2021 年 6 月 21 日华润武钢总医院心血管内科完成了首例生物可降解支架植入,手术后患者恢复良好,术后 3 天康复出院。
68 岁的安先生(化名)因间断胸痛 10 余年,再发加重半月就诊于华润武钢总医院,安先生 10 余年前就确诊了冠状动脉粥样硬化,平时药物治疗症状控制尚可,但近半个月来,安先生发现药物治疗效果越来越差,体力活动稍微增加即可诱发胸痛,有时夜间睡眠过程中也会发作,严重影响到了安先生的正常工作和生活,为此,安先生来到了华润武钢总医院心血管内科就诊寻求帮助。
接诊的吕学祥主任经过详细的病史询问及相关辅助检查后判断,安先生的冠状动脉粥样可能出现了狭窄加重的情况,冠状动脉供血不足导致了频繁发作的心绞痛。吕主任建议安先生复查冠脉造影评估冠脉病变情况,如果有严重狭窄可能需要行支架植入。
安先生一听到可能要植入金属支架,第一反应就是不想做造影了。安先生担心身体里多了个金属支架会引起排异反应,支架终身留在血管里会影响血管。吕主任解释到,目前的支架技术并不会导致排异反应,金属支架植入血管后会逐渐被内皮细胞覆盖,永久留在血管内也并不会对血管造成影响,关键是术后要规律服药配合治疗。可安先生还是犹豫不决,吕主任提到,如果血管条件允许,我们可以做生物可降解支架植入,现在我们医院已经具备这项技术,生物可降解支架植入血管 2-3 年即可降解吸收完全,既可以解决高度狭窄的冠脉问题,又可以解决安先生对于金属支架的顾虑。安先生得知消息后焦虑的心情得到缓解,坦然的接受了手术。




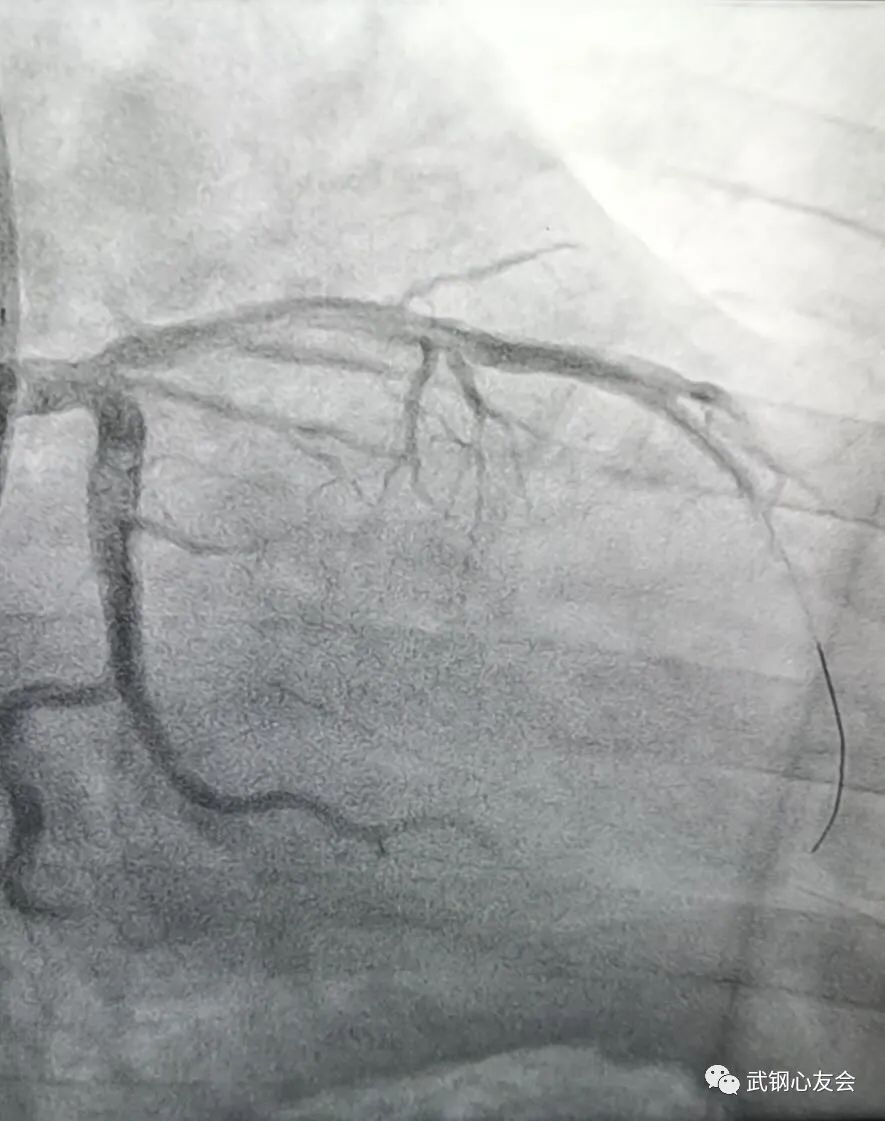
6 月 21 日,由吕学祥主任担任术者,李念主任担任助手为安先生实施了冠状动脉造影术,手术结果显示安先生的冠状动脉前降支中段狭窄了 90%,血管直径及病变部位符合植入生物可降解支架的条件,随后为安先生实施了生物可降解支架植入。术后 3 天安先生恢复良好,未再发作心绞痛,康复出院。
再次成功手术
就在安先生出院的同一天,6 月 24 日,43 岁的盛先生(化名)也接受了生物可降解支架植入,术后高度狭窄的冠脉血流恢复良好,盛先生症状得到迅速缓解,观察 2-3 天即可出院,恢复正常工作生活。






生物可降解支架知识延伸
01 什么是生物可降解支架?
生物可降解支架是一个可植入血管的装置,和传统的金属药物洗脱支架一样可用于打开阻塞的血管并恢复心脏的血流。然而,和金属支架不同的是,完全生物可降解支架是用一种特殊的材料制成的,在打开阻塞的血管后,可随着时间溶解,不会在病人的血管里留下金属支架,使血管恢复较多的自身功能和运动能力。生物可降解支架植入 3 个月内,会释放出抑制内膜增生的药物;植入 1 年后,可降解支架便可以像金属支架一般对血管起到支撑作用,避免血管急性回缩和内膜过度增生而引起的再次狭窄。尽管 1 年之后可降解支架会开始大幅降解,但此时的血管通过自身修复,已经能维持血管管腔大小,不再需要支架提供机械支撑了。通常情况下,植入 2-3 年后,可降解支架会完全降解并被人体吸收,到时血管的结构和功能也会恢复到自然状态。
02 生物可降解支架的优势有哪些?
(1) 恢复血管正常功能可降解支架的溶解期是 2-3 年,植入后支架会逐渐被血管内皮细胞分解吸收,最终完全变为水和二氧化碳,不会永久地破坏血管功能,血管的弹性在支架降解后可以逐渐恢复正常。
(2) 无需长期服用抗血小板药物
可降解支架能够在人体内彻底分解,所以无需长期服用抗血小板药物。但如果本身存在三高等基础疾病,为了防止动脉再次狭窄,仍需坚持服药控制。
(3) 血管再堵塞概率低
可降解支架由于能够降解,因此发生再狭窄的几率比传统支架低。
(4) 可重复放置支架
可降解支架在放入后 2-3 年可彻底溶解,因此当再次发生堵塞时,能重复置入支架进行治疗。
(5) 不良反应少,心绞痛发生率低
很多人担心可降解支架与传统支架相比技术新,不良反应会更多,但其实可降解支架与药物洗脱支架的作用原理没有本质区别,因此二者的不良反应没有明显差异。并且,支架完全降解后,血管内腔的面积会增大,术后心绞痛的发生率也更低。
(6) 不影像 CT、MRI 检查
由于不含金属材料,生物可吸收支架不会影响患者进行 CT、MRI 等多项检查。
03 生物可降解支架适用于所有冠脉病变吗?
生物可降解支架目前并不是适用于所有的冠脉病变。通常原发冠状动脉病变(以前病变位置没有进行过支架植入),单个支架能够解决问题的长度≤24 mm、TIMI≥1 的狭窄病变,并且血管直径 2.75 mm-3.75 mm,满足以上条件可考虑行生物可降解支架植入。具体情况还需手术医生根据手术情况而定。
*声明:本内容仅代表文章来源方观点,不代表本站立场。本内容仅供医学药学专业人士阅读,不构成实际治疗建议。
华润武钢总医院始建于 1958 年,隶属于华润医疗控股有限公司,是世界 500 强企业华润集团旗下机构的医疗健康专业服务平台。华润医疗在「仁心仁术,康泽天下」的理念指引下,向社会大众提供高品质的医疗健康服务;积极践行健康中国战略, 履行企业社会责任,为推动中国健康事业的发展贡献力量。
华润武钢总医院是首批国家认证的三甲综合医院,是青山区唯一的公立三甲医院。是武汉市城镇职工医保定点医院、武汉市居民医疗保险定点、武汉市工伤医疗保险定点医院、武汉市生育保险定点医院、湖北省基本医疗保险异地就医定点医院、武汉市医保 AAA 信用单位以及武汉地区高校医疗定点医院。