近日,重庆松山医院心血管病专科医院顺利开展首例 Shockwave 冲击波球囊技术成功为一名患者处理重度冠脉钙化病变,标志着医院冠脉钙化介入治疗,进入新阶段。

5 个月前,陈先生因反复感到胸闷、胸痛,就诊于当地医院。
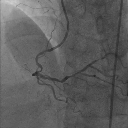
造影检查显示:冠状动脉三支病变。其中,右冠状动脉近中段狭窄钙化最重处约 90%,伴重度弯曲;左冠状动脉前降支近中段狭窄钙化最重处约 85%;左冠状动脉回旋支近段狭窄约 85%。


这种情况下,如果不能尽早打通血管、恢复血流,随时可能引发心肌梗死。
「天不怕,地不怕,就怕血管有钙化」,心血管内科医生常说这样一句话。
这是因为钙化病变的血管段像石头一样坚硬,传统介入器械通过难度大,且容易引发支架脱落、导丝断裂等并发症,一直是介入治疗的难点和痛点。
心血管病专科医院宋耀明院长、耿召华主任团队对患者病情进行充分评估讨论,最终决定采用国际新技术「Shockwave 冲击波球囊」。
冲击波球囊技术主要通过球囊低压扩张,向病变发射非聚集、低能量、脉冲式冲击波,碎裂血管内钙化病变,改善血管顺应性,以便后续的支架植入和释放。
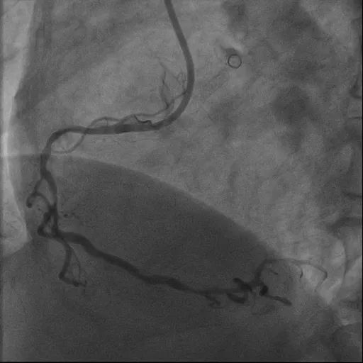
术中,充分预处理 Shockwave 球囊后,沿导丝推送球囊至钙化病变血管段,扩张球囊后,释放冲击波。经多次单轮操作,逐一击碎「坚如磐石」的钙化病变,成功置入支架。


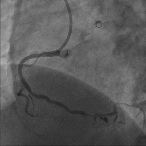
造影可见血管狭窄明显缓解,管腔面积得到有效恢复,血流通畅。


好文章,需要你的鼓励