通常情况下,当我们测量血压时,两只胳膊的收缩血压差值一般不会超过 10 mmHg,当出现两只胳膊的血压差距较大,收缩压(高压)相差 30 mmHg 以上;又或者你触摸不到自己的脉搏或者一侧脉搏跳动好而另一侧很微弱时,则需要警惕可能存在一侧锁骨下动脉重度狭窄或闭塞。
这个听上去有点「小众」的病症,虽不如冠状动脉狭窄或闭塞容易引起大家警惕,却具有「声东击西」的迷惑性,它往往不会单独存在,除了患侧上肢且出现手臂疼痛、疲劳、发凉或麻木外,同时还会伴随眩晕、看东西重影、平衡失调、甚至突然晕倒等类似卒中的表现, 还极易造成"误诊", 这就是锁骨下动脉狭窄或闭塞的连锁反应——锁骨下动脉盗血综合征。
锁骨下动脉是主动脉的一级分支,向我们的上肢供血,同时,它发出的第 1 条分支就是椎动脉,沿颈椎而上向小脑及大脑后部供血,左侧椎动脉血液与对称位置的右侧椎动脉血液汇合,最终给脑部供血。
当锁骨下动脉的起始处重度狭窄,甚至闭塞,就像一个「主水管」的源头被掐,没有足够的正向血流时,血液会从压力高的椎动脉 「倒流」 到压力低的锁骨下动脉,为手臂供血 —— 相当于从颅内「窃取」血液供应患侧上肢。
通俗来说,就是身体「拆了东墙补西墙」,让本该流到大脑的血液却流到了手臂。
而这种异常的「盗血」行为,发展下去会导致两方面的结果:
1、大脑缺血症状
由于椎基底动脉系统供血被「偷走」,患者常出现发作性头晕、眩晕、视物模糊、站立不稳,严重时可能出现短暂性脑缺血发作(TIA,俗称 「小中风」)。
2、上肢缺血症状
患侧手臂供血不足,会在活动时感到无力、麻木、发凉或疼痛,需高度警惕。
据资料显示,锁骨下动脉狭窄好发于左侧,左右侧患病比例约为 3:1,且男性比女性更常见。近日,心血管内科颜主任接诊的一名患者即为典型的左侧锁骨下动脉硬化闭塞及盗血综合征。
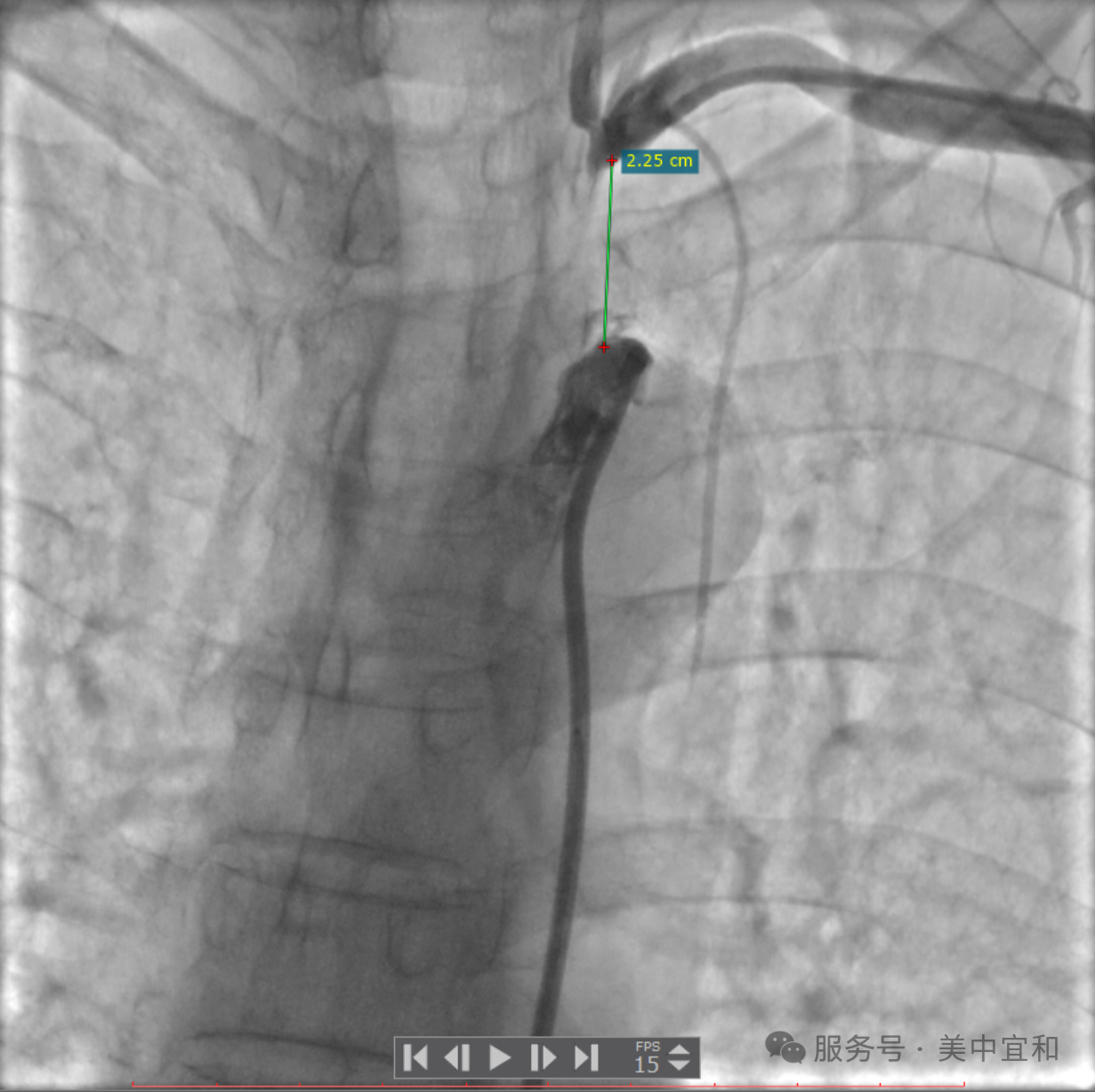
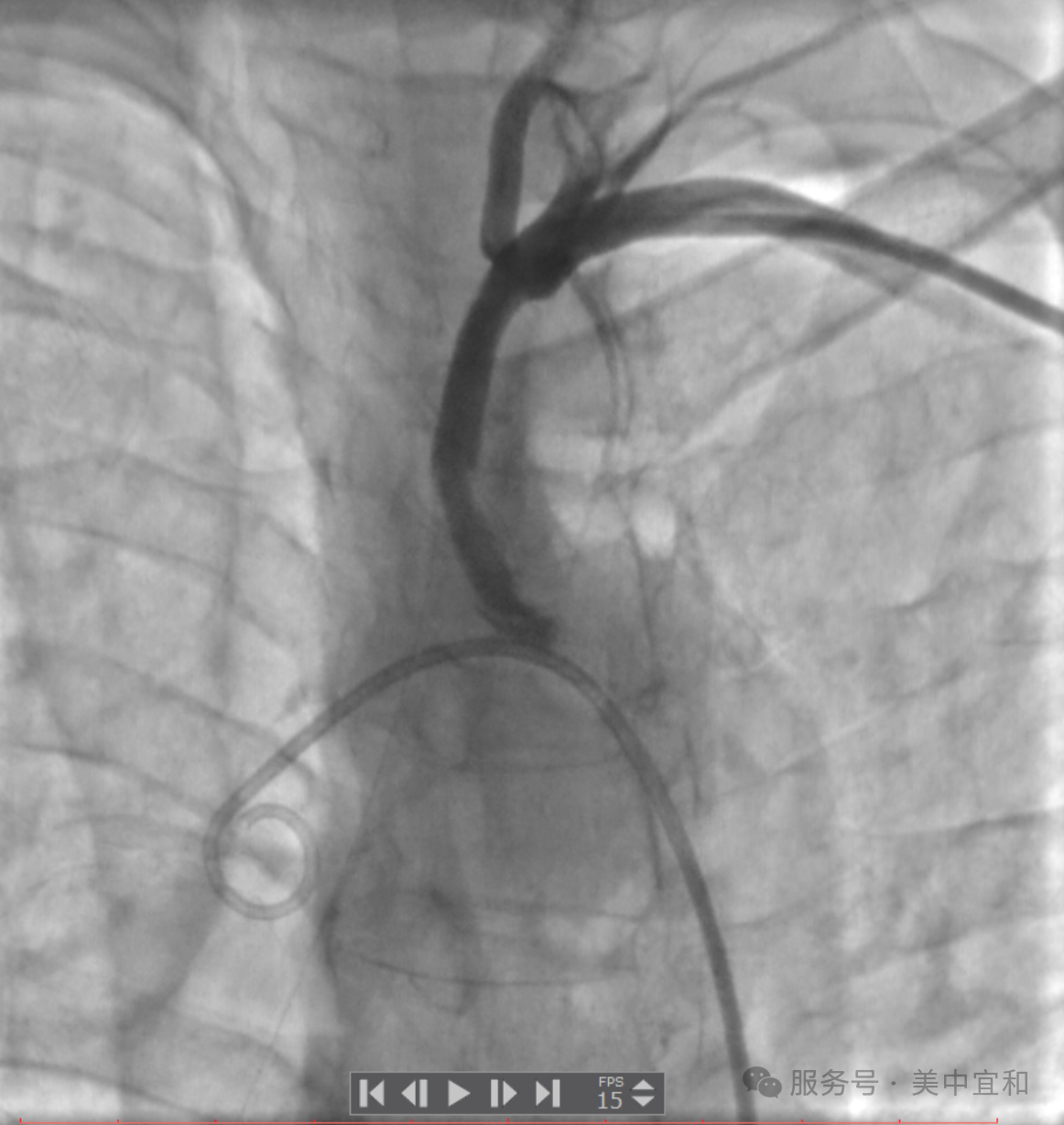
患者是一名 64 岁的老先生,在外地辗转多家医院无法明确诊断,慕名预约到颜主任门诊,查体发现患者左臂血压 (77/50 mmHg) 显著低于右臂 (117/62 mmHg),相差近 40 mmHg 的压差,颜主任初判患者为左侧锁骨下动脉硬化闭塞,为了进一步证实这个判断,为患者完善了颈动脉血管核磁检查,从不同角度显示血管结构,通过平扫影像和三维重建直观显示患者左侧锁骨下动脉血流信号消失,证实了颜主任的推断——患者确诊为锁骨下动脉硬化闭塞及盗血综合征。
颜主任提到,左侧锁骨下动脉直接起源于主动脉弓,血流冲击力相对更强,且血管走行角度略特殊,更容易受到血流剪切力的损伤,因此发生硬化闭塞的概率略高于右侧。在治疗方案上,通常有药物保守治疗、微创介入治疗和外科手术治疗几种选择,具体到本案例中的患者,其治疗核心是 「控制危险因素 + 血运重建」——即药物+手术治疗。药物治疗用于降血脂、抗血小板,预防斑块破裂后血栓形成,降低中风风险。而最为关键的血管开通即血运重建的更优方案则需要进行综合考量。
明确诊断后,经过心内科团队的反复讨论,为患者制定了缜密的介入治疗计划。最终,经过近 2 个多小时的手术,成功逆向开通血管并植入支架,术后患者双上肢血压恢复一致,左侧椎动脉供血良好,眩晕症状明显改善,悬着的心也终于放下了。


锁骨下动脉硬化闭塞及盗血综合征——从疾病全称不难看出,这两个概念既相互关联又各有侧重,「锁骨下动脉硬化闭塞」是指出现了血管结构的病变;而「盗血综合征」指的是病变引发的血流异常现象。
所以,病变的本质在于——动脉粥样硬化,这也是锁骨下动脉狭窄的最常见原因。
动脉粥样硬化是全身血管的 「老化 + 损伤」 过程:血液中的脂质(如胆固醇)因血管内皮损伤沉积在血管壁,形成像小米粥一样的 「斑块」。随着时间推移,斑块会不断增大、变硬,导致血管管腔变窄(狭窄);若斑块破裂、血栓形成,或斑块本身大到一定程度,就会完全堵死血管(闭塞)
对于有基础疾病如「三高」的人群、长期吸烟、酗酒、缺乏运动、肥胖等不良生活习惯的人群以及有动脉粥样硬化家族史、长期熬夜或精神压力大的人群来讲尤其要警惕。
对于以上高危人群来讲,生活中一个简单、无创的自测措施就是同时测量两侧上肢血压,如果差值持续大于 30 mmHg,且患侧偏低,需高度警惕。
一旦出现类似症状,应尽早前往医院就诊,并在检查过程中不要遗漏对锁骨下动脉狭窄的筛查。及时的诊断与治疗对于预防更严重的心脑血管疾病至关重要。
参考资料
蒋雄京, 邹玉宝. 锁骨下/颅外椎动脉狭窄的处理: 中国专家共识 [J]. 中国循环杂志,2019,34(06):523-532.
审稿医生
颜红兵
主任医师、教授、博士生导师
好文章,需要你的鼓励