成像方式是目前大多数医院常规采取的扫描方式,满足对疾病的诊断,我中心当前采用的也是此类扫描方式,主要适用于常规检查、诊断,临床需求不单纯是提供诊断、还需要了解病灶与比邻组织器官关系,尤其是与大血管间的关系,制定最优化的手术方案,更快捷、安全、有效的进行手术治疗,但普通扫描在血管区分上欠佳。

图 2-9 为肝脏 CT 一体化成像图,能更好的区分肝动脉、门脉、胆总管等结构,加上延迟扫描对正常组织器官及病变的显示影响有限,结合 3D 可视化图像,为临床医师手术提供精准化的参考、制定精准化的手术路径,为患者减少术后并发症。

图 1: 中心常规肝脏 CT 增强动脉、门脉显像(VRT/MPR)

图 2:一体化成像扫描肝动脉、门脉显像(VRT/MPR)

图 3:肝动脉显影(VRT/MIP)

图 6:肝动脉 VRT 图

图 7:肝脏 3D 可视化

图 8:肝脏 3D 可视化

图 9:肝脏 3D 可视化

*声明:本内容仅代表文章来源方观点,不代表本站立场。本内容仅供医学药学专业人士阅读,不构成实际治疗建议。

编辑: xujia    来源:全景医学影像