[偶发瘤的定义]
偶发瘤 Incidentaloma
是指无任何临床症状,而经体检或者影像学检查偶然发现的肿瘤。(via 维基百科)

图片来源:WIKIPEDIA 维基百科
PET/MR 技术参数及优势

图为上海全景医学影像诊断中心 PET/MR(研究型)
—— 技术参数 ——
• 采用了 64 环 PET 晶体设计。高清 PET 技术,可以得到更清晰、边缘更锐利高清 PET 图像。
• 一体化 PET/MR,PET 与 MR 的协同采集,可以精确匹配两者图像。
—— 优势 ——
• 既具备了极高的敏感度,又有优良的软组织对比和空间分辨率,极大提高早期、微小病变诊断和监测能力。
• 无电离辐射
PET/MR 可降低儿童肿瘤检查时辐射剂量 73%

新闻图片来源:Schäfer, et al. Radiology. 2014 Oct;273(1):220-31
PET/MR 能发现哪些偶发瘤?
头颅/神经系统:室管膜瘤,海绵状血管瘤,脑膜瘤,垂体瘤,脊膜瘤,神经源性肿瘤
五官及颌面部:鼻咽癌,腮腺多形性腺瘤和腺淋巴瘤
颈部:甲状腺癌/瘤
胸部:肺癌,胸腺瘤
乳腺:乳腺癌,纤维腺瘤
肝脏:肝细胞癌,肝脏局灶性结节增生,海绵状血管瘤,肝脏血管平滑肌脂肪瘤
胰腺:胰腺神经内分泌肿瘤,实性假乳头状瘤,IPMN
脾脏:血管瘤,淋巴管瘤
肾上腺:肾上腺腺瘤
泌尿系统:肾癌,肾血管平滑肌脂肪瘤,膀胱癌
结、直肠:结 (直) 肠癌
生殖系统:前列腺癌,宫颈癌,子宫肌瘤
骨骼系统:血管瘤,骨样骨瘤,内生软骨瘤
PET/MR
颈部
甲状腺癌
◆ 案例:中老年男性,PET/MR 发现甲状腺右叶一直径约 1.5 cm 结节,FDG 代谢明显增高,术后诊断为甲状腺乳头状癌。

点评:
甲状腺癌首选手术治疗,目前对于如何处理常规筛查出的「甲状腺乳头状微小癌」仍有争议,2016 年上半年,JAMA Ocology 将滤泡型甲状腺乳头状癌从癌症家族「开除」。
甲状腺腺瘤
◆ 案例:老年女性,PET/MR 发现甲状腺右叶一类圆形小结节,边界清楚,FDG 轻度摄取增高,诊断为甲状腺腺瘤。

点评:
甲状腺腺瘤是甲状腺最常见的良性肿瘤。经活检或针吸细胞学确诊为良性腺瘤时,可 B 超密切随访复查,随访间隔首次 6 个月,如无明显变化间隔 1 年; 如增大出现压迫症状或产生甲亢可手术切除。
PET/MR
胸部
早期肺癌
◆ 案例:中老年女性,PET/MR 发现左肺上叶直径约 1.0 cm 小结节,FDG 摄取增高,低剂量 CT 更好地显示了结节特征,此例术后病理肺腺癌。

点评:
早期肺癌通常无任何症状,肿瘤标志物检查对发现帮助不大。一般低剂量 CT 可以发现并很好地显示结节特征,PET/MR 虽然不是首选方法,但大于 1 cm 的实性结节还是可以发现,定性相对较难。而磨玻璃密度结节目前只能依靠低剂量 CT 发现。
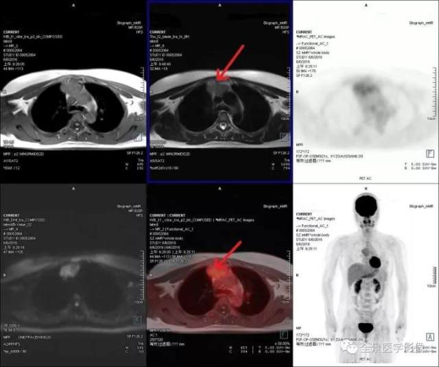
胸腺瘤
◆ 案例:中年女性,容易疲劳,一月前曾有上呼吸道感染史。PET/MR 发现胸腺区肿块最大横截面积约 4.8 cm*2.7 cm,FDG 代谢增高,术后病理:胸腺瘤。

点评:
胸腺瘤是纵隔常见的良性肿瘤,病灶较小 (<1 cm) 或者无明显 FDG 代谢增高的可以定期复查,如代谢增高建议咨询胸外科如何处理。
PET/MR
乳腺
乳腺癌
◆ 案例:中老年女性,无乳腺疾病史。PET/MR 发现左乳外上象限见一类圆形结节,长径约 1.2 cm,FDG 摄取增高,考虑为乳腺癌可能大,术后病理证实。

点评:
PET/MR 中的 PET 和 MR 的 DWI 序列敏感性均高,联合运用可以早期发现病灶并定性。此例无淋巴结转移,早期乳腺癌还可以选择保乳,预后佳。
PET/MR
肝脏
肝细胞癌
◆ 案例:老年男性,肝区隐痛数年,乙肝病史 5 年,甲胎蛋白 3.25ng/ml 。PET/MR 发现肝左右叶交界处长径约 8.2 cm,FDG 轻度摄取增高,诊断为肝细胞癌,术后病理证实。

点评:
乙肝患者罹患肝细胞癌的可能性较正常人高,甲胎蛋白明显增高提示肝细胞癌,但近一半患者甲胎蛋白并不高,需要依靠影像学检查。乙肝患者定期随访很重要,早期发现的小肝癌可以选择介入或者射频消融等微创方法。
局灶性结节增生
◆ 案例:青少年女性,腰部疼痛 6-7 年。PET/MR 检查肝左内叶偶然发现一长径约 2.2 cm 结节,FDG 本底摄取,诊断为肝脏局灶性结节增生。

点评:
局灶性结节增生一种肝脏良性病变,较为少见,多好发于年轻女性,大多数病人无明显自觉症状,常在影像检查中发现,病灶较小不需要手术,定期随访复查即可。
海绵状血管瘤
◆ 案例:中年男性,PET/MR 发现肝右叶异常信号灶,长径约 3.6 cm,无 FDG 代谢增高,考虑为海绵状血管瘤。

点评:
肝脏最常见的良性肿瘤,通常无症状,一般不需要处理,定期复查即可。如血管瘤巨大压迫邻近组织,则需要处理,目前以微创手术为主。