[偶发瘤的定义]
偶发瘤 Incidentaloma 是指无任何临床症状,而经体检或者影像学检查偶然发现的肿瘤。(via 维基百科)

图片来源:WIKIPEDIA 维基百科
PET/MR 技术参数及优势 
图为上海全景医学影像诊断中心 PET/MR(研究型)
—— 技术参数 ——
• 采用了 64 环 PET 晶体设计。高清 PET 技术,可以得到更清晰、边缘更锐利高清 PET 图像。
• 一体化 PET/MR,PET 与 MR 的协同采集,可以精确匹配两者图像。
—— 优势 ——
• 既具备了极高的敏感度,又有优良的软组织对比和空间分辨率,极大提高早期、微小病变诊断和监测能力。
• 无电离辐射
PET/MR 可降低儿童肿瘤检查时辐射剂量 73%

新闻图片来源:Schäfer, et al. Radiology. 2014 Oct;273(1):220-31
PET/MR 能发现哪些偶发瘤?
头颅/神经系统:室管膜瘤,海绵状血管瘤,脑膜瘤,垂体瘤,脊膜瘤,神经源性肿瘤
五官及颌面部:鼻咽癌,腮腺多形性腺瘤和腺淋巴瘤
颈部:甲状腺癌/瘤
胸部:肺癌,胸腺瘤
乳腺:乳腺癌,纤维腺瘤
肝脏:肝细胞癌,肝脏局灶性结节增生,海绵状血管瘤,肝脏血管平滑肌脂肪瘤
胰腺:胰腺神经内分泌肿瘤,实性假乳头状瘤,IPMN
脾脏:血管瘤,淋巴管瘤
肾上腺:肾上腺腺瘤
泌尿系统:肾癌,肾血管平滑肌脂肪瘤,膀胱癌
结、直肠:结 (直) 肠癌
生殖系统:前列腺癌,宫颈癌,子宫肌瘤
骨骼系统:血管瘤,骨样骨瘤,内生软骨瘤
PET/MRI
胰腺
神经内分泌肿瘤
◆ 案例:中年男性,无症状体检,检查发现胰头部小结节,病灶直径小于 1 cm,FDG 无代谢,手术病理早期神经内分泌肿瘤。

点评:
胰腺神经内分泌肿瘤较为少见,如为无功能性的通常没有症状,只能通过影像学检查发现。如果发现较晚,就会扩大手术范围,甚至引起远处转移,因此早期发现,早期处理尤为重要。
实性假乳头状瘤
◆ 案例:青年女性,胰尾部一边界清楚、类圆形异常信号灶,长径约 1.3 cm,FDG 摄取不明显,诊断为「实性假乳头状瘤」。
点评:
胰腺实性假乳头状瘤 (SPTP) 是一种罕见的良性或低度恶性的胰腺肿瘤。手术切除是该病首选治疗方法 ,肿瘤完整切除后预后良好。因为 SPTP 中有部分为低度恶性,故本病的治疗及预防的关键也是早期发现,予手术切除。
导管内乳头状黏液肿瘤
◆ 案例:老年女性,主胰管全程轻度扩张,胰体背侧紧贴胰管囊性信号灶,FDG 未见明显摄取,诊断为「导管内乳头状黏液性肿瘤」。

点评:
导管内乳头状黏液肿瘤 (IPMN) 是一种较少见的胰腺囊性肿瘤。好发于老年人,最多见于 60-70 岁 。对于单发于胰腺钩突的分支型 IPMN,且直径<2.5 cm,临床可密切观察,而对于其他类型因具有潜在恶性的特征,应积极手术切除。
PET/MRI
脾脏
血管瘤
◆ 案例:青年男性,无不适主诉。脾脏可见一类圆形异常信号灶,长径约 1.0 cm,FDG 无代谢,考虑为脾脏血管瘤。

点评:
脾脏血管瘤属于脾脏良性肿瘤,发生基础与肝脏血管瘤相似,生长缓慢,通常都是偶然发现,此例血管瘤仅 1.0 cm,不需要外科处理,B 超定期复查即可。
淋巴管瘤
◆ 案例:中年男性,肝转移瘤患者。脾脏可见 1 枚异常信号灶,大小约 2.8 cm×3.6 cm,FDG 无代谢,考虑为良性病变,脾脏淋巴管瘤。

点评:
脾脏淋巴管瘤也属于脾脏良性肿瘤,系由囊性扩张的淋巴管构成,生长缓慢,病灶小,无临床症状者,不需要外科处理,B 超定期复查。此例病灶 FDG 无代谢,PET/MR 帮助排除脾脏转移。
PET/MRI
肾上腺
肾上腺腺瘤
◆ 案例:中年男性,无任何症状。左侧肾上腺结合部见一长径约 1.8 cm 结节,FDG 稍摄取,考虑为肾上腺腺瘤。

点评:
根据是否有功能,可分为无功能性和功能性腺瘤。一般来说,偶然发现的肾上腺腺瘤都是无功能性的。对于无功能性腺瘤,注意定期复查。功能性腺瘤需要专科医生进行评估,最好是具备诊断肾上腺肿瘤丰富经验的放射科医师、内分泌医生和外科医生组成的评估小组。
髓样脂肪瘤
◆ 案例:中年女性,左侧肾上腺见一大小约 1.9 cm×2.1 cm 的类圆形异常信号灶,信号不均匀,内含脂肪信号,考虑为髓样脂肪瘤。

点评:
本病很少出现临床症状,多在体检时偶然发现。如肿瘤较大压迫邻近组织器官或瘤内出血坏死,可引起不适症状。但对于直径较小且无临床症状者应随访观察。
PET/MRI
泌尿系统
肾癌
◆ 案例:老年女性,右下肢胀半年余,右侧卵巢良性肿瘤术后。右肾上部见一长径约 4.5 cm 肿块,FDG 呈本底摄取。手术病理提示肾癌。

点评:
肾癌约占成人恶性肿瘤的 2%~3%,近年来,约 50% 的肾癌是经健康查体时发现的无症状肾癌。有症状的肾癌患者中最常见的症状是腰痛和血尿。对早期肾癌患者可采用微创的保肾手术,对中晚期肾癌患者则采用根治性肾切除术,因此早期发现非常重要。
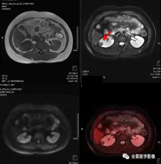
血管平滑肌脂肪瘤
◆ 案例:中年女性,甲状腺肿瘤术后复查。右肾中部见直径约 2.5 cm 异常信号灶,内含脂肪信号,FDG 无代谢,诊断为血管平滑肌脂肪瘤。
点评:
血管平滑肌脂肪瘤 (以往称错构瘤) 是肾良性肿瘤中最常见者,约占肾肿瘤的 3%。肿瘤较小者,可以 B 超定期随访复查; 巨大的肿瘤会压迫邻近脏器,且容易发生出血,引起腹痛等急症,应避免剧烈运动及外伤。
膀胱癌
◆ 案例:老年男性,排尿中断半年余,无血尿。膀胱左后壁局限性增厚,病灶以宽基底与膀胱壁相连,长径约 1.8 cm。膀胱镜证实为膀胱癌。

点评:
膀胱癌是泌尿系统最常见的恶性肿瘤,较为明确的两大致病危险因素是吸烟和职业接触芳香胺类物质。绝大多数的膀胱癌患者最初的临床表现是血尿。本例患者无血尿症状,经 PET/MR 检查偶然发现了膀胱内占位病变。