IgG4 相关性疾病 (IgG4-relateddisease, IgG4-RD) 是 IgG4-RD 作为一种系统性自身免疫性炎性病变逐渐获得临床医生的重视。该病的病因、发病机制不明,临床表现多样,使临床上对于疾病的诊断存在困难,容易造成漏诊或误诊。而误诊所造成的不必要的外科干预将对患者造成不可挽回的伤害,因此必须提高对于这种疾病的认识水平及诊断能力。
患者:男性, 71 岁
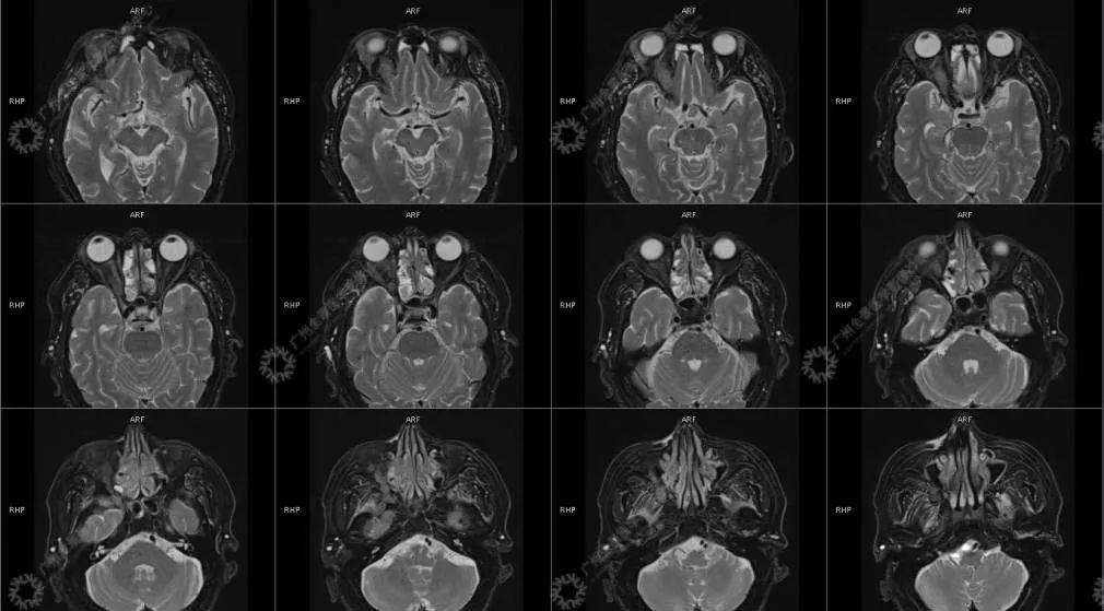
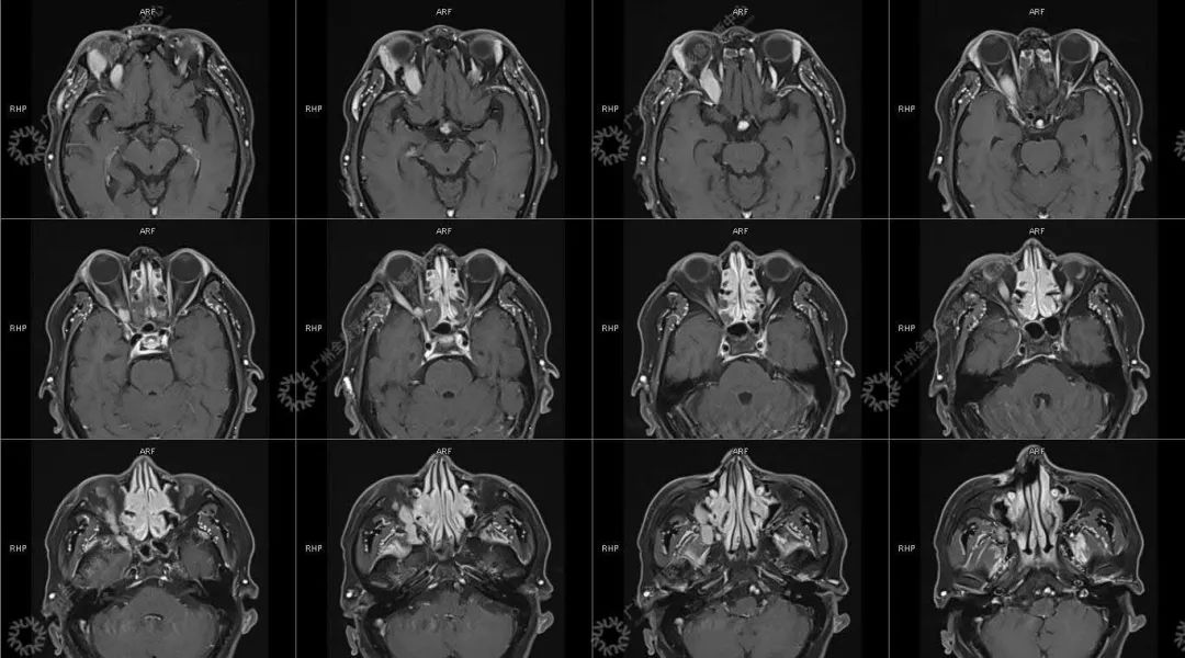
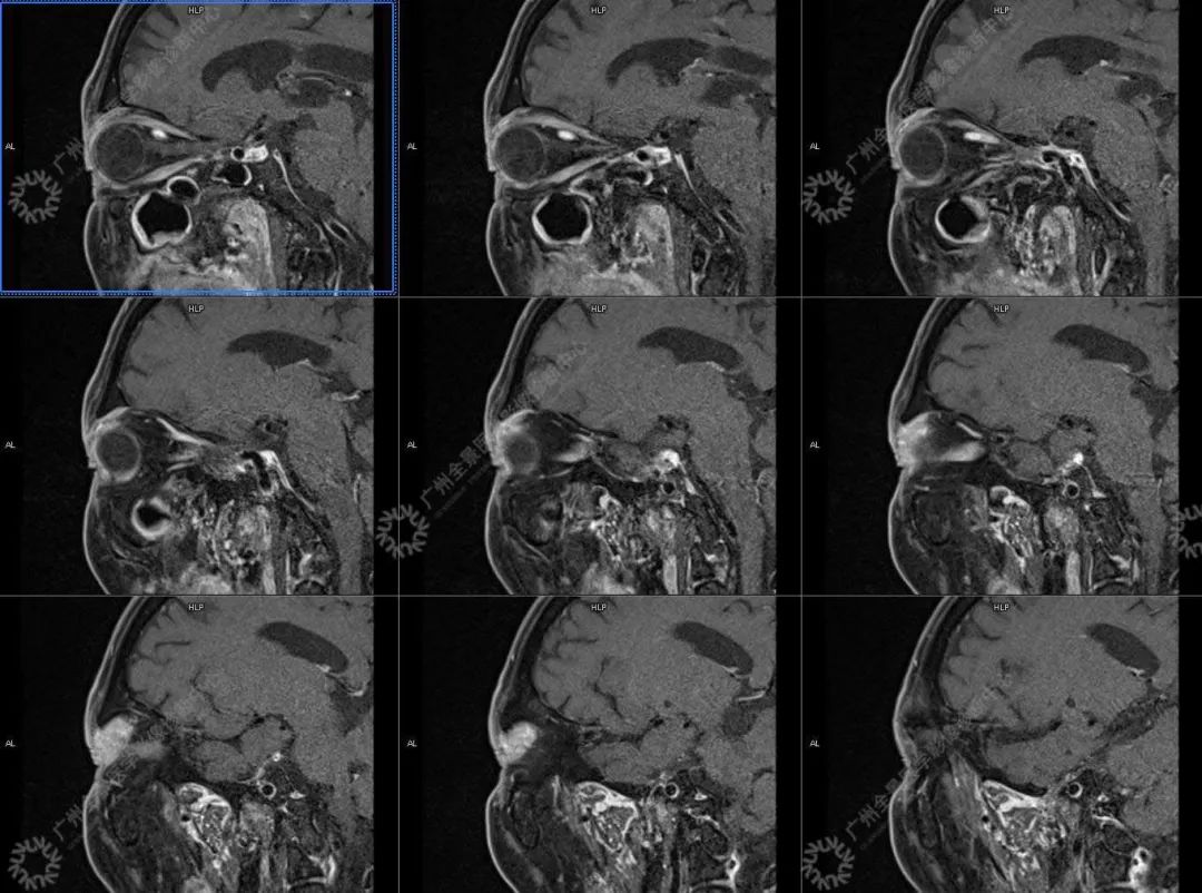
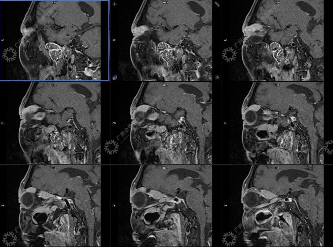
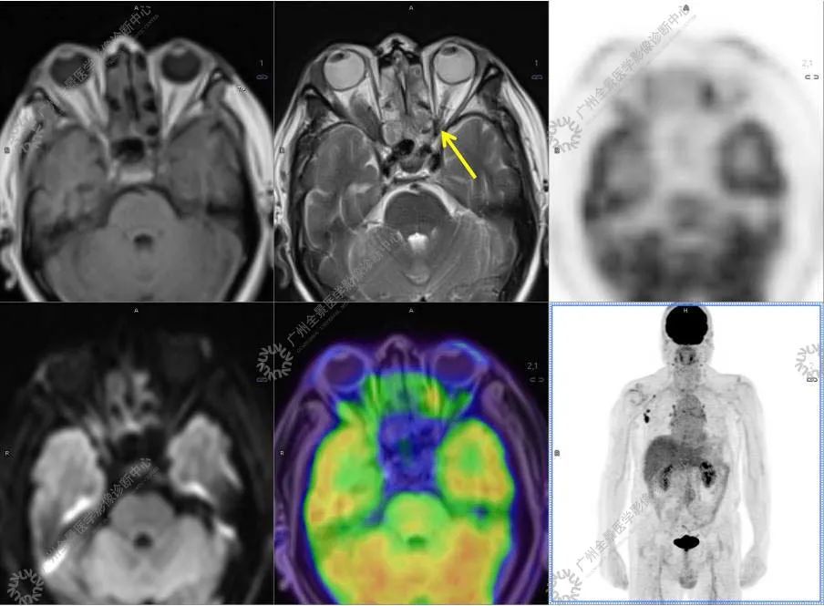
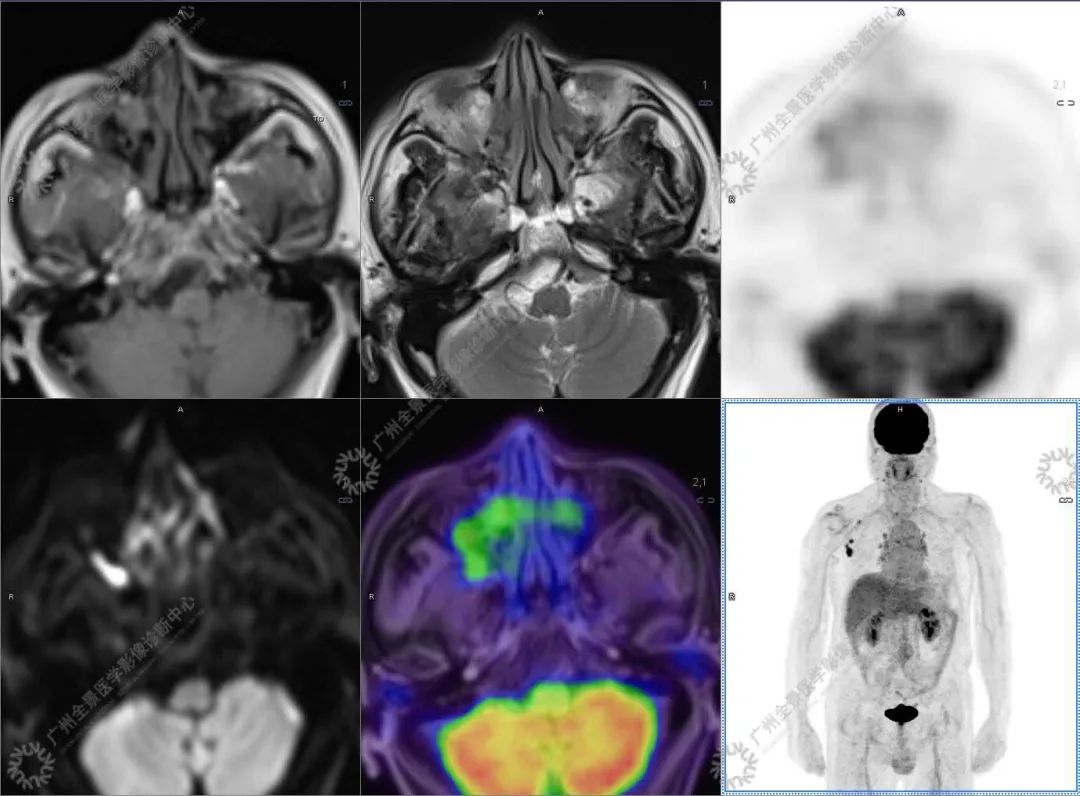
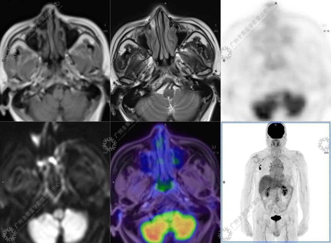
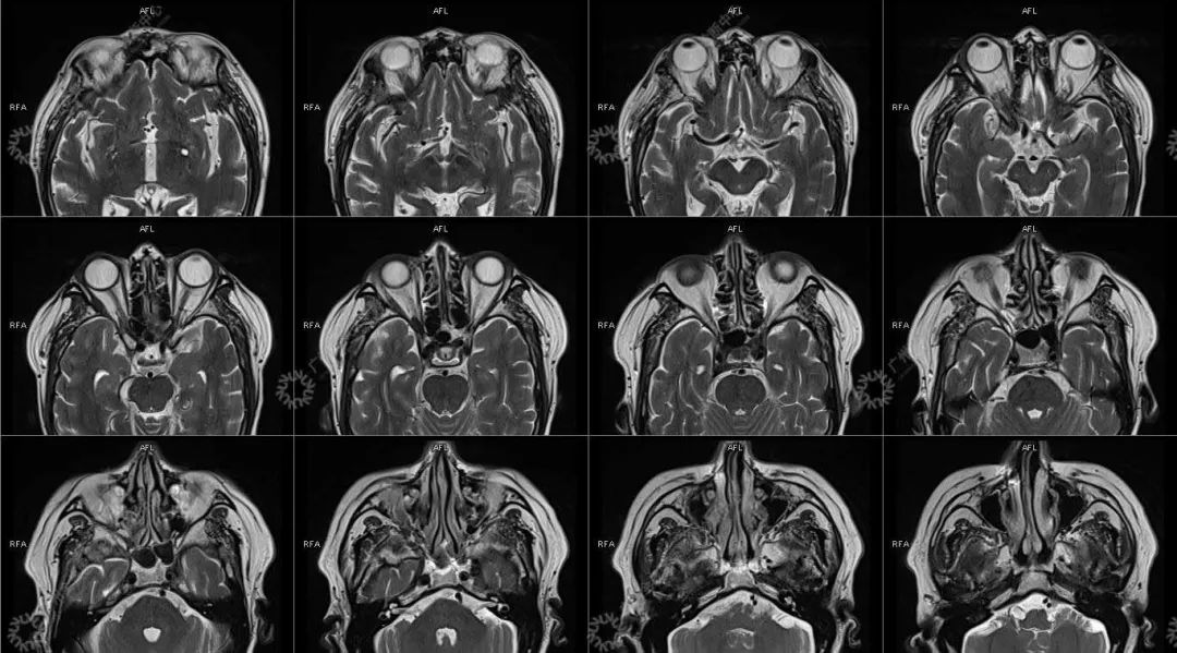
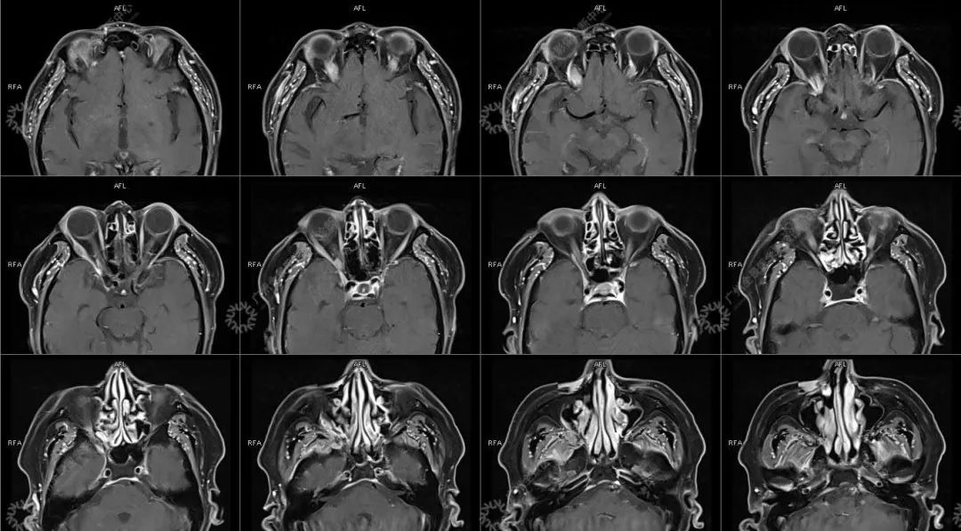
主诉:视力下降 2 年
现病史:双眼部隐痛、流泪,视力下降 2 年
既往史:前列腺手术史,余无特殊













































肉眼所见:(胸壁肿物) 灰白色结节一枚:3x2.5x1.7 cm, 切面灰白,质中。
镜下所见:(胸壁肿物) 淋巴结正常结构存在,但淋巴滤泡显著增生,数量增多,分布较密集,大部分形态较规则,滤泡结构正常: 可见个别大滤泡或类似生发中心进行性转化;少部分滤泡生发中心细胞数量减少或萎缩,或可见血管增生。滤泡间区可见多灶性上皮样肉芽肿形成,中央可见少量凝固性或不完全性坏死。
病理诊断: (胸壁肿物) 淋巴组织增生,伴肉芽肿性病变。如果临床怀疑肿瘤,建议 行免疫组化及必要的分子病理检查协助诊断及鉴别诊断。
特殊染色结果:PAS(-),PM(六胺银染色)(-),抗酸 (显示结核菌、麻风菌)(-),猫抓菌染色 (W-S 法)(-)。
免疫组化及原位杂交结果:Cat Scrath(猫抓病)(-),Tuberculosis(结核)(-):CD3(滤泡间区+),CD20(滤泡+), CD21(FDC 网架存在+),Bc12(滤泡-),CD10(滤泡生发中心+), CD30(滤泡旁或间区稀少弱+),CD57(滤泡内稀少+),TIA-1(滤泡间区稀少+),Ki67(滤泡+,呈极向分布):EBERs-ISH(-),滤泡内或滤泡间区少数浆细胞增生,显示 Kappa-ISH 阳性浆细胞数量稍多于 Lambda-ISH 阳性浆细胞数量。
最后诊断 (胸壁肿物) 淋巴结滤泡性反应性增生及肉芽肿性病变。
日本学者于 2011 年制定了 IgG4-RD 的诊断标准:
(1) 有单一或多脏器的弥漫性或特征性肿大、瘤、结节、肥厚等临床表现;
(2) 血清 IgG4 水平 ≥ 1 350 mg/L;
(3) 组织病理表现:
①有明显的淋巴细胞、浆细胞浸润及纤维化;
②IgG4 阳性浆细胞浸润:IgG4 阳性细胞在 IgG 阳性细胞中的占比 ≥ 40%,且 IgG4 阳性细胞超过 10 个/高倍视野;确诊满足 (1)+(2)+(3)、拟诊满足 (1)+(3)、疑诊满足 (1)+(2)。
结合影像及实验室检查,临床最终考虑 IgG4 相关性疾病。
●IgG4 相关性疾病 (IgG4 一 related disease,IgG4 一 RD) 是一种缓慢进展的免疫介导的炎症性病变,其病因及致病机制尚不明确
●IgG4-RD 好发于中老年男性,发病率低,但可累及全身任何器官并出现严重并发症,多器官受累是 IgG4-RD 的特征性表现,常见受累部位为淋巴结、唾液腺、胰腺等
●受累器官常表现为弥漫性或局限性肿大或形成肿块, 易误诊为恶性肿瘤
●目前,IgG4-RD 没有标准化的治疗方案,首选糖皮质激素治疗,大多数患者对激素治疗敏感, 治疗期间病情及相关症状得到改善及缓解
●IgG4-RD 临床表现多种多样, 缺乏特异性,其确诊依赖于血清 IgG4 水平升高(>135 mg/dL)及病理组织中 IgG4 阳性浆细胞浸润的特点
●18FDG-PET/CT 作为一种解剖和功能结合新的显像方法,IgG4-RD 的诊断及鉴别诊断中存在着巨大的优势:
●18FDG 对于炎性病变的检出有很高的敏感性, 但特异性较差,结合 CT 解剖影像可以明显的提高诊断的准确率。
●对于因各种原因无法进行增强检查的患者,特别是肾功能受损的患者, 18FDG-PET/CT 可以作为一种很好的替代方法,几乎不对肾功能产生任何影响。
●18FDG-PET/CT 扫描作为一种全身检查,有着传统影像学局部扫描无法比拟的优势,PET/CT 扫描不仅可以发现以临床症状为导向的局部病灶,更可以发现远隔部位的受累病灶。
参考文献:
张文等, IgG_4 相关性疾病诊治中国专家共识. 中华内科杂志, 2021. 60(03): 第 192-206 页
马少飞等, IgG4 相关性疾病的临床病理特征. 临床与实验病理学杂志, 2021. 37(04): 第 415-419 页.
刘俊, 张抒欣, 杨园园, 杨吉刚. ~(18)F-FDG PET/CT 在 IgG4 相关性疾病诊疗中的应用 [J]. 临床和实验医学杂志,2017,22:2282-2284.
杨少习, 李洪生, 傅丽兰, 黄顺, 吴湖炳, 王巧愚, 王全师. ~(18)F-FDG PET/CT 在 IgG4 相关性疾病中的应用 [J]. 中国临床医学影像杂志,2019,12:875-880.
张洁, 兰晓莉. ~(18)F-FDG PET/CT 在 IgG4 相关性疾病中的临床应用 [J]. 中华核医学与分子影像杂志,2018,12:824-828.
好文章,需要你的鼓励