在不少人看来,脑梗死是「老年病」,然而,有一种隐匿的病因正悄悄威胁着年轻人的健康——脑动脉夹层。近两个月,苏州明基医院卒中中心神经内科连续成功救治多例因颈部按摩引发椎动脉夹层、导致急性脑梗死的年轻患者,凸显了及时识别与精准救治的重要性。
深夜的急诊室,一名 24 岁的年轻女子崩溃大哭、无法正常对答——这不是电视剧情节,而是真实发生在苏州明基医院的一幕。引起该女子仪态反常的「导火索」,竟是一次按摩后引起的脑梗!
到院时患者处于谵妄状态,不断哭泣,自述剧烈头痛。头颅 CT 未见出血,急诊判断其存在神经系统损伤,立即联系神经内科将其收治入院。
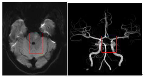
入院后患者神志转清,却突然出现言语不清、右侧肢体无力等症状——典型脑卒中表现。当晚值班医师立即联系放射科,完善头颅 MR +MRV 检查。检查结果提示头颅 MR:脑干左侧急性梗死。头颈部 CTA:基底动脉闭塞——这是致死致残率极高的危急重症,每延迟 1 分钟抢救,就有 190 万个神经细胞永久死亡。

时间就是大脑!由于患者无家属陪同,家属远在陕西,若等待家属签字,病情将不堪设想。卒中中心、神经内科张增平主任一边安抚家属情绪、建议其尽快来苏,一边启动绿色通道,通知手术室立即准备介入取栓手术。
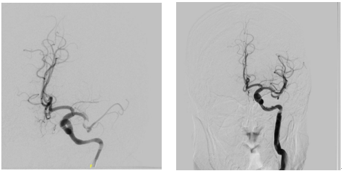
手术在紧张有序地进行,术中发现患者左侧椎动脉夹层导致基底动脉闭塞,成功取栓并辅以抗凝治疗。术后第二天,患者言语不清,右侧肢体无力的症状就明显好转,双侧 Babinski 征转阴。
一周后复查头颅 MR+MRA 提示,闭塞基底动脉,夹层的椎动脉,均已开通。患者临床症状完全消失,没有留下任何后遗症!

脑梗死常继发于脑动脉粥样硬化,心房颤动,血管炎等疾病,高血压、糖尿病、高血脂、吸烟等均为其危险因素。
该患者青年女性,没有慢性病史,入院后筛查血管炎等检查结果同样均为阴性,那究竟是什么原因导致患者左侧椎动脉夹层?
再次追问患者生活习惯,才知道患者有颈部按摩的习惯,此次头痛发作前,正好有颈部按摩病史。
因按摩至脑梗的案例并不少见。
一名 40 岁男性因突发言语不清、右侧肢体无力送至我院急诊。影像检查提示左侧大脑中动脉闭塞,脑组织濒临坏死。急诊请神经内科张增平主任急会诊后,当即决定静脉溶栓+桥接取栓的治疗方案。

术中发现患者左侧颈内动脉 C1 段可见长约 40 mm 夹层形成,真腔远端闭塞。当即予以支架植入,成功再通左侧颈内动脉。患者术后恢复良好,出院时生活已能自理。
术后追问患者活动史,同样在发病前有颈部按摩病史。

动脉夹层并非凭空发生,通常在有病变的血管基础上,由一些诱因引发。
正常情况下,动脉壁由内膜、中膜和外膜三层结构组成,但若在按摩时遭遇过度旋转、按压等外力,可能导致内膜撕裂,血液渗入血管壁形成夹层,进而诱发血栓或血管闭塞。
常见高危因素包括:
高血压:是最主要的危险因素;
动脉粥样硬化;
遗传性结缔组织病:如马凡综合征、埃勒斯-当洛斯综合征等,会导致血管壁脆弱;
先天性主动脉畸形:如主动脉缩窄、二叶式主动脉瓣;
外伤:如车祸、高处坠落等严重外伤;
医源性损伤:如心脏导管手术、动脉插管等;
妊娠:孕期血流动力学变化会增加风险;
剧烈运动或突然用力:如举重、猛提重物等。
值得警惕的是,这两位患者术前均无明显基础病史,却因一次看似放松的按摩酿成大祸。张增平主任指出:"颈部血管(尤其是椎动脉)走行迂曲,在寰枢关节等位置相对固定,不当按摩时的外力牵拉极易造成血管内膜损伤。"
苏州明基医院卒中中心面对脑动脉夹层这类急重症,早期识别、快速干预、多科协作是关键。苏州明基医院卒中中心依托神经内科、放射科、介入团队的高效联动,打造「检查-诊断-手术」无缝衔接的绿色通道,显著提升救治效率与成功率。
张增平主任强调:「年轻人突发头痛、言语或肢体障碍,必须警惕动脉夹层。时间就是生命,我院卒中中心 24 小时待命,为患者争取每一线生机。」
避开危险区域:颈动脉窦(颈部两侧搏动处)禁止按压,易引发血压骤降;
拒绝 "暴力推拿":旋转颈部时听到 "咔咔" 声并非 "放松",而是关节过度磨损的警告;
三类人慎做颈部按摩:高血压、动脉粥样硬化、有偏头痛病史者。
如有不明原因头痛、眩晕、肢体麻木或无力,尤其在颈部按摩、外伤后出现,请立即就医!

苏州明基医院是国家防治型卒中中心、中国卒中急救地图医院。国家防治型卒中中心的授牌,标志着我院卒中中心在开通卒中患者绿色通道、建立脑卒中单元以及在「防、治、管、康」多学科联合诊疗等方面均已进入先进行列,达标国家脑防委严格的准入和质控标准。中国卒中急救地图医院通过信息化打造区域「1 小时黄金救治圈」,有效提高脑卒中急救效益,造福一方百姓。
中心拥有完善的急救体系、先进的治疗手段、强大的专家团队、先进的设施设备,为卒中患者快速分诊、规范评估、迅速检查、明确诊断、及时治疗提供保障。中心现可开展静脉溶栓治疗、桥接治疗、血管内治疗等卒中急救及手术治疗,有效降低了脑卒中患者致残致死率。
「时间就是大脑」。苏州明基医院卒中中心,坚持「365 天 24 小时随时待命」的急救制度,建立由神经内科、介入科、脑外科共同协作的脑卒中绿色通道。
目前,我院采用「一站式多模态影像卒中救治平台」,运用「诊疗零距离」理念,以最短的路径和稳定的手术系统,缩短救治时间、降低治疗风险、提高术后生活治疗,打造全新诊疗模式。同时进一步缩短 DPT(患者入院到介入治疗时间)这一关键性指标,使许多危重的卒中患者得到及时治疗,避免了死亡或严重瘫痪的并发症,提高脑卒中急救成功率。
我院同时开展早期神经专科康复治疗,大大提高脑卒中的治疗效果,明显降低了脑卒中的致残率。
好文章,需要你的鼓励