

河北一洲肿瘤医院副院长清水翔星带领的医疗团队,联合北京儿童医院保定医院共同开展的临床研究成果,已正式发表于国际肿瘤学权威期刊《Frontiers in Oncology》。该研究报告了一例极为罕见的 4 个月婴儿患「双原发恶性肿瘤」的病例,为全球儿童肿瘤治疗领域提供了宝贵的临床经验和治疗策略。

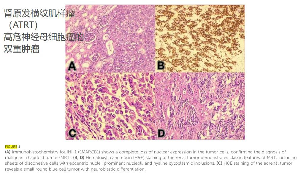
此病例涉及肾原发恶性横纹样肿瘤(AT/RT)和肾上腺神经母细胞瘤的联合发生。两者均为高度恶性且生物学行为复杂的肿瘤,且通常在不同患者中单独发生。在全球范围内,尚未见过此类极低龄、双原发恶性肿瘤病例的系统性报道。因此,本研究填补了学术空白,并为类似罕见病例的治疗提供了重要的循证依据。
复杂病例的治疗挑战与精准方案
肾原发恶性横纹样肿瘤(AT/RT)是一种极为罕见且预后差的肿瘤,特别是在婴幼儿中,生存率非常低。III-IV 期患者的生存率通常不足 30%-40%。当这种肿瘤与神经母细胞瘤(NB)叠加时,治疗的复杂性进一步增加。神经母细胞瘤作为儿童肿瘤中最具挑战的高危实体肿瘤之一,其病理特征要求治疗策略的高度个性化和精细化。

对于该患儿而言,治疗的难度不仅在于两种肿瘤的并存,还因为患儿仅 4 个月,正处于关键的生长发育阶段。清水翔星教授强调:「对于一名仅 4 个月大的婴儿而言,每一步决策都关乎终身。」如何在不同肿瘤生物学特性之间取得治疗平衡?如何控制肿瘤的同时,保护正常发育中的重要器官?如何降低远期神经系统、生长发育和继发肿瘤的风险?这些问题让治疗决策变得格外复杂。
面对如此复杂的病情,河北一洲肿瘤医院启动了多学科团队(MDT)协作机制,以确保治疗方案的精准性与个体化。首先,患儿在国家儿童医学中心、首都医科大学附属北京儿童医院儿童肿瘤外科主任医师韩炜带领下完成了肿瘤的根治性手术切除,为后续治疗奠定了坚实基础。
由于婴儿的生理特点,传统的放疗手段可能对正常组织,尤其是脏器,造成不可逆的损伤。因此,质子治疗成为了最佳选择。由清水翔星教授牵头,医院团队为患儿制定了个性化的质子治疗方案,利用质子束的独特「布拉格峰」特性,精准地将放射剂量集中于肿瘤靶区,最大限度减少对正常组织的伤害,尤其是在腹盆腔和脊柱区域的保护效果非常显著。
创新治疗方案与全球学术认可
随着论文的发表,《Frontiers in Oncology》的严格审稿机制确保了该研究的创新性和临床指导意义。论文的接收标志着该病例的诊疗经验在全球范围内得到认可,并为极高风险婴幼儿恶性肿瘤的治疗提供了有价值的实践指导。

清水翔星教授表示:「在这项研究中,医院的创新主要体现在以下几个方面,首先是极低龄婴儿质子治疗的首次尝试。该病例是全球首例在 6 个月以内婴儿中成功实施腹盆腔质子治疗的案例。这个突破为婴儿肿瘤治疗提供了全新的视角,也为今后的类似病例提供了宝贵的临床经验。」
「团队特别注重精准剂量控制。采用 IMPT(Intensity Modulated Proton Therapy)技术,严格控制重要脏器的辐射剂量,尤其是对患儿唯一功能肾的辐射剂量,确保其平均剂量控制在<1.5 Gy,从而最大限度地保护了肾脏的功能。」
「此外,团队在治疗过程中针对脊柱及生长板的精准照射做了充分优化。通过剂量学优化设计,显著降低了脊柱和生长板的辐射剂量,确保了在治疗后 1 年的随访中,患儿未见明显的脊柱侧弯或生长抑制。」
值得高兴的是,经过 1 年的随访,患儿无肿瘤复发,肾功能和肝功能持续保持在正常范围,进一步验证了质子治疗的长期安全性与疗效。这一结果不仅证明了治疗的有效性,也为质子治疗在高风险婴幼儿群体中的应用提供了更强的支持。

本研究不仅为极低龄双原发恶性肿瘤的治疗策略提供了新的治疗方案,也为全球儿童肿瘤治疗提供了具有实践价值的循证参考。近年来,河北一洲肿瘤医院在儿童质子治疗领域持续深耕,凭借先进的技术和创新的治疗理念,逐步确立了在该领域的领先地位。医院结合临床治疗与科研创新,不断拓展质子治疗的应用边界,尤其在高风险、极低龄患者的治疗中取得了显著成果。这项成果进一步巩固了河北一洲肿瘤医院在全球肿瘤治疗领域的学术地位,为更多高危肿瘤患儿提供了新的治疗希望。
「河北一洲肿瘤医院将继续秉承创新驱动,致力于为全球患者提供更加精准、个性化的治疗方案。」清水翔星教授表示,医院将继续关注并随访每一位接受治疗的患儿,在不断推动肿瘤治疗技术向更高水平迈进的同时,医院也将为更多患儿提供长期、全方位的关怀与支持。
好文章,需要你的鼓励