上海全景医学影像诊断中心

上海全景医学影像诊断中心

人气986016
获赞171

上海全景医学影像科技股份有限公司(简称“全景医学”),成立于2011年9月27日、注册资本20408.6447万元,集团现有员工愈1000人,其中医疗专业人才600余人(全职的博导/硕导、教授/副教授、主任/副主任医师60余人)。 全景医学作为国家医疗服务供给侧改革重点项目的试点单位,是国内独立第三方影像诊断中心的破冰者和高品质社会办医的领军品牌,已率先在全国多地形成了专业化、标准化、连锁化经营管理,均为当地健康产业的发展起到了良好的示范带动作用。

  • 关注
  • 机构介绍
最新关注
医疗关注
医院活动
学科建设
健康患教
先进人物
医院文化
爱心公益
国考成绩

从担忧到安心:一位「头晕」患者的深度检查之旅

2025-12-19

碘过敏无法做冠脉 CTA,心脏核磁解除心梗担忧

2025-12-19

血脂血糖双高下的隐蔽风险:一次深度健检拉响「颅内炸弹」警报

2025-12-19

体检必看:比查肿瘤更易忽视的脑血管风险!

2025-12-19

以耐心为钥,开启精准影像之门——颞颌关节 MRI 检查的温情之旅

2025-12-19

控糖不力,并发症悄然而至——影像学评估心、脑、肾、足风险

2025-12-19

外籍攀岩达人肩痛,核磁解锁损伤全貌

2025-12-19

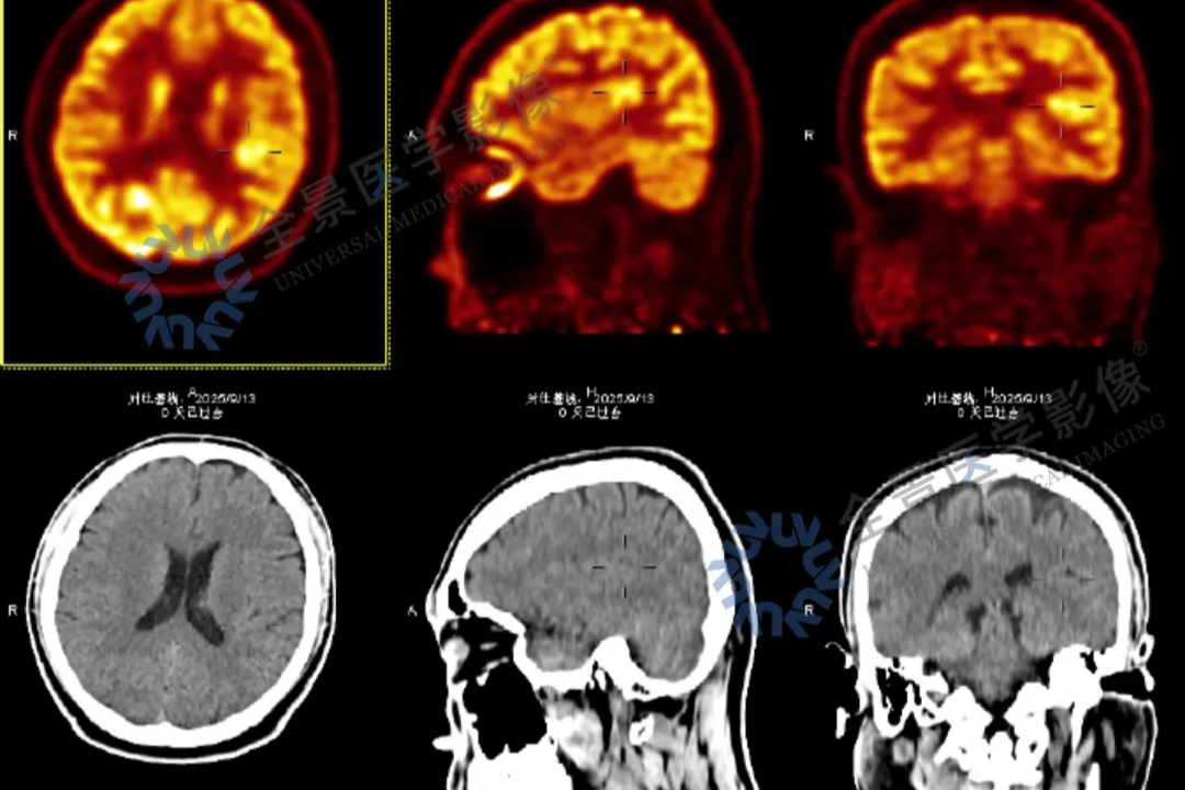
淋巴瘤治疗显成效!PET/CT 见证病灶「大撤退」

2025-12-19

高血压患者的综合健康管理之路

2025-12-19

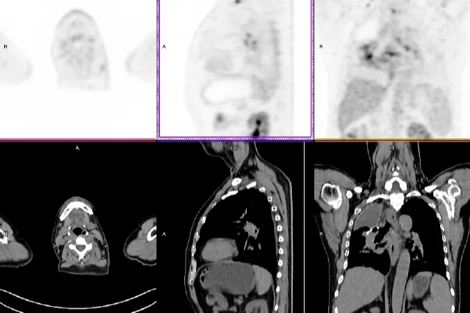
「牵一发而动全身」—以为是肺的事,PET/CT 揭秘—全身淋巴瘤

2025-12-19

品牌指数

2025.12.15 至 2025.12.21
31.27 医院品牌指数
25772467 综合排名
查看趋势详情
最佳品牌传播医疗机构