淮南朝阳医院肿瘤中心应用免疫综合疗法成功治疗一例晚期食管癌患者

作者:丁香园    2020-09-17
字体大小:

「民以食为天」、号称「啥都能吃」的中国,是世界上食管癌的高发国家,也是世界上食管癌高死亡率的国家之一。中国的食管癌发病率与死亡率均占全球的一半以上。患者一般在接受传统的手术、放化疗治疗后,如果出现复发、转移,往往让医生束手无策。

近日,淮南朝阳医院肿瘤中心学习国内外先进免疫治疗技术手段,成功规范地治疗一例晚期食管癌患者。

患者张大爷是一位来自寿县寿春镇的淳朴农民,2019 年 6 月初的一天,他吃饭时感觉明显梗噎疼痛感,症状越来越重。2019 年 8 月初去医院检查,通过胸部 CT 及胃镜等检查确诊为:「食管中上段鳞状细胞癌」。

(上图红色箭头就是食管肿瘤)

紧接着,患者开始在肿瘤中心接受「食管癌三维适形放疗同步替吉奥加洛铂化疗」。

10 月底复查 CT 病灶缩小,病情明显好转。

(图为 10 月份复查 CT 片,可以看见肿瘤小了)

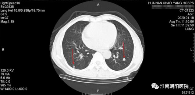
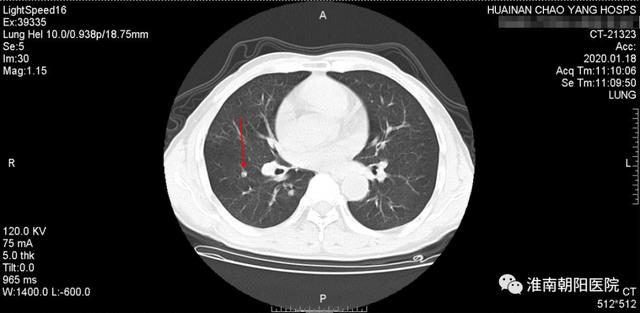
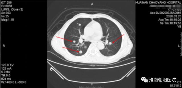
随后患者张大爷又接受两轮化疗,身体状况逐渐变好!但好景不长,肿瘤这个狡猾的家伙居然耐药了,在 12 月份的胃镜检查中我们意外地发现食管内仍然有残存病灶,经过全体专家的会诊后更换了化疗方案治疗,但今年 1 月份复查的时候,医生发现两肺多发转移,病情有进展了!

(图中红色箭头所指的就是肺内的转移灶)

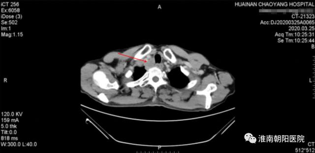
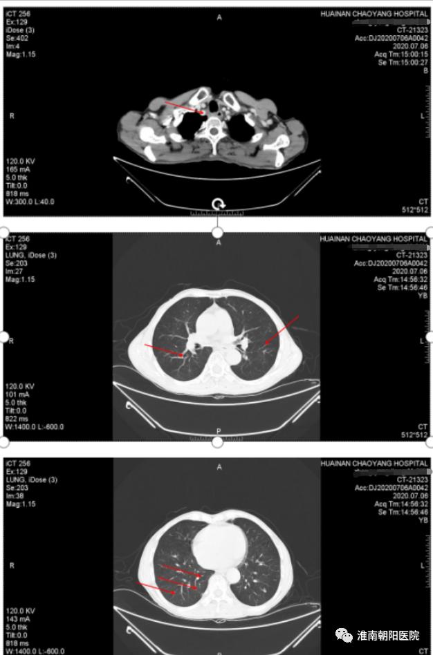
经过淮南朝阳医院肿瘤中心医护人员耐心而温情的安慰后,张大爷决定继续坚持与病魔抗争,之后的 2 个月他又勇敢地接受了 2 周期化疗。但晚期复发性食管癌传统治疗并没有给我们带来惊喜的疗效,张大爷再次出现了明显的进食哽阻感、食欲下降、呕吐等不适症状,身体越来越消瘦, 在今年 3 月份复查的时候两肺多发转移较前进展了,并出现了新的转移灶(右侧胸廓入口处)。

(图为新的转移灶)

(红色箭头提示肺内的病灶明显增大了)

 

免疫疗法  

免疫治疗是当前备受瞩目的新一代抗肿瘤方法,近几年肿瘤免疫治疗成为肿瘤治疗的焦点,被《科学》杂志列为十大科学突破之一,免疫治疗给众多肿瘤患者带来了治愈和重生的希望。免疫检查点抑制剂等新药或新模式的出现,也为中国食管癌患者带来了新的治疗选择和希望。

近年来,淮南朝阳医院肿瘤中心努力学习先进医疗技术,经过仔细会诊讨论,为张大爷制定了「免疫治疗+分子靶向治疗+化疗」三种联合综合治疗方案。3 月 26 日「阿帕替尼+卡瑞利珠单抗+卡培他滨」三种药物联合治疗开始。经过 3 个多月 4 疗程的治疗,张大爷身体状况好转,进食不畅、恶心、纳差的症状基本上都消失了,体重也增加了 10 斤。

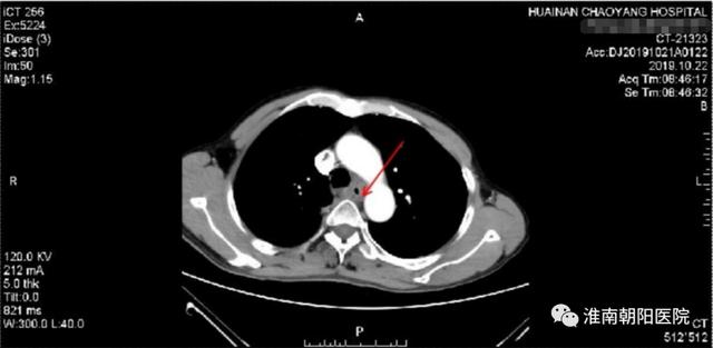
7 月初我们复查时惊喜地发现两肺多发转移灶和右侧胸廓入口处淋巴结明显缩小。                                                   

上图是张大爷免疫综合治疗后的 CT,可以看见以前的转移灶基本消失了

 

*声明:本内容仅代表文章来源方观点,不代表本站立场。本内容仅供医学药学专业人士阅读,不构成实际治疗建议

编辑: dxy_91u5u9d9    来源:淮南朝阳医院