重庆松山医院

重庆松山医院

人气2204630
获赞1027

重庆松山医院简介: 原名“重庆北部宽仁医院”,由重庆市政府、市卫健委批准设立,上市公司华邦健康(002004.SZ)出资建设,集医疗、教学、科研、康复与预防保健于一体的大型三级综合医院,重庆市医保定点医疗机构。背靠照母山公园,面朝两江幸福广场,占地280余亩,编制床位1000张。 全职引进第三军医大学资深医护团队300余人,学科带头人曾在西南医院、新桥医院、大坪医院等三甲医院长期担任科室主任、副主任,是博导、教授、副教授级专家,堪称行业翘楚。按照国家三甲医院标准,开设呼吸内科、消化内科、神经内科、心血管内科、肾内科、内分泌代谢病科、血液内科、普外科、乳甲外科、肝胆外科、泌尿外科、心血管外科、骨科、胸外科、神经外科、妇产科、兒科、眼科、耳鼻咽喉科、口腔科、皮肤科、ICU、急诊科、中医科、肿瘤科、老年与舒缓医学科、康复医学科、风湿免疫科、预防保健科、麻醉科、放射科、超声科、检验科、体检中心等40余个科室,以患者为中心,多学科协作(MDT),一站式解决各类疑难重症,打造医疗技术高地,共创健康中国。

  • 关注
  • 机构介绍
最新关注
医疗关注
医院活动
学科建设
健康患教
先进人物
医院文化
爱心公益
国考成绩

京渝携手,共筑临床康复协同发展新格局 | 重庆松山医院与北京华生康复医院举行康复学科专业交流

2026-03-18

精准「拆弹」!重庆松山医院首例颈动脉内膜剥脱术,为八旬老人清淤救命

2026-03-18

别再用牙齿咬硬物了!当心牙齿「隐形裂缝」

2026-03-16

体检发现甲状腺结节怎么办?先别自己吓自己!

2026-03-16

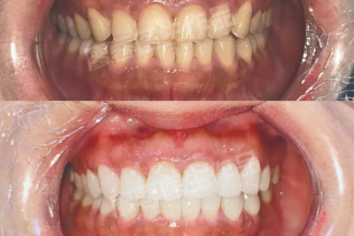
实力出圈!重庆松山医院口腔科在全国学术会议上荣获多项护理大奖

2026-03-13

鱼刺、骨头卡喉咙?别硬抗,及时就医!

2026-03-13

重庆松山医院启动「繁星计划」:走进 100 家社区企业,开展 100 场公益活动

2026-02-24

重庆松山医院联合举办儿童早期矫治高峰论坛 聚焦技术创新与规范发展

2026-02-06

全国内分泌专家云集 共探糖尿病防治创新实践

2026-02-06

重庆松山医院举办 2026 年「世界癌症日」健康宣教活动

2026-02-05

品牌指数

2026.03.09 至 2026.03.15
31.46 医院品牌指数
23232180 综合排名
查看趋势详情
2023年优秀非公医疗机构 50 强