因为一首歌的走红,一段阿珍与阿强的故事在互联网上掀起了洗脑式的传播。
近期,在西安高新医院肺结节诊疗中心也发生了一段阿珍与阿强的故事。
阿珍胸部 CT 体检后,拿到结果,发现有个肺结节。候诊区看到旁边的阿强也胸部 CT 体检了,他也有个肺结节。
10 min 过去了,阿珍出了诊室,看到阿强。
「阿强,请进 5 号诊室......」
1 根据结节大小
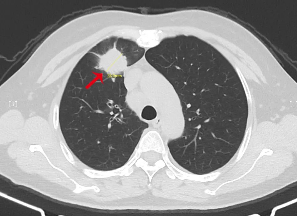
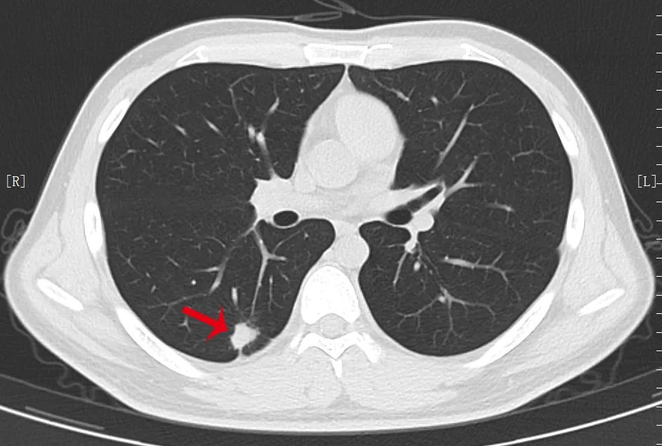
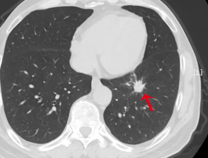
根据肺结节的密度将其分为三大类:实性结节、磨玻璃结节、部分实性结节,密度不一样,高危结节大小的评判标准也不同,>1.5 cm 的实性结节或者>8 mm 的部分实性结节。

2 根据结节形态
长相越是古怪的结节,越需要高度重视,尤其是出现分叶、毛刺、胸膜牵拉、含气细支气管征和小泡征、偏心厚壁空洞等征象。



3 根据结节生长速度
检查出小结节后,医生往往会建议定期复查,若结节短期内(3-6 个月)迅速增大或是长期不断增大,需警惕恶性。
当然,肺结节≠肺癌,但如果你的肺结节有以上征象,别掉以轻心,一定要积极就医,听取医生的专业意见。
好文章,需要你的鼓励