近日,桂林医科大学第二附属医院胸心血管外科团队成功为一例左肺上叶结节的患者实施了单孔胸腔镜左肺上叶前段切除术及淋巴结采样术,成功挑战「极致微创」肺癌切除手术,避免了切除整个左肺上叶,为患者保留了更多健康肺组织,保留了更多的肺功能。
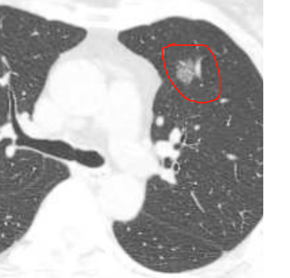
患者是一名 60 岁女性,在外院胸部 CT 检查发现左肺上叶前段不规则磨玻璃结节,考虑为早期肺腺癌,经人介绍后来到桂医二附院胸心血管外科,找到了吴云飞博士。患者畏惧手术,对手术疼痛感到极度担忧,担心手术切除肺后出现肺功能显著下降,生活质量影响大......

吴云飞了解到患者想选择肺结节消融手术后,同患者进行充分沟通,他表示肺结节消融病人的适应症和消融手术的利与弊,术前检查患者各项心肺功能指标良好,肺部结节适合做精准肺段手术,完整切除肿瘤、保证足够安全切缘的同时,又能争取保留更多的健康肺组织,患者出院后依旧可以进行唱歌跳舞爬山等活动,最终患者选择单孔胸腔镜左肺上叶前段切除术。
吴云飞博士表示,精准肺段切除术的难点在于每一个患者都存在独有的解剖结构,肺段解剖变异性非常大。左肺上叶前段的血管、支气管分布存在较多变异,且与周围肺段的解剖关系紧密。术中需精准识别靶段的动静脉、支气管,避免误断或漏断,否则可能导致术后出血、漏气或肺功能受损。

面对这一难题,医疗团队在吴云飞博士的带领下沉着应对,用超声刀仔细游离肺组织,解剖性精准切除左肺上叶前段,并行淋巴结采样术,确保肿瘤根治效果。
此次手术多模式镇痛方案的实施,帮助患者减轻手术痛苦,加速康复,彻底改变了患者对胸外科手术疼痛的认识。

随着影像学技术的不断发展及普查力度的加强,越来越多的以肺内磨玻璃密度影为主要表现的外周型小肺癌被发现,肺癌早期诊断、早期治疗受到重视,特别是解剖性肺段切除术以其不亚于肺叶切除术的治疗效果、对肺功能影响较小的优势逐渐成为治疗肺部肿瘤的重要手术方式。
此次手术的成功,不仅是医院医疗技术水平的体现,标志着肺结节治疗实现「精准」治疗。今后,二附院胸心血管外科将不断探索和实践,全面提升技术水平和服务能力,全力守护百姓健康。
好文章,需要你的鼓励