反复黑便,身体虚弱,还伴有中度贫血,患者在多家医院做了不少检查后,还没是办法明确症结所在,焦虑的他来到了北京和睦家医院急诊……
患者 62 岁,来到和睦家急诊时,血红蛋白只有 6.8 g/L,自述已因反复黑便伴多次晕厥。
消化中心耿伟大夫应急诊会诊要求,到急诊看诊,根据患者的情况,考虑可能是消化道出血,建议患者立即进行腹部及血管增强 CT 的检查,以明确出血位置。
患者随即转入放射科,在签署增强 CT 对比剂同意书时,放射科的陈旭大夫了解到,患者此前已在多家公立医院求医,也进行了小肠镜、胃镜及增强 CT 检查,但都没有发现出血的位置。
察觉到患者焦虑和无助的情绪越揪越紧,陈大夫于是耐心地向患者解释此次检查目的和优势,希望借此增加患者检查信心和配合度。

北京和睦家医院放射科
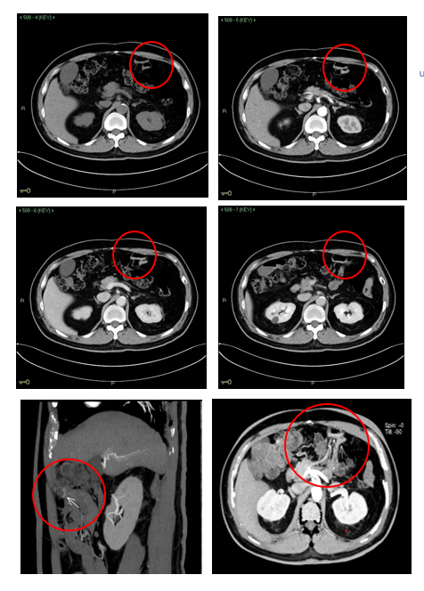
对于上消化道出血患者的检查,所使用的对比剂注射方式、速率及延迟时间都需要准确计算,这些操作过程过早过快或过晚过慢都可能会错过显示病灶的最佳时机,也考验着放射科医生的实力和技能。
陈旭大夫和李林技师在整体评估患者血管情况、身高、体重、心率等参数后,共同讨论并制定了早触发、动态多期、长延迟时间的扫描方案,并成功完成扫描。
在随后的阅片过程中,陈大夫仔细地对腹部各脏器、各段肠管及血管逐一排查,终于发现了引起了患者身体不适的元凶:
在胃空肠吻合口的输出段近端肠腔内有少量稍高密度液体积聚,多期动态增强图像显示该处液体量及密度具有随时间发生细微变化的特点,符合消化道活动性出血影像表现。
狡猾的「敌人」终于被明察秋毫的「猎人」给揪出来了!

CT 多期增强图像清晰显示对比剂积聚
根据影像学的检查结果,消化中心团队次日给患者进行急诊胃镜治疗。
耿伟大夫在胃镜设备的辅助下,明确观察到患者在胃肠吻合口输出段有一长约 1 cm 的溃疡,并伴有活动性出血。于是给予凝固止血,并配合使用 6 个夹子钳闭溃疡,帮助患者成功解决了病灶,也明确患者的诊断为 ForrestⅡa 型吻合口溃疡。
在随后的住院治疗中,患者血色素逐步回升,症状得到明显改善。
在和睦家,像这样以「以患者为中心」,多学科团队联合快速会诊,及时为患者给出个性化治疗方案,帮助患者解决健康隐忧的情况还有很多。
其实,无论是在院做体检的人士,还是因病求医的患者,每一次的诊疗或体检的完成都是整个医疗团队和医疗综合服务能力和水平的考验,和睦家构建的高质量并且有温度的医疗服务体系,将为您和家人健康持续保驾护航!
作者简介

陈旭,放射科医生。
中南大学湘雅医学院医学硕士,入选并参加由海南省卫生厅及中南大学湘雅二医院联合举办的首届高级影像培训班,时任班长,且获评为年度优秀学员。拥有近二十年临床实践经验,擅长普通放射、CT、MR 影像诊断及多种 X 线造影检查。
陈医生是中国医师协会及北美放射学会会员。除了专注于临床影像诊断和造影检查,他还于 2014 至 2016 年期间任博士后,受雇佣于美国威斯康星医学院癌症中心,从事多项肺癌化学预防基础及临床转化研究。此外,陈医生在著名医学期刊发表过数篇学术论文。
*声明:本内容仅代表文章来源方观点,不代表本站立场。本内容仅供医学药学专业人士阅读,不构成实际治疗建议。
封面图来源:站酷海洛
北京和睦家医院女性健康医疗中心由妇产科医师、麻醉师、儿科医师、新生儿专家、助产士和护士组成的工作团队接受过海外培训,可以为女性提供包括女性健康保健和常规检查...
北京和睦家医院骨科由具有海外背景的医疗团队组成,将在澳大利亚骨科专家路继科医生的带领下,以循证医学为依据,以精准医疗为目标,共同致力于为骨科疾病患者提供卓越...
北京和睦家医院儿科部可以为您的孩子提供国际标准的高质量门诊和住院治疗服务,和睦家的儿科医生在海内外儿科护理和治疗方面有着丰富的经验,可以帮助预防并处理婴幼儿...
外科专家直接参与患者的疾病诊断与治疗。他们与全科或其他专科医生紧密合作,为患者做诊治方案。北京和睦家医院拥有六套手术室,其中一号杂交......
北京和睦家医院内科由医院全职和院外知名内科专家团队组成。科室秉承 JCIA 标准,坚持以患者为中心,以循证医学为准则,配备拥有专业护理经验的护理团队,注重生物、...
北京和睦家医院全科医疗中心遵循创新理念,旨在为患者提供多方位的健康关爱。国际化医疗队伍致力于为各年龄段人群提供综合的医疗服务,是您在保持健康,预防疾病方面不...