近日,华润武钢总医院在心血管教授金志刚院长带领下,心血管内科联合多学科团队成功开展青山区首例经导管主动脉瓣置换术(TAVR), 开启了微创介入治疗心脏瓣膜疾病的新篇章。该手术的成功实施,标志华润武钢总医院心血管内科在微创手术领域有了新的进展,填补了医院此项技术的空白。
一周前,王女士因胸闷、气促加重,严重影响日常生活,遂就诊于华润武钢总医院心血管内科,接诊的邓建丽主任在给王女士听诊的过程中发现王女士心脏有杂音,细心的邓主任留意到王女士的胸闷、气促症状可能因心脏瓣膜病引起,随即为王女士安排了心脏彩超检查,彩超证实王女士的确存在重度主动脉狭窄合并轻-中度主动脉瓣关闭不全,且主动脉瓣跨瓣压差高达 74 mmHg。高度狭窄的主动脉瓣,导致王女士心脏左心室射血到主动脉的过程受阻,久而久之造成心力衰竭,引起王女士的胸闷、气促症状加重。
患者这一病变药物治疗效果较差甚至无效,主动脉置换术是目前最有效的方式。因该患者主动脉瓣跨瓣压差较大,需尽快进行手术,而传统的主动脉瓣置换术是开胸后在体外循环支持下进行,创伤大、恢复慢,王女士及家属了解后十分抗拒手术。病区主任何望安教授了解到患者及家属的顾虑后,随即为患者安排了主动脉根部 CTA 及主动脉全程 CTA 检查,结果表明该患者瓣环大小适中,左右冠脉高度合适,外周血管入路直径符合微创手术要求,也就是说,王女士具有行经导管主动脉瓣置换术(TAVR)的条件,可以用微创方式解决主动脉瓣狭窄的问题,避免开胸大手术,得知这一消息的王女士及家人十分欣喜,当即决定接受手术。

CTA 提示患者为横位心,且为小左室,给介入治疗造成了较高的难度。为了确保手术安全,医院心血管内科、麻醉科、超声科、导管室、放射科多学科共同讨论,协同合作,用最短时间制定了详细的手术方案及应急预案。


确定手术方案后,手术顺利开始。在相关学科的配合支持下,何望安主任团队攻坚克难,术中细致操作,反复斟酌,确保术中每个步骤及细节的完美。



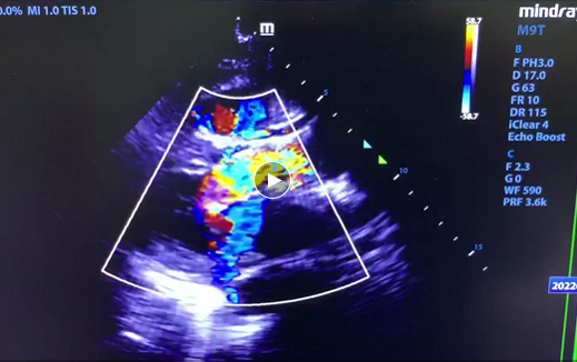
术后超声科叶华容主任在手术室为患者进行术后评估,实时超声显示该患者主动脉跨瓣压差由术前的 73 mmHg 直接下降到术后的 16 mmHg,手术效果立竿见影,患者胸闷、气促症状明显缓解,且无传导组织、穿孔等并发症发生,宣告手术圆满结束。



TAVI/TAVR 手术作为新兴微创的顶尖技术,为重度主动脉瓣狭窄或重度关闭不全且无法行外科手术的患者带来了福音。未来,华润武钢总医院心血管内科将以此次手术为契机,紧跟新时代步伐,不断向高难度、高技术含量的医疗创新技术发起挑战,造福更多患者!
好文章,需要你的鼓励