发布于:2025-07-21
原创

我院神经外二科上演「颅脑生死时速」,成功抢救突发昏迷患者

2025 年 7 月 7 日晚上 10 点,一通急促的电话铃声划破了我院神经外二科的值班室。一名 36 岁男性患者因「无明显诱因突然昏迷,伴左侧肢体活动障碍」被 120 紧急送医,一场与死神赛跑的急救行动迅速展开。

我院神经外二科上演「颅脑生死时速」,成功抢救突发昏迷患者

神经外二科凭借精湛的医术、紧密的协作和永不言弃的信念,成功挽救了患者的生命,谱写了一曲生命的赞歌。

36 岁男子突发昏迷,4 小时急救挽回生命

36 岁男性患者小朱(化名),没有明显诱因突然神志不清,摔到在地上,家人呼叫没有应答,并伴左侧肢体活动障碍等症状,精神状态持续变差。家属立即拨打 120 送医。

我院神经外二科接到电话后,立即启动应急预案,急诊科、神经外科、神经内科、影像科等多学科团队迅速集结待命,确保患者到达后能第一时间接受全面、高效的治疗。

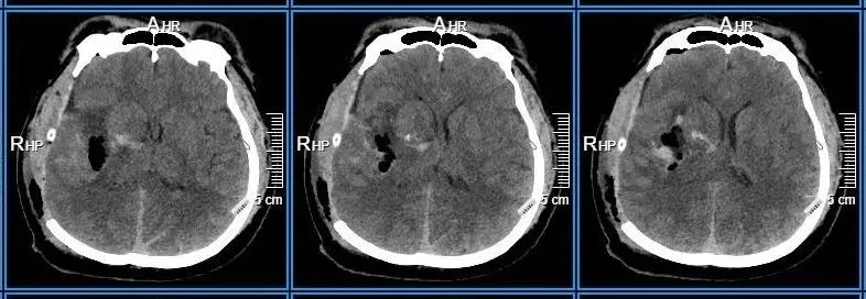
患者到院时已处于昏迷状态,左侧肢体瘫痪,凭借医护团队丰富的经验,初步判断为急性脑血管意外。医护人员迅速开通绿色通道,完善检查,结果提示「右侧颞顶枕脑出血,脑疝」,排除脑血管畸形、脑动脉瘤破裂等,确诊为「高血压脑出血」。 

我院神经外二科上演「颅脑生死时速」,成功抢救突发昏迷患者

术前检查

时间就是生命!医疗团队当机立断,在黄金时间窗内迅速转入手术室,在麻醉科、神经外科、重症医学科等多学科的紧密配合下,由神经外二科向守卫主任、王浩然主任带领团队进行手术。手术室里灯光如昼,气氛严肃而紧张,经过 4 小时的全力抢救,终于在凌晨 3 点左右结束手术,转入重症监护室进一步观察。

我院神经外二科上演「颅脑生死时速」,成功抢救突发昏迷患者

术后检查

手术成功只是第一步,术后的护理和康复同样至关重要。患者被转入重症监护室后,医护人员 24 小时不间断地守护,密切观察病情变化,及时调整治疗方案。在医护人员的精心照料下,患者的病情逐渐稳定,生命体征趋于平稳。

首战告捷,助力拓宽急、危、重症患者生命急救动脉

近年来,国家高度重视危急重症医疗体系建设,推进危急重症医疗服务体系的完善和发展。而昆明三博新院区位于昆明市官渡区,其周边覆盖了世纪城、海伦国际、新亚洲体育城等大型社区,居住人口数十万,对于胸痛、卒中、创伤等意外急救,更加亟待优质医疗资源投入。

我院积极响应国家政策,紧密围绕「健康云南」战略,通过多场景、全要素应急演练,规范危急重症医疗急救流程,强化危急重症医疗人才梯队建设,担负起周边区域急、危、重症患者的「生命急救动脉」,为争分夺秒的生命医疗救治体系加装「助推器」。

我院神经外二科上演「颅脑生死时速」,成功抢救突发昏迷患者

颅脑手术向来是外科领域的高难度手术,对医生的技术水平、经验以及团队的协作能力都有着极高的要求。此列手术是我院神经外二科搬迁新院区后接诊的第一例急诊危急重症患者,顺利完成患者救治工作,不仅展现了我院神经外科、重症医学科高超的医疗技术水平和强大的应急救治能力,也是我院全面提升急重症急救体系和突发事件应急救援体系服务能力的重要里程碑。

作为一家以心脑同治为特色,覆盖急诊急救、慢病管理的现代化医院,将以此为契机,围绕团队优势,整合优质资源,构建急重症急救一体化管理,通过技术下沉和人才培养,辐射带动区域急重症救治整体水平提升,让更多患者受益。

推荐阅读

合作咨询