说起类风湿性关节炎,其被称为「不死的癌症」:简单来说,这种疾病虽然不会直接致死,但长期的疼痛对于患者来说是一种莫大的折磨,这种折磨随着时间的推移,会逐渐蚕食患者对于生活的信心,如同癌症一样恐怖……
李大姐 (化名) 就是被类风湿性关节炎折磨近 20 年的一位患者,用她的话来说,这 20 年如同梦魇……
20 年前,李大姐双膝关节出现疼痛症状,尤其是在劳累后这种疼痛感更重,当时在当地医院被诊为类风湿性关节炎,之后的时间里她一直以药物控制。但在 10 年前,李大姐双膝关节疼痛等症状明显加重,每天早晨还会有双膝僵硬的情况,尤其是左膝,在行走或其他活动时受限明显,严重影响日常生活。

李大姐来到徐州仁慈医院关节外科,经过相关系统检查后,确诊为类风湿性关节炎及双膝骨性关节病 (KL 分级 IV 级)。

类风湿性关节炎最常见的症状就是关节疼痛和肿胀,大多数患者的病情处于「发作—缓解—发作—缓解」的过程中,在此过程中如若不进行干预治疗,病情会持续加重,还有部分患者可能突然暴发严重的关节肿胀、疼痛。如果病程时间较长,还可能会出现关节变形。
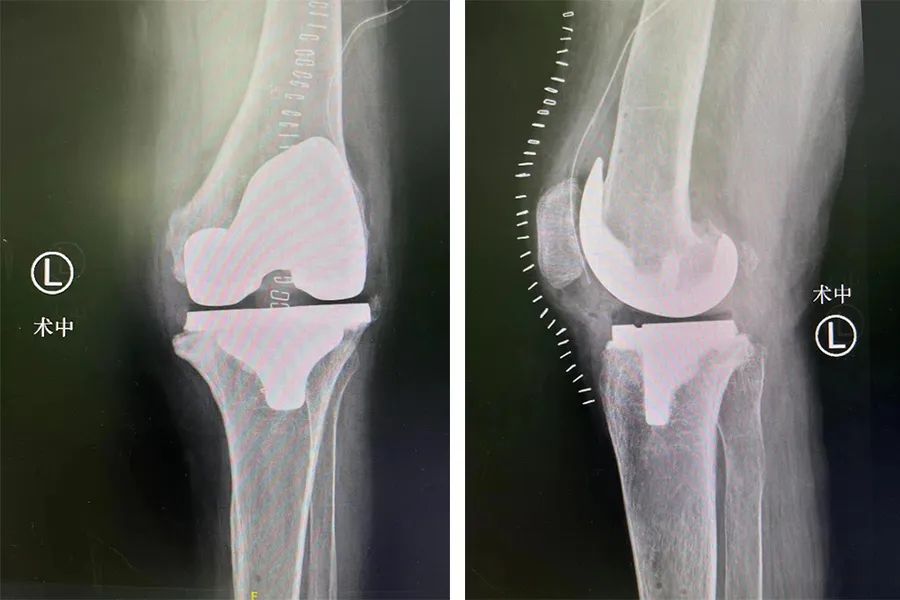
在结合相关资料及术前讨论后,仁慈关节外科张传开、郝亮、王琳、蒋涛手术团队为李大姐在 Mako 关节置换机器人导航下行左侧人工膝关节置换术。

术前,Mako 机器人基于 CT 进行 3D 的智能建模,根据患者实际情况个性化定制手术方案。同时,在术中实时根据患者具体软组织张力进行动态调整,辅助手术医生进行精准化、个性化的手术操作。尤其是对截骨、假体安装等重要环节,都进行了全程三维定位,实时将角度、大小、骨质覆盖等重要信息通过数字影像及时传达给手术医生,帮助医生做出准确判断,将手术精度控制在毫米级,实现「精准手术」的要求。
与传统骨科手术相比,Mako 机器人能够辅助手术医生准确快速地完成假体植入,其精准度远超传统术式,解决了手术医生「看不准」、「拿不稳」的问题。

好文章,需要你的鼓励